Comprehensive Physiology Wiley Online Library

Cyclooxygenase Metabolites in the Kidney

Full Article on Wiley Online Library



Abstract

In the mammalian kidney, prostaglandins (PGs) are important mediators of physiologic processes, including modulation of vascular tone and salt and water. PGs arise from enzymatic metabolism of free arachidonic acid (AA), which is cleaved from membrane phospholipids by phospholipase A2 activity. The cyclooxygenase (COX) enzyme system is a major pathway for metabolism of AA in the kidney. COX are the enzymes responsible for the initial conversion of AA to PGG2 and subsequently to PGH2, which serves as the precursor for subsequent metabolism by PG and thromboxane synthases. In addition to high levels of expression of the “constitutive” rate‐limiting enzyme responsible for prostanoid production, COX‐1, the “inducible” isoform of cyclooxygenase, COX‐2, is also constitutively expressed in the kidney and is highly regulated in response to alterations in intravascular volume. PGs and thromboxane A2 exert their biological functions predominantly through activation of specific 7‐transmembrane G‐protein‐coupled receptors. COX metabolites have been shown to exert important physiologic functions in maintenance of renal blood flow, mediation of renin release and regulation of sodium excretion. In addition to physiologic regulation of prostanoid production in the kidney, increases in prostanoid production are also seen in a variety of inflammatory renal injuries, and COX metabolites may serve as mediators of inflammatory injury in renal disease. © 2011 American Physiological Society. Compr Physiol 1:1729‐1758, 2011.

Comprehensive Physiology offers downloadable PowerPoint presentations of figures for non-profit, educational use, provided the content is not modified and full credit is given to the author and publication.

Download a PowerPoint presentation of all images


Figure 1.

Arachidonic acid (AA) metabolism. AA can be converted into biologically active compounds by metabolism by cyclooxygenases, lipoxygenases, or cytochrome P450s.

Figure 2.

Cyclooxygenase (COX) metabolism of arachidonic acid. Both COX‐1 and COX‐2 convert AA to PGH2, which is then acted upon by specific synthases to produce thromboxane A2 or specific prostaglandins (PGs). Prostanoids are converted to inactive metabolites by 15 keto‐PG dehydrogenases.

Figure 3.

Localization of immunoreactive COX‐1 and COX‐2 in the adult mammalian nephron. Immunoreactive COX‐1 is predominantly localized to the afferent arteriole, glomerular mesangial cells, and parietal epithelial cells and the cortical collecting duct. COX‐2 has been localized to afferent arteriole, podocytes, mesangial cells, macula densa, and medullary interstitial cells.

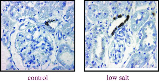
Figure 4. Figure 4.

COX‐2 expression is regulated in renal cortex in rats. Under basal conditions, sparse immunoreactive COX‐2 is localized to the macula densa and surrounding cortical thick ascending limb. In conditions associated with increased renin expression (e.g., low salt), macula densa COX‐2 expression increases markedly.

Figure 5.

Proposed intrarenal roles for vasodilatory prostaglandins (PGs) to regulate renal function and blood pressure control. Alterations in macula densa NaCl reabsorption can lead to increased production of PGs. PGs released from the macula densa, as well as the afferent arteriole, modulate renin expression in juxtaglomerular cells and can also vasodilate the afferent arteriole.

Figure 6.

Proposed role of prostaglandins (PGs) as a modulator of the renin‐angiotensin system. PGs derived from macula densa as well as afferent arteriole can mediate renin production and release, which then mediates production of angiotensin II and aldosterone.

Figure 7.

Differential localization of COX‐1 and COX‐2 in the renal medulla of rodents. COX‐1 is predominantly expressed in the collecting duct and is also found in a subset of medullary interstitial cells, while COX‐2 is predominantly localized to a subset of interstitial cells. D: collecting duct; T: thick limb; V: vasa recta.

Figure 8.

Integrated role of PGE2 on regulation of medullary function. PGE2 can both increase medullary blood flow and directly inhibit NaCl reabsorption in mTAL and water reabsorption in collecting duct.

Figure 9.

Topographic map of COX‐2 expression in kidneys from rats from birth (P0) to adult. Magnifications are equivalent at all stages.

Figure 10.

Prostanoids act predominantly through activation of specific 7‐transmembrane G‐protein‐coupled receptors. Receptors on the left of the figure (IP, DP1, EP2, and EP4 receptors) predominantly active Gs, increase cyclic adenosine monophosphate (cAMP) and are vasodilatory. Receptors on the right of the figure (TP, FP, EP1, EP3, and DP2 receptors) activate either Gi or Gq, decrease cAMP and/or increase intracellular calcium and are vasoconstrictive.

Figure 11.

15‐Hydroxyprostaglandin dehydrogenase (15‐PGDH) immunofluorescent staining in kidney cortex from low salt (LS)‐ or high salt (HS)‐treated rats and cyclooxygenase‐2 (COX‐2) knockout mice. (A) In LS‐treated rat kidney, strong COX‐2 signal was found in the macula densa (arrows) and surrounding thick ascending limb epithelial cells (arrow heads). In these COX‐2‐positive cells, no 15‐PGDH was detected (green; arrows and arrow heads). 15‐PGDH signal was evident in macula densa after high salt treatment but was negative in glomeruli (G). (B) Macula densa15‐PGDH was undetectable in control wild‐type mice but was evident after HS treatment. HS treatment did not increase 15‐PGDH expression in glomeruli. In a COX‐2 knockout mouse, 15‐PGDH was evident in both macula densa (arrows) and glomeruli (G).

Figure 12.

Proposed hemodynamic and renal physiologic functions of prostaglandins and thromboxane A2.



Figure 1.

Arachidonic acid (AA) metabolism. AA can be converted into biologically active compounds by metabolism by cyclooxygenases, lipoxygenases, or cytochrome P450s.



Figure 2.

Cyclooxygenase (COX) metabolism of arachidonic acid. Both COX‐1 and COX‐2 convert AA to PGH2, which is then acted upon by specific synthases to produce thromboxane A2 or specific prostaglandins (PGs). Prostanoids are converted to inactive metabolites by 15 keto‐PG dehydrogenases.



Figure 3.

Localization of immunoreactive COX‐1 and COX‐2 in the adult mammalian nephron. Immunoreactive COX‐1 is predominantly localized to the afferent arteriole, glomerular mesangial cells, and parietal epithelial cells and the cortical collecting duct. COX‐2 has been localized to afferent arteriole, podocytes, mesangial cells, macula densa, and medullary interstitial cells.



Figure 4.

COX‐2 expression is regulated in renal cortex in rats. Under basal conditions, sparse immunoreactive COX‐2 is localized to the macula densa and surrounding cortical thick ascending limb. In conditions associated with increased renin expression (e.g., low salt), macula densa COX‐2 expression increases markedly.



Figure 5.

Proposed intrarenal roles for vasodilatory prostaglandins (PGs) to regulate renal function and blood pressure control. Alterations in macula densa NaCl reabsorption can lead to increased production of PGs. PGs released from the macula densa, as well as the afferent arteriole, modulate renin expression in juxtaglomerular cells and can also vasodilate the afferent arteriole.



Figure 6.

Proposed role of prostaglandins (PGs) as a modulator of the renin‐angiotensin system. PGs derived from macula densa as well as afferent arteriole can mediate renin production and release, which then mediates production of angiotensin II and aldosterone.



Figure 7.

Differential localization of COX‐1 and COX‐2 in the renal medulla of rodents. COX‐1 is predominantly expressed in the collecting duct and is also found in a subset of medullary interstitial cells, while COX‐2 is predominantly localized to a subset of interstitial cells. D: collecting duct; T: thick limb; V: vasa recta.



Figure 8.

Integrated role of PGE2 on regulation of medullary function. PGE2 can both increase medullary blood flow and directly inhibit NaCl reabsorption in mTAL and water reabsorption in collecting duct.



Figure 9.

Topographic map of COX‐2 expression in kidneys from rats from birth (P0) to adult. Magnifications are equivalent at all stages.



Figure 10.

Prostanoids act predominantly through activation of specific 7‐transmembrane G‐protein‐coupled receptors. Receptors on the left of the figure (IP, DP1, EP2, and EP4 receptors) predominantly active Gs, increase cyclic adenosine monophosphate (cAMP) and are vasodilatory. Receptors on the right of the figure (TP, FP, EP1, EP3, and DP2 receptors) activate either Gi or Gq, decrease cAMP and/or increase intracellular calcium and are vasoconstrictive.



Figure 11.

15‐Hydroxyprostaglandin dehydrogenase (15‐PGDH) immunofluorescent staining in kidney cortex from low salt (LS)‐ or high salt (HS)‐treated rats and cyclooxygenase‐2 (COX‐2) knockout mice. (A) In LS‐treated rat kidney, strong COX‐2 signal was found in the macula densa (arrows) and surrounding thick ascending limb epithelial cells (arrow heads). In these COX‐2‐positive cells, no 15‐PGDH was detected (green; arrows and arrow heads). 15‐PGDH signal was evident in macula densa after high salt treatment but was negative in glomeruli (G). (B) Macula densa15‐PGDH was undetectable in control wild‐type mice but was evident after HS treatment. HS treatment did not increase 15‐PGDH expression in glomeruli. In a COX‐2 knockout mouse, 15‐PGDH was evident in both macula densa (arrows) and glomeruli (G).



Figure 12.

Proposed hemodynamic and renal physiologic functions of prostaglandins and thromboxane A2.

References
 1. Abe T, Takeuchi K, Takahashi N, Tsutsumi E, Taniyama Y, Abe K. Rat kidney thromaboxane A2 receptor: Molecular cloning signal transduction and intrarenal expression localization. J Clin Invest 96: 657‐664, 1995.
 2. Abramovitz M, Adam M, Boie Y, Carriere M, Denis D, Godbout C, Lamontagne S, Rochette C, Sawyer N, Tremblay NM, Belley M, Gallant M, Dufresne C, Gareau Y, Ruel R, Juteau H, Labelle M, Ouimet N, Metters KM. The utilization of recombinant prostanoid receptors to determine the affinities and selectivities of prostaglandins and related analogs [In Process Citation]. Biochim Biophys Acta 1483: 285‐293, 2000.
 3. Adegboyega PA, Ololade O. Immunohistochemical expression of cyclooxygenase‐2 in normal kidneys. Appl Immunohistochem Mol Morphol 12: 71‐74, 2004.
 4. Aoki J, Katoh H, Yasui H, Yamaguchi Y, Nakamura K, Hasegawa H, Ichikawa A, Negishi M. Signal transduction pathway regulating prostaglandin EP3 receptor‐ induced neurite retraction: Requirement for two different tyrosine kinases. Biochem J 340: 365‐369, 1999.
 5. Araujo M, Welch WJ. Cyclooxygenase 2 inhibition suppresses tubuloglomerular feedback: Roles of thromboxane receptors and nitric oxide. Am J Physiol Renal Physiol 296: F790‐F794, 2009.
 6. Araujo M, Welch WJ. Tubuloglomerular feedback is decreased in COX‐1 knockout mice after chronic angiotensin II infusion. Am J Physiol Renal Physiol 298: F1059‐F1063, 2010.
 7. Arber N, Eagle CJ, Spicak J, Racz I, Dite P, Hajer J, Zavoral M, Lechuga MJ, Gerletti P, Tang J, Rosenstein RB, Macdonald K, Bhadra P, Fowler R, Wittes J, Zauber AG, Solomon SD, Levin B. Celecoxib for the prevention of colorectal adenomatous polyps. N Engl J Med 355: 885‐895, 2006.
 8. Athirakul K, Kim HS, Audoly LP, Smithies O, Coffman TM. Deficiency of COX‐1 causes natriuresis and enhanced sensitivity to ACE inhibition. Kidney Int 60: 2324‐2329, 2001.
 9. Audoly LP, Rocca B, Fabre JE, Koller BH, Thomas D, Loeb AL, Coffman TM, FitzGerald GA. Cardiovascular responses to the isoprostanes iPF(2alpha)‐III and iPE(2)‐ III are mediated via the thromboxane A(2) receptor in vivo. Circulation 101: 2833‐2840, 2000.
 10. Audoly LP, Ruan X, Wagner VA, Goulet JL, Tilley SL, Koller BH, Coffman TM, Arendshorst WJ. Role of EP(2) and EP(3) PGE(2) receptors in control of murine renal hemodynamics. Am J Physiol Heart Circ Physiol 280: H327‐H333, 2001.
 11. Avner ED, Sweeney WE Jr, Piesco NP, Ellis D. Growth factor requirements of organogenesis in serum‐free metanephric organ culture. In Vitro Cell Dev Biol 21: 297‐304, 1985.
 12. Bao Y, Pucci ML, Chan BS, Lu R, Ito S, Schuster VL. Prostaglandin transporter PGT is expressed in cell types that synthesize and release prostanoids. Am J Physiol Renal Physiol 282: F1103‐F1110, 2002.
 13. Baum M, Loleh S, Saini N, Seikaly M, Dwarakanath V, Quigley R. Correction of proximal tubule phosphate transport defect in Hyp mice in vivo and in vitro with indomethacin. Proc Natl Acad Sci U S A 100: 11098‐11103, 2003.
 14. Baylis C. Cyclooxygenase products do not contribute to the gestational renal vasodilation in the nitric oxide synthase inhibited pregnant rat. Hypertens Pregnancy 21: 109‐114, 2002.
 15. Bek M, Nusing R, Kowark P, Henger A, Mundel P, Pavenstadt H. Characterization of prostanoid receptors in podocytes. J Am Soc Nephrol 10: 2084‐2093, 1999.
 16. Bing Y, Xu J, Qi Z, Harris RC, Zhang MZ. The role of renal cortical cyclooxygenase‐2 (COX‐2) expression in hyperfiltration in rats with high protein intake. Am J Physiol Renal Physiol, 291: F368‐F374, 2006.
 17. Blume C, Heise G, Muhlfeld A, Bach D, Schror K, Gerhardz CD, Grabensee B, Heering P. Effect of flosulide, a selective cyclooxygenase 2 inhibitor, on passive heymann nephritis in the rat. Kidney Int 56: 1770‐1778, 1999.
 18. Boffa J‐J, Just A, Coffman TM, Arendshorst WJ. Thromboxane receptor mediates renal vasoconstriction and contributes to acute renal failure in endotoxemic mice. J Am Soc Nephrol 15: 2358‐2365, 2004.
 19. Boie Y, Rushmore TH, Darmon‐Goodwin A, Grygorczyk R, Slipetz DM, Metters KM, Abramovitz M. Cloning and expression of a cDNA for the human prostanoid IP receptor. J Biol Chem 269: 12173‐12178, 1994.
 20. Boie Y, Stocco R, Sawyer N, Slipetz DM, Ungrin MD, Neuschafer‐Rube F, Puschel GP, Metters KM, Abramovitz M. Molecular cloning and characterization of the four rat prostaglandin E2 prostanoid receptor subtypes. Eur J Pharmacol 340: 227‐241, 1997.
 21. Bonazzi A, Mastyugin V, Mieyal PA, Dunn MW, Laniado‐Schwartzman M. Regulation of cyclooxygenase‐2 by hypoxia and peroxisome proliferators in the corneal epithelium. J Biol Chem 275: 2837‐2844, 2000.
 22. Boulven I, Palmier B, Robin P, Vacher M, Harbon S, Leiber D. Platelet‐derived growth factor stimulates phospholipase C‐gamma 1, extracellular signal‐regulated kinase, and arachidonic acid release in rat myometrial cells: Contribution to cyclic 3′,5′‐adenosine monophosphate production and effect on cell proliferation. Biol Reprod 65: 496‐506, 2001.
 23. Breshnahan BA, Kelefiotis D, Stratidakis I, Lianos EA. PGF2alpha‐induced signaling events in glomerular mesangial cells. Proc Soc Exp Biol Med 212: 165‐173, 1996.
 24. Breyer M, Breyer R, Fowler B, Jacobson H, Hebert R. EP1 receptor antagonists block PGE2 dependent inhibition of Na+ absorption in the cortical collecting duct. J Am Soc Nephrol 7: 1645, 1996.
 25. Breyer MD, Breyer RM. Prostaglandin E receptors and the kidney. Am J Physiol Renal Physiol 279: F12‐F23, 2000.
 26. Breyer MD, Breyer RM. G protein‐coupled prostanoid receptors and the kidney. Annu Rev Physiol 63: 579‐605, 2001.
 27. Breyer MD, Davis L, Jacobson HR, Breyer RM. Differential localization of prostaglandin E receptor subtypes in human kidney. Am J Physiol 270: F912‐F918, 1996.
 28. Breyer MD, Jacobson HR, Davis LS, Breyer RM. In situ hybridization and localization of mRNA for the rabbit prostaglandin EP3 receptor. Kidney Int 44: 1372‐1378, 1993.
 29. Breyer MD, Jacobson HR, Hebert RL. Cellular mechanisms of prostaglandin E2 and vasopressin interactions in the collecting duct. Kidney Int 38: 618‐624, 1990.
 30. Breyer RM, Davis LS, Nian C, Redha R, Stillman B, Jacobson HR, Breyer MD. Cloning and expression of the rabbit prostaglandin EP4 receptor. Am J Physiol 270: F485‐F493, 1996.
 31. Breyer RM, Emeson RB, Tarng JL, Breyer MD, Davis LS, Abromson RM, Ferrenbach SM. Alternative splicing generates multiple isoforms of a rabbit prostaglandin E2 receptor. J Biol Chem 269: 6163‐6169, 1994.
 32. Bugge JF, Stokke ES, Vikse A, Kiil F. Stimulation of renin release by PGE2 and PGI2 infusion in the dog: Enhancing effect of ureteral occlusion or administration of ethacrynic acid. Acta Physiol Scand 138: 193‐201, 1990.
 33. Carmines P, Bell P, Roman R, Work J, Navar L. Prostaglandins in the sodium excretory response to altered renal arterial pressure in dogs. Am J Phyisol 248: F8‐F14, 1985.
 34. Castleberry TA, Lu B, Smock SL, Owen TA. Molecular cloning and functional characterization of the canine prostaglandin E(2) receptor EP4 subtype. Prostaglandins 65: 167‐187, 2001.
 35. Chan BS, Satriano JA, Pucci M, Schuster VL. Mechanism of prostaglandin E2 transport across the plasma membrane of HeLa cells and Xenopus oocytes expressing the prostaglandin transporter “PGT”. J Biol Chem 273: 6689‐6697, 1998.
 36. Chanmugam P, Feng L, Liou S, Jang BC, Boudreau M, Yu G, Lee JH, Kwon HJ, Beppu T, Yoshida M, and et al. Radicicol, a protein tyrosine kinase inhibitor, suppresses the expression of mitogen‐inducible cyclooxygenase in macrophages stimulated with lipopolysaccharide and in experimental glomerulonephritis. J Biol Chem 270: 5418‐5426, 1995.
 37. Chaudhari A, Gupta S, Kirschenbaum M. Biochemical evidence for PGI2 and PGE2 receptors in the rabbit renal preglomerular microvasculature. Biochim Biophys Acta 1053: 156‐161, 1990.
 38. Chaudhari A, Kirschenbaum MA. Altered glomerular eicosanoid biosynthesis in uranyl nitrate‐induced acute renal failure. Biochim Biophys Acta 792: 135‐140, 1984.
 39. Chen J, Champa‐Rodriguez ML, Woodward DF. Identification of a prostanoid FP receptor population producing endothelium‐dependent vasorelaxation in the rabbit jugular vein. Br J Pharmacol 116: 3035‐3041, 1995.
 40. Chen J, Zhao M, He W, Milne GL, Howard JR, Morrow J, Hebert RL, Breyer RM, Hao CM. Increased dietary NaCl induces renal medullary PGE2 production and natriuresis via the EP2 receptor. Am J Physiol Renal Physiol 295: F818‐F825, 2008.
 41. Chen L, Kim SM, Eisner C, Oppermann M, Huang Y, Mizel D, Li L, Chen M, Sequeira Lopez ML, Weinstein LS, Gomez RA, Schnermann J, Briggs JP. Stimulation of renin secretion by angiotensin II blockade is Gsalpha‐dependent. J Am Soc Nephrol 21: 986‐992.
 42. Cheng H, Fan X, Guan Y, Moeckel GW, Zent R, Harris RC. Distinct roles for basal and induced COX‐2 in podocyte injury. J Am Soc Nephrol 20: 1953‐1962, 2009.
 43. Cheng H, Wang S, Jo YI, Hao CM, Zhang M, Fan X, Kennedy C, Breyer MD, Moeckel GW, Harris RC. Overexpression of cyclooxygenase‐2 predisposes to podocyte injury. J Am Soc Nephrol 18: 551‐559, 2007.
 44. Cheng HF, Wang CJ, Moeckel GW, Zhang MZ, McKanna JA, Harris RC. Cyclooxygenase‐2 inhibitor blocks expression of mediators of renal injury in a model of diabetes and hypertension. Kidney Int 62: 929‐939, 2002.
 45. Cheng HF, Wang JL, Zhang MZ, McKanna JA, Harris RC. Nitric oxide regulates renal cortical cyclooxygenase‐2 expression. Am J Physiol Renal Physiol 279: F122‐F129, 2000a.
 46. Cheng HF, Wang JL, Zhang MZ, McKanna JA, Harris RC. Role of p38 in the regulation of renal cortical cyclooxygenase‐2 expression by extracellular chloride. J Clin Invest 106: 681‐688, 2000b.
 47. Cheng HF, Wang JL, Zhang MZ, Miyazaki Y, Ichikawa I, McKanna JA, Harris RC. Angiotensin II attenuates renal cortical cyclooxygenase‐2 expression. J Clin Invest 103: 953‐961, 1999.
 48. Cheng HF, Wang JL, Zhang MZ, Wang SW, McKanna JA, Harris RC. Genetic deletion of COX‐2 prevents increased renin expression in response to ACE inhibition. Am J Physiol Renal Physiol 280: F449‐F456, 2001.
 49. Cheng HF, Wang SW, Zhang MZ, McKanna JA, Breyer R, Harris RC. Prostaglandins that increase renin production in response to ACE inhibition are not derived from cyclooxygenase‐1. Am J Physiol Regul Integr Comp Physiol 283: R638‐R646, 2002.
 50. Cheng HF, Zhang MZ, Harris RC. Nitric oxide stimulates cyclooxygenase‐2 in cultured cTAL cells through a p38‐dependent pathway. Am J Physiol Renal Physiol 290: F1391‐F1397, 2006.
 51. Cheng MK, Doumad AB, Jiang H, Falck JR, McGiff JC, Carroll MA. Epoxyeicosatrienoic acids mediate adenosine‐induced vasodilation in rat preglomerular microvessels (PGMV) via A2A receptors. Br J Pharmacol 141: 441‐448, 2004.
 52. Chevalier D, Lo‐Guidice JM, Sergent E, Allorge D, Debuysere H, Ferrari N, Libersa C, Lhermitte M, Broly F. Identification of genetic variants in the human thromboxane synthase gene (CYP5A1). Mutat Res 432: 61‐67, 2001.
 53. Chi Y, Khersonsky SM, Chang Y‐T, Schuster VL. Identification of a new class of prostaglandin transporter inhibitors and characterization of their biological effects on prostaglandin E2 transport. J Pharmacol Exp Ther 316: 1346‐1350, 2006.
 54. Chi Y, Pucci ML, Schuster VL. Dietary salt induces transcription of the prostaglandin transporter gene in renal collecting ducts. Am J Physiol Renal Physiol 295: F765‐F771, 2008.
 55. Coffman TM, Spurney RF, Mannon RB, Levenson R. Thromboxane A2 modulates the fibrinolytic system in glomerular mesangial cells. Am J Physiol 275: F262‐F269, 1998.
 56. Coggins KG, Latour A, Nguyen MS, Audoly L, Coffman TM, Koller BH. Metabolism of PGE2 by prostaglandin dehydrogenase is essential for remodeling the ductus arteriosus. Nat Med 8: 91‐92, 2002.
 57. Coleman RA, Grix SP, Head SA, Louttit JB, Mallett A, Sheldrick RLG. A novel inhibitory prostanoid receptor in piglet saphenous vein. Prostaglandins 47: 151‐168, 1994.
 58. Coleman RA, Kennedy I, Humphrey PPA, Bunce K, Lumley P. Prostanoids and their receptors. In: Emmet JC, editor. Comprehensive Medicinal Chemistry. Oxford: Pergammon Press, 1990, p. 643‐714.
 59. Coleman RA, Smith WL, Narumiya S. VIII. International union of pharmacology classification of prostanoid receptors: Properties, distribution, and structure of the receptors and their subtypes. Pharmacol Rev 46: 205‐229, 1994.
 60. Crofford LJ. Specific cyclooxygenase‐2 inhibitors: What have we learned since they came into widespread clinical use? Curr Opin Rheumatol 14: 225‐230, 2002.
 61. Csukas S, Hanke C, Rewolinski D, Campbell W. Prostaglandin E2‐induced aldosterone release is mediated by an EP2 receptor. Hypertension 31: 575‐581, 1998.
 62. Cybulsky AV, Lieberthal W, Quigg RJ, Rennke HG, Salant DJ. A role for thromboxane in complement‐mediated glomerular injury. Am J Pathol 128: 45‐51, 1987.
 63. DeRubertis FR, Craven PA. Eicosanoids in the pathogenesis of the functional and structural alterations of the kidney in diabetes. Am J Kidney Dis 22: 727‐735, 1993.
 64. Dey A, Maric C, Kaesemeyer WH, Zaharis CZ, Stewart J, Pollock JS, Imig JD. Rofecoxib decreases renal injury in obese Zucker rats. Clin Sci (Lond) 107: 561‐570, 2004.
 65. Dinchuk JE, Car BD, Focht RJ, Johnston JJ, Jaffee BD, Covington MB, Contel NR, Eng VM, Collins RJ, Czerniak PM, Gorry S, Trzakos J. Renal abnormalities and an altered inflammatory response in mice lacking cyclooxygenase II. Nature 378: 406‐409, 1995.
 66. Dixon DA, Kaplan CD, McIntyre TM, Zimmerman GA, Prescott SM. Post‐transcriptional control of cyclooxygenase‐2 gene expression. The role of the 3′‐untranslated region. J Biol Chem 275: 11750‐11757, 2000.
 67. Dixon DA, Tolley ND, King PH, Nabors LB, McIntyre TM, Zimmerman GA, Prescott SM. Altered expression of the mRNA stability factor HuR promotes cyclooxygenase‐2 expression in colon cancer cells. J Clin Invest 108: 1657‐1665, 2001.
 68. Don BR, Blake S, Hutchison FN, Kaysen GA, Schambelan M. Dietary protein intake modulates glomerular eicosanoid production in the rat. Am J Physiol 256: F711‐F718, 1989.
 69. Eguchi N, Minami T, Shirafuji N, Kanaoka Y, Tanaka T, Nagata A, Yoshida N, Urade Y, Ito S, Hayaishi O. Lack of tactile pain (allodynia) in lipocalin‐type prostaglandin D synthase‐deficient mice. Proc Natl Acad Sci U S A 96: 726‐730, 1999.
 70. El‐Achkar TM, Plotkin Z, Marcic B, Dagher PC. Sepsis induces an increase in thick ascending limb Cox‐2 that is TLR4 dependent. Am J Physiol Renal Physiol 293: F1187‐F1196, 2007.
 71. Engblom D, Saha S, Engstrom L, Westman M, Audoly LP, Jakobsson P‐J, Blomqvist A. Microsomal prostaglandin E synthase‐1 is the central switch during immune‐induced pyresis. Nat Neurosci 6: 1137‐1138, 2003.
 72. Eriksson LO, Larsson B, Andersson KE. Biochemical characterization and autoradiographic localization of [3H]PGE2 binding sites in rat kidney. Acta Physiol Scand 139: 405‐415, 1990.
 73. Facemire CS, Griffiths R, Audoly LP, Koller BH, Coffman TM. The impact of microsomal prostaglandin e synthase 1 on blood pressure is determined by genetic background. Hypertension 55: 531‐538.
 74. Fam SS, Murphey LJ, Terry ES, Zackert WE, Chen Y, Gao L, Pandalai S, Milne GL, Roberts LJ, Porter NA, Montine TJ, Morrow JD. Formation of highly reactive A‐ring and J‐ring isoprostane‐like compounds (A4/J4‐neuroprostanes) in vivo from docosahexaenoic acid. J Biol Chem 277: 36076‐36084, 2002.
 75. Faour WH, Gomi K, Kennedy CR. PGE(2) induces COX‐2 expression in podocytes via the EP(4) receptor through a PKA‐independent mechanism. Cell Signal 20: 2156‐2164, 2008.
 76. Feitoza CQ, Goncalves GM, Semedo P, Cenedeze MA, Pinheiro HS, Beraldo FC, dos Santos OF, Teixeira Vde P, dos Reis MA, Mazzali M, Pacheco‐Silva A, Camara NO. Inhibition of COX 1 and 2 prior to renal ischemia/reperfusion injury decreases the development of fibrosis. Mol Med 14: 724‐730, 2008.
 77. Fleming EF, Athirakul K, Oliverio MI, Key M, Goulet J, Koller BH, Coffman TM. Urinary concentrating function in mice lacking EP3 receptors for prostaglandin E2. Am J Physiol 275: F955‐F961, 1998.
 78. Forman B, Tontonoz P, Chen J, Brun R, Spiegelman B, Evans R. 15‐deoxy‐Δ12,14‐Prostaglandin J2 is a ligand for the adipocyte determination factor PPAR‐gamma. Cell 83: 803‐812, 1995.
 79. Francisco L, Osborn J, Dibona G. Prostaglandins in renin release during sodium deprivation. Am J Physiol 243: F537‐F542, 1982.
 80. Francois H, Athirakul K, Howell D, Dash R, Mao L, Kim HS, Rockman HA, Fitzgerald GA, Koller BH, Coffman TM. Prostacyclin protects against elevated blood pressure and cardiac fibrosis. Cell Metab 2: 201‐207, 2005.
 81. Francois H, Coffman TM. Prostanoids and blood pressure: Which way is up? J Clin Invest 114: 757‐759, 2004.
 82. Francois H, Facemire C, Kumar A, Audoly L, Koller B, Coffman T. Role of microsomal prostaglandin E synthase 1 in the kidney. J Am Soc Nephrol 18: 1466‐1475, 2007.
 83. Francois H, Makhanova N, Ruiz P, Ellison J, Mao L, Rockman HA, Coffman TM. A role for the thromboxane receptor in L‐NAME hypertension. Am J Physiol Renal Physiol 295: F1096‐F1102, 2008.
 84. Friis UG, Madsen K, Svenningsen P, Hansen PB, Gulaveerasingam A, Jorgensen F, Aalkjaer C, Skott O, Jensen BL. Hypotonicity‐induced Renin exocytosis from juxtaglomerular cells requires aquaporin‐1 and cyclooxygenase‐2. J Am Soc Nephrol 20: 2154‐2161, 2009.
 85. Friis UG, Stubbe J, Uhrenholt TR, Svenningsen P, Nusing RM, Skott O, Jensen BL. Prostaglandin E2 EP2 and EP4 receptor activation mediates cAMP‐dependent hyperpolarization and exocytosis of renin in juxtaglomerular cells. Am J Physiol Renal Physiol 289: F989‐F997, 2005.
 86. Fujihara CK, Malheiros DM, Donato JL, Poli A, De Nucci G, Zatz R. Nitroflurbiprofen, a new nonsteroidal anti‐inflammatory, ameliorates structural injury in the remnant kidney. Am J Physiol 274: F573‐F579, 1998.
 87. Fujino H, Srinivasan D, Regan JW. Cellular conditioning and activation of beta ‐catenin signaling by the FPB prostanoid receptor. J Biol Chem 277: 48786‐48795, 2002.
 88. Fujino T, Nakagawa N, Yuhki K, Hara A, Yamada T, Takayama K, Kuriyama S, Hosoki Y, Takahata O, Taniguchi T, Fukuzawa J, Hasebe N, Kikuchi K, Narumiya S, Ushikubi F. Decreased susceptibility to renovascular hypertension in mice lacking the prostaglandin I2 receptor IP. J Clin Invest 114: 805‐812, 2004.
 89. Fujishima H, Sanchez Mejia RO, Bingham CO 3rd, Lam BK, Sapirstein A, Bonventre JV, Austen KF, Arm JP. Cytosolic phospholipase A2 is essential for both the immediate and the delayed phases of eicosanoid generation in mouse bone marrow‐derived mast cells. Proc Natl Acad Sci U S A 96: 4803‐4807, 1999.
 90. Funk C, Furchi L, FitzGerald G, Grygorczyk R, Rochette C, Bayne MA, Abramovitz M, Adam M, Metters KM. Cloning and expression of a cDNA for the human prostaglandin E receptor EP1 subtype. J Biol Chem 268: 26767‐26772, 1993.
 91. Garavito MR, Malkowski MG, DeWitt DL. The structures of prostaglandin endoperoxide H synthases‐1 and ‐2. Prostaglandins Other Lipid Mediat 68‐69: 129‐152, 2002.
 92. Gerber JG, Keller RT, Nies AS. Prostaglandins and renin release: The effect of PGI2, PGE2, and 13,14‐dihydro PGE2 on the baroreceptor mechanism of renin release in the dog. Circ Res 44: 796‐799, 1979.
 93. Gimonet V, Bussieres L, Medjebeur AA, Gasser B, Lelongt B, Laborde K. Nephrogenesis and angiotensin II receptor subtypes gene expression in the fetal lamb. Am J Physiol 274: F1062‐F1069, 1998.
 94. Goncalves AR, Fujihara CK, Mattar AL, Malheiros DM, Noronha Ide L, de Nucci G, Zatz R. Renal expression of COX‐2, ANG II, and AT1 receptor in remnant kidney: Strong renoprotection by therapy with losartan and a nonsteroidal anti‐inflammatory. Am J Physiol Renal Physiol 286: F945‐F954, 2004.
 95. Gonzalez AA, Cespedes C, Villanueva S, Michea L, Vio CP. E Prostanoid‐1 receptor regulates renal medullary alphaENaC in rats infused with angiotensin II. Biochem Biophys Res Commun 389: 372‐377, 2009.
 96. Good D. PGE2 reverses AVP inhibition of HCO3‐ absorption in rat MTAL by activation of protein kinase C. Am J Physiol 270: F978‐F985, 1996.
 97. Good DW, George T. Regulation of HCO3‐ absorption by prostaglandin E2 and G‐proteins in rat medullary thick ascending limb. Am J Physiol 270: F711‐F717, 1996.
 98. Guan Y, Chang M, Cho W, Zhang Y, Redha R, Davis L, Chang S, DuBois RN, Hao CM, Breyer M. Cloning, expression, and regulation of rabbit cyclooxygenase‐2 in renal medullary interstitial cells. Am J Physiol 273: F18‐F26, 1997.
 99. Guan Y, Stillman BA, Zhang Y, Schneider A, Saito O, Davis LS, Redha R, Breyer RM, Breyer MD. Cloning and expression of the rabbit prostaglandin EP2 receptor. BMC Pharmacol 2: 14, 2002.
 100. Guan Y, Zhang Y, Breyer RM, Fowler B, Davis L, Hebert RL, Breyer MD. Prostaglandin E2 inhibits renal collecting duct Na+ absorption by activating the EP1 receptor. J Clin Invest 102: 194‐201, 1998.
 101. Guan Y, Zhang Y, Schneider A, Riendeau D, Mancini JA, Davis L, Komhoff M, Breyer RM, Breyer MD. Urogenital distribution of a mouse membrane‐associated prostaglandin E(2) synthase. Am J Physiol Renal Physiol 281: F1173‐F1177, 2001.
 102. Guan Z, Buckman SY, Miller BW, Springer LD, Morrison AR. Interleukin‐1beta‐induced cyclooxygenase‐2 expression requires activation of both c‐Jun NH2‐terminal kinase and p38 MAPK signal pathways in rat renal mesangial cells. J Biol Chem 273: 28670‐28676, 1998.
 103. Guyton A. Blood pressure control‐special role of the kidneys and body fluids. Science 252: 1813‐1816, 1991.
 104. Hahne B, Selen G, Erik A, Persson G. Indomethacin inhibits renal functional adaptation to nephron loss. Ren Physiol 7: 13‐21, 1984.
 105. Hanner F, Chambrey R, Bourgeois S, Meer E, Mucsi I, Rosivall L, Shull GE, Lorenz JN, Eladari D, Peti‐Peterdi J. Increased renal renin content in mice lacking the Na+/H+ exchanger NHE2. Am J Physiol Renal Physiol 294: F937‐F944, 2008.
 106. Hao CM, Komhoff M, Guan Y, Redha R, Breyer MD. Selective targeting of cyclooxygenase‐2 reveals its role in renal medullary interstitial cell survival. Am J Physiol 277: F352‐F359, 1999.
 107. Hao CM, Yull F, Blackwell T, Komhoff M, Davis LS, Breyer MD. Dehydration activates an NF‐kappaB‐driven, COX2‐dependent survival mechanism in renal medullary interstitial cells. J Clin Invest 106: 973‐982, 2000.
 108. Hardie WD, Ebert J, Frazer M, Takahashi K, Badr K. The effect of thromboxane A2 receptor antagonism on amphotericin B‐ induced renal vasoconstriction in the rat. Prostaglandins 45: 47‐56, 1993.
 109. Harding P, Sigmon DH, Alfie ME, Huang PL, Fishman MC, Beierwaltes WH, Carretero OA. Cyclooxygenase‐2 mediates increased renal renin content induced by low‐ sodium diet. Hypertension 29: 297‐302, 1997.
 110. Harris RC. Macula densa signalling—a potential role of cyclooxy‐genase‐2 (COX‐2)? Nephrol Dial Transplant 15: 1504‐1506, 2000.
 111. Harris RC, Breyer MD. Physiological regulation of cyclooxygenase‐2 in the kidney. Am J Physiol Renal Physiol 281: F1‐F11, 2001.
 112. Harris RC, Breyer MD. Arachidonic acid metabolites and the kidney. In Brenner BM, editor. The Kidney. Philadelphia: W.B. Saunders, 2004, p. 727‐776.
 113. Harris RC, McKanna JA, Akai Y, Jacobson HR, Dubois RN, Breyer MD. Cyclooxygenase‐2 is associated with the macula densa of rat kidney and increases with salt restriction. J Clin Invest 94: 2504‐2510, 1994.
 114. Hartner A, Pahl A, Brune K, Goppelt‐Struebe M. Upregulation of cyclooxygenase‐1 and the PGE2 receptor EP2 in rat and human mesangioproliferative glomerulonephritis. Inflamm Res 49: 345‐354, 2000.
 115. Hasegawa H, Negishi M, Ichikawa A. Two isoforms of the prostaglandin E receptor EP3 subtype different in agonist‐independent constitutive activity. J Biol Chem 271: 1857‐1860, 1996.
 116. Hasumoto K, Sugimoto Y, Gotoh M, Segi E, Yamasaki A, Yamaguchi M, Honda H, Hirai H, Negishi M, Kakizuka A, Ichikawa A. Characterization of the mouse prostaglandin F receptor gene: A transgenic mouse study of a regulatory region that controls its expression in the stomach and kidney but not in the ovary. Genes Cells 2: 571‐580, 1997.
 117. He W, Miao FJ, Lin DC, Schwandner RT, Wang Z, Gao J, Chen JL, Tian H, Ling L. Citric acid cycle intermediates as ligands for orphan G‐protein‐coupled receptors. Nature 429: 188‐193, 2004.
 118. He W, Wang Y, Zhang MZ, You L, Davis LS, Fan H, Yang HC, Fogo AB, Zent R, Harris RC, Breyer MD, Hao CM. Sirt1 activation protects the mouse renal medulla from oxidative injury. J Clin Invest 120: 1056‐1068.
 119. Hébert R, Regnier L, Peterson L. Rabbit cortical collecting ducts express a novel prostacyclin receptor. Am J Physiol 268: F145‐F154, 1995.
 120. Hebert RL, Carmosino M, Saito O, Yang G, Jackson CM, Qi Z, Breyer RM, Natarajan C, Zhang Y, Guan Y, Breyer MD. Characterization of a rabbit PGF2alpha (FP) receptor exhibiting Gi‐restricted signaling and that inhibits water absorption in renal collecting duct. J Biol Chem, 280: 35028‐35037, 2005.
 121. Hebert RL, Jacobson HR, Breyer MD. PGE2 inhibits AVP‐induced water flow in cortical collecting ducts by protein kinase C activation. Am J Physiol 259: F318‐F325, 1990.
 122. Hebert RL, Jacobson HR, Breyer MD. Prostaglandin E2 inhibits sodium transport in rabbit cortical collecting duct by increasing intracellular calcium. J Clin Invest 87: 1992‐1998, 1991.
 123. Hebert RL, Jacobson HR, Fredin D, Breyer MD. Evidence that separate PGE2 receptors modulate water and sodium transport in rabbit cortical collecting duct. Am J Physiol 265: F643‐F650, 1993.
 124. Heise G, Grabensee B, Schror K, Heering P. Different actions of the cyclooxygenase 2 selective inhibitor flosulide in rats with passive Heymann nephritis. Nephron 80: 220‐226, 1998.
 125. Heyborne KD. Preeclampsia prevention: Lessons from the low‐dose aspirin therapy trials. Am J Obstet Gynecol 183: 523‐528, 2000.
 126. Higa EM, Schor N, Boim MA, Ajzen H, Ramos OL. Role of the prostaglandin and kallikrein‐kinin systems in aminoglycoside‐induced acute renal failure. Braz J Med Biol Res 18: 355‐365, 1985.
 127. Hirai H, Tanaka K, Takano S, Ichimasa M, Nakamura M, Nagata K. Cutting edge: Agonistic effect of indomethacin on a prostaglandin D2 receptor, CRTH2. J Immunol 168: 981‐985, 2002.
 128. Hirata M, Hayashi Y, Ushikubi F, Yokota Y, Kageyama R, Nakanishi S, Narumiya S. Cloning and expression of cDNA for a human thromboxane A2 receptor. Nature 349: 617‐620, 1991.
 129. Hirata T, Kakizuka A, Ushikubi F, Fuse I, Okuma M, Narumiya S. Arg60 to Leu mutation of the human thromboxane A2 receptor in a dominantly inherited bleeding disorder. J Clin Invest 94: 1662‐1667, 1994.
 130. Hirose S, Yamamoto T, Feng L, Yaoita E, Kawasaki K, Goto S, Fujinaka H, Wilson CB, Arakawa M, Kihara I. Expression and localization of cyclooxygenase isoforms and cytosolic phospholipase A2 in anti‐Thy‐1 glomerulonephritis. J Am Soc Nephrol 9: 408‐416, 1998.
 131. Hla T, Bishop‐Bailey D, Liu CH, Schaefers HJ, Trifan OC. Cyclooxygenase‐1 and ‐2 isoenzymes. Int J Biochem Cell Biol 31: 551‐557, 1999.
 132. Hocherl K, Endemann D, Kammerl MC, Grobecker HF, Kurtz A. Cyclo‐oxygenase‐2 inhibition increases blood pressure in rats. Br J Pharmacol 136: 1117‐1126, 2002.
 133. Hockel G, Cowley A. Prostaglandin E2‐induced hypertension in conscious dogs. Am J Physiol 237: H449‐H454, 1979.
 134. Homem de Bittencourt PI Jr, Curi R. Antiproliferative prostaglandins and the MRP/GS‐X pump role in cancer immunosuppression and insight into new strategies in cancer gene therapy. Biochem Pharmacol 62: 811‐819, 2001.
 135. Hommel E, Mathiesen E, Arnold‐Larsen S, Edsberg B, Olsen UB, Parving HH. Effects of indomethacin on kidney function in type 1 (insulin‐ dependent) diabetic patients with nephropathy. Diabetologia 30: 78‐81, 1987.
 136. Horiba N, Kumano E, Watanabe T, Shinkura H, Sugimoto T, Inoue M. Subtotal nephrectomy stimulates cyclooxygenase 2 expression and prostacyclin synthesis in the rat remnant kidney. Nephron 91: 134‐141, 2002.
 137. Hsu YH, Chen CH, Hou CC, Sue YM, Cheng CY, Cheng TH, Lin H, Tsai WL, Chan P, Chen TH. Prostacyclin protects renal tubular cells from gentamicin‐induced apoptosis via a PPARalpha‐dependent pathway. Kidney Int 73: 578‐587, 2008.
 138. Ichihara A, Imig JD, Inscho EW, Navar LG. Cyclooxygenase‐2 participates in tubular flow‐dependent afferent arteriolar tone: Interaction with neuronal NOS. Am J Physiol 275: F605‐F612, 1998.
 139. Ichihara A, Imig JD, Navar LG. Cyclooxygenase‐2 modulates afferent arteriolar responses to increases in pressure. Hypertension 34: 843‐847, 1999.
 140. Ichitani Y, Holmberg K, Maunsbach AB, Haeggstrom JZ, Samuelsson B, De Witt D, Hokfelt T. Cyclooxygenase‐1 and cyclooxygenase‐2 expression in rat kidney and adrenal gland after stimulation with systemic lipopolysaccharide: In situ hybridization and immunocytochemical studies. Cell Tissue Res 303: 235‐252, 2001.
 141. Imanishi M, Tsuji T, Nakamura S, Takamiya M. Prostaglandin i(2)/e(2) ratios in unilateral renovascular hypertension of different severities. Hypertension 38: 23‐29, 2001.
 142. Imig JD, Breyer MD, Breyer RM. Contribution of prostaglandin EP(2) receptors to renal microvascular reactivity in mice. Am J Physiol Renal Physiol 283: F415‐F422, 2002.
 143. Inoue H, Taba Y, Miwa Y, Yokota C, Miyagi M, Sasaguri T. Transcriptional and posttranscriptional regulation of cyclooxygenase‐2 expression by fluid shear stress in vascular endothelial cells. Arterioscler Thromb Vasc Biol 22: 1415‐1420, 2002.
 144. Inoue H, Tanabe T. Transcriptional role of the nuclear factor kappa B site in the induction by lipopolysaccharide and suppression by dexamethasone of cyclooxygenase‐2 in U937 cells. Biochem Biophys Res Commun 244: 143‐148, 1998.
 145. Inscho E, Carmines P, Navar L. Prostaglandin influences on afferent arteriolar responses to vasoconstrictor agonists. Am J Physiol 259: F157‐F163, 1990.
 146. Irie A, Sugimoto Y, Namba T, Harazono A, Honda A, Watabe A, Negishi M, Narumiya S, Ichikawa A. Third Isoform of the Prostaglandin‐E‐receptor EP3 Subtype with Different C‐Terminal Tail Coupling to both Stimulation and Inhibition of Adenylate Cyclase. Eur J Biochem 217: 313‐318, 1993.
 147. Ishibashi R, Tanaka I, Kotani M, Muro S, Goto M, Sugawara A, Mukoyama M, Sugimoto Y, Ichikawa A, Narumiya S, Nakao K. Roles of prostaglandin E receptors in mesangial cells under high‐glucose conditions. Kidney Int 56: 589‐600, 1999.
 148. Ito S, Carretero OA, Abe K, Beierwaltes WH, Yoshinaga K. Effect of prostanoids on renin release from rabbit afferent arterioles with and without macula densa. Kidney Int 35: 1138‐1144, 1989.
 149. Jaimes EA, Tian RX, Pearse D, Raij L. Up‐regulation of glomerular COX‐2 by angiotensin II: Role of reactive oxygen species. Kidney Int 68: 2143‐2153, 2005.
 150. Jaimes EA, Zhou MS, Pearse DD, Puzis L, Raij L. Upregulation of cortical COX‐2 in salt‐sensitive hypertension: Role of angiotensin II and reactive oxygen species. Am J Physiol Renal Physiol 294: F385‐F392, 2008.
 151. Jakobsson PJ, Thoren S, Morgenstern R, Samuelsson B. Identification of human prostaglandin E synthase: A microsomal, glutathione‐dependent, inducible enzyme, constituting a potential novel drug target. Proc Natl Acad Sci U S A 96: 7220‐7225, 1999.
 152. Jang BC, Munoz‐Najar U, Paik JH, Claffey K, Yoshida M, Hla T. Leptomycin B, an inhibitor of the nuclear export receptor CRM1, inhibits COX‐2 expression. J Biol Chem, 278: 2773‐2776, 2003.
 153. Jedlitschky G, Keppler D. Transport of leukotriene C4 and structurally related conjugates. Vitam Horm 64: 153‐184, 2002.
 154. Jensen B, Schmid C, Kurtz A. Prostaglandins stimulate renin secretion and renin mRNA in mouse renal juxtaglomerular cells. Am J Physiol 271: F659‐F669, 1996.
 155. Jensen BL, Kurtz A. Differential regulation of renal cyclooxygenase mRNA by dietary salt intake. Kidney Int 52: 1242‐1249, 1997.
 156. Jensen BL, Stubbe J, Hansen PB, Andreasen D, Skott O. Localization of prostaglandin E(2) EP2 and EP4 receptors in the rat kidney. Am J Physiol Renal Physiol 280: F1001‐F1009, 2001.
 157. Jia Z, Aoyagi T, Yang T. mPGES‐1 protects against DOCA‐salt hypertension via inhibition of oxidative stress or stimulation of NO/cGMP. Hypertension 55: 539‐546, 2010.
 158. Jia Z, Guo X, Zhang H, Wang MH, Dong Z, Yang T. Microsomal prostaglandin synthase‐1‐derived prostaglandin E2 protects against angiotensin II‐induced hypertension via inhibition of oxidative stress. Hypertension 52: 952‐959, 2008.
 159. Jia Z, Wang H, Yang T. Mice lacking mPGES‐1 are resistant to lithium‐induced polyuria. Am J Physiol Renal Physiol 297: F1689‐F1696, 2009.
 160. Jia Z, Zhang A, Zhang H, Dong Z, Yang T. Deletion of microsomal prostaglandin E synthase‐1 increases sensitivity to salt loading and angiotensin II infusion. Circ Res 99: 1243‐1251, 2006.
 161. Jo YI, Cheng H, Wang S, Moeckel GW, Harris RC. Puromycin induces reversible proteinuric injury in transgenic mice expressing cyclooxygenase‐2 in podocytes. Nephron Exp Nephrol 107: e87‐e94, 2007.
 162. Jose PA, Eisner GM, Felder RA. Dopamine and the kidney: A role in hypertension? Curr Opin Nephrol Hypertens 12: 189‐194, 2003.
 163. Kabashima K, Saji T, Murata T, Nagamachi M, Matsuoka T, Segi E, Tsuboi K, Sugimoto Y, Kobayashi T, Miyachi Y, Ichikawa A, Narumiya S. The prostaglandin receptor EP4 suppresses colitis, mucosal damage and CD4 cell activation in the gut. J Clin Invest 109: 883‐893, 2002.
 164. Kalgutkar AS, Crews BC, Rowlinson SW, Garner C, Seibert K, Marnett LJ. Aspirin‐like molecules that covalently inactivate cyclooxygenase‐2. Science 280: 1268‐1270, 1998.
 165. Kalsotra A, Strobel HW. Cytochrome P450 4F subfamily: At the crossroads of eicosanoid and drug metabolism. Pharmacol Ther 112: 589‐611, 2006.
 166. Kanai N, Lu R, Satriano JA, Bao Y, Wolkoff AW, Schuster VL. Identification and characterization of a prostaglandin transporter. Science 268: 866‐869, 1995.
 167. Kaneshiro Y, Ichihara A, Takemitsu T, Sakoda M, Suzuki F, Nakagawa T, Hayashi M, Inagami T. Increased expression of cyclooxygenase‐2 in the renal cortex of human prorenin receptor gene‐transgenic rats. Kidney Int 70: 641‐646, 2006.
 168. Katsuyama M, Ikegami R, Karahashi H, Amano F, Sugimoto Y, Ichikawa A. Characterization of the LPS‐stimulated expression of EP2 and EP4 prostaglandin E receptors in mouse macrophage‐like cell line, J774.1 [In Process Citation]. Biochem Biophys Res Commun 251: 727‐731, 1998.
 169. Kawada N, Dennehy K, Solis G, Modlinger P, Hamel R, Kawada JT, Aslam S, Moriyama T, Imai E, Welch WJ, Wilcox CS. TP receptors regulate renal hemodynamics during angiotensin II slow pressor response. Am J Physiol Renal Physiol 287: F753‐F759, 2004.
 170. Keith JC Jr, Thatcher CD, Schaub RG. Beneficial effects of U‐63,557A, a thromboxane synthetase inhibitor, in an ovine model of pregnancy‐induced hypertension. Am J Obstet Gynecol 157: 199‐203, 1987.
 171. Kennedy C, Schneider A, Young‐Siegler A, Brandon S, Breyer M, Breyer R. Regulation of renin and aldosterone levels in mice lacking the prostaglandin EP2 receptor. J Am Soc Nephrol 10: 348A, 1999.
 172. Kennedy CR, Xiong H, Rahal S, Vanderluit J, Slack RS, Zhang Y, Guan Y, Breyer MD, Hebert RL. Urine concentrating defect in prostaglandin EP1‐deficient mice. Am J Physiol Renal Physiol 292: F868‐F875, 2007.
 173. Khalil RA, Granger JP. Vascular mechanisms of increased arterial pressure in preeclampsia: Lessons from animal models. Am J Physiol Regul Integr Comp Physiol 283: R29‐R45, 2002.
 174. Khan KN, Stanfield KM, Harris RK, Baron DA. Expression of cyclooxygenase‐2 in the macula densa of human kidney in hypertension, congestive heart failure, and diabetic nephropathy. Ren Fail 23: 321‐330, 2001.
 175. Kim GH, Choi NW, Jung JY, Song JH, Lee CH, Kang CM, Knepper MA. Treating lithium‐induced nephrogenic diabetes insipidus with a COX‐2 inhibitor improves polyuria via upregulation of AQP2 and NKCC2. Am J Physiol Renal Physiol 294: F702‐F709, 2008.
 176. Kim HJ, Kim KW, Yu BP, Chung HY. The effect of age on cyclooxygenase‐2 gene expression: NF‐kappaB activation and IkappaBalpha degradation. Free Radic Biol Med 28: 683‐692, 2000.
 177. Kimura H, Takeda M, Narikawa S, Enomoto A, Ichida K, Endou H. Human organic anion transporters and human organic cation transporters mediate renal transport of prostaglandins. J Pharmacol Exp Ther 301: 293‐298, 2002.
 178. Kiritoshi S, Nishikawa T, Sonoda K, Kukidome D, Senokuchi T, Matsuo T, Matsumura T, Tokunaga H, Brownlee M, Araki E. Reactive oxygen species from mitochondria induce cyclooxygenase‐2 gene expression in human mesangial cells: Potential role in diabetic nephropathy. Diabetes 52: 2570‐2577, 2003.
 179. Kiriyama M, Ushikubi F, Kobayashi T, Hirata M, Sugimoto Y, Narumiya S. Ligand binding specificities of the eight types and subtypes of the mouse prostanoid receptors expressed in chinese hamster ovary cells. Br J Pharmacol 122: 217‐224, 1997.
 180. Kirschenbaum MA, Chaudhari A. Effect of experimental diabetes on glomerular filtration rate and glomerular prostanoid production in the rat. Miner Electrolyte Metab 12: 352‐355, 1986.
 181. Kitahara M, Eitner F, Ostendorf T, Kunter U, Janssen U, Westenfeld R, Matsui K, Kerjaschki D, Floege J. Selective cyclooxygenase‐2 inhibition impairs glomerular capillary healing in experimental glomerulonephritis. J Am Soc Nephrol 13: 1261‐1270, 2002.
 182. Klahr S, Morrissey JJ. The role of growth factors, cytokines, and vasoactive compounds in obstructive nephropathy. Semin Nephrol 18: 622‐632, 1998.
 183. Kliewer S, Lenhard J, Wilson T, Patel I, Morris D, Lehmann J. A prostaglandin J2 metabolite binds peroxisome proliferator‐activated receptor gamma and promotes adipocyte differentiation. Cell 83: 813‐819, 1995.
 184. Klockenbusch W, Rath W. [Prevention of pre‐eclampsia by low‐dose acetylsalicylic acid—a critical appraisal]. Z Geburtshilfe Neonatol 206: 125‐130, 2002.
 185. Komers R, Lindsley JN, Oyama TT, Anderson S. Cyclo‐oxygenase‐2 inhibition attenuates the progression of nephropathy in uninephrectomized diabetic rats. Clin Exp Pharmacol Physiol 34: 36‐41, 2007.
 186. Komers R, Lindsley JN, Oyama TT, Schutzer WE, Reed JF, Mader SL, Anderson S. Immunohistochemical and functional correlations of renal cyclooxygenase‐2 in experimental diabetes. J Clin Invest 107: 889‐898, 2001.
 187. Komhoff M, Jeck ND, Seyberth HW, Grone HJ, Nusing RM, Breyer MD. Cyclooxygenase‐2 expression is associated with the renal macula densa of patients with Bartter‐like syndrome. Kidney Int 58: 2420‐2424, 2000.
 188. Komhoff M, Lesener B, Nakao K, Seyberth HW, Nusing RM. Localization of the prostacyclin receptor in human kidney. Kidney Int 54: 1899‐1908, 1998.
 189. Komhoff M, Wang JL, Cheng HF, Langenbach R, McKanna JA, Harris RC, Breyer MD. Cyclooxygenase‐2‐selective inhibitors impair glomerulogenesis and renal cortical development. Kidney Int 57: 414‐422, 2000.
 190. Kong WX, Ma J, Gu Y, Yang HC, Zuo YQ, Lin SY. [Renal protective effects of specific cyclooxygenase‐2 inhibitor in rats with subtotal renal ablation]. Zhonghua Nei Ke Za Zhi 42: 186‐190, 2003.
 191. Kopp UC, Cicha MZ, Nakamura K, Nusing RM, Smith LA, Hokfelt T. Activation of EP4 receptors contributes to prostaglandin E2‐mediated stimulation of renal sensory nerves. Am J Physiol Renal Physiol 287: F1269‐F1282, 2004.
 192. Kotani M, Tanaka I, Ogawa Y, Usui T, Mori K, Ichikawa A, Narumiya S, Yoshimi T, Nakao K. Molecular cloning and expression of multiple isoforms of human prostaglandin E receptor EP3 subtype generated by alternative messenger RNA splicing: Multiple second messenger systems and tissue‐specific distributions. Mol Pharmacol 48: 869‐879, 1995.
 193. Kotnik P, Nielsen J, Kwon TH, Krzisnik C, Frokiaer J, Nielsen S. Altered expression of COX‐1, COX‐2, and mPGES in rats with nephrogenic and central diabetes insipidus. Am J Physiol Renal Physiol 288: F1053‐F1068, 2005.
 194. Kovacs G, Peti‐Peterdi J, Rosivall L, Bell PD. Angiotensin II directly stimulates macula densa Na‐2Cl‐K cotransport via apical AT(1) receptors. Am J Physiol Renal Physiol 282: F301‐F306, 2002.
 195. Kujubu DA, Fletcher BS, Varnum BC, Lim RW, Herschman HR. TIS10, a phorbol ester tumor promoter‐inducible mRNA from Swiss 3T3 cells, encodes a novel prostaglandin synthase/cyclooxygenase homologue. J Biol Chem 266: 12866‐12872, 1991.
 196. Kuper C, Bartels H, Fraek ML, Beck FX, Neuhofer W. Ectodomain shedding of pro‐TGF‐alpha is required for COX‐2 induction and cell survival in renal medullary cells exposed to osmotic stress. Am J Physiol Cell Physiol 293: C1971‐C1982, 2007.
 197. Langenbach R, Morham SG, Tiano HF, Loftin CD, Ghanayem BI, Chulada PC, Mahler JF, Lee CA, Goulding EH, Kluckman KD, Kim HS, Smithies O. Prostaglandin synthase 1 gene disruption in mice reduces arachidonic acid‐induced inflammation and indomethacin‐induced gastric ulceration. Cell 83: 483‐492, 1995.
 198. Lee SH, Williams MV, Dubois RN, Blair IA. Cyclooxygenase‐2‐mediated DNA damage. J Biol Chem 280: 28337‐28346, 2005.
 199. Li J, Chen YJ, Quilley J. Effect of tempol on renal cyclooxygenase expression and activity in experimental diabetes in the rat. J Pharmacol Exp Ther 314: 818‐824, 2005.
 200. Li JH, Chou CL, Li B, Gavrilova O, Eisner C, Schnermann J, Anderson SA, Deng CX, Knepper MA, Wess J. A selective EP4 PGE2 receptor agonist alleviates disease in a new mouse model of X‐linked nephrogenic diabetes insipidus. J Clin Invest 119: 3115‐3126, 2009.
 201. Lu R, Kanai N, Bao Y, Schuster VL. Cloning, in vitro expression, and tissue distribution of a human prostaglandin transporter cDNA(hPGT). J Clin Invest 98: 1142‐1149, 1996.
 202. Makino H, Tanaka I, Mukoyama M, Sugawara A, Mori K, Muro S, Suganami T, Yahata K, Ishibashi R, Ohuchida S, Maruyama T, Narumiya S, Nakao K. Prevention of diabetic nephropathy in rats by prostaglandin E receptor EP1‐selective antagonist. J Am Soc Nephrol 13: 1757‐1765, 2002.
 203. Mann B, Hartner A, Jensen BL, Kammerl M, Kramer BK, Kurtz A. Furosemide stimulates macula densa cyclooxygenase‐2 expression in rats. Kidney Int 59: 62‐68, 2001.
 204. Mannon RB, Coffman TM, Mannon PJ. Distribution of binding sites for thromboxane A2 in the mouse kidney. Am J Physiol 271: F1131‐F1138, 1996.
 205. Marnett LJ, Rowlinson SW, Goodwin DC, Kalgutkar AS, Lanzo CA. Arachidonic acid oxygenation by COX‐1 and COX‐2. Mechanisms of catalysis and inhibition. J Biol Chem 274: 22903‐22906, 1999.
 206. Martineau LC, McVeigh LI, Jasmin BJ, Kennedy CR. p38 MAP kinase mediates mechanically induced COX‐2 and PG EP4 receptor expression in podocytes: Implications for the actin cytoskeleton. Am J Physiol Renal Physiol 286: F693‐F701, 2004.
 207. Mathiesen ER, Hommel E, Olsen UB, Parving HH. Elevated urinary prostaglandin excretion and the effect of indomethacin on renal function in incipient diabetic nephropathy. Diabet Med 5: 145‐149, 1988.
 208. Matsuoka T, Hirata M, Tanaka H, Takahashi Y, Murata T, Kabashima K, Sugimoto Y, Kobayashi T, Ushikubi F, Aze Y, Eguchi N, Urade Y, Yoshida N, Kimura K, Mizoguchi A, Honda Y, Nagai H, Narumiya S. Prostaglandin D2 as a mediator of allergic asthma. Science 287: 2013‐2017, 2000.
 209. Matzdorf C, Kurtz A, Hocherl K. COX‐2 activity determines the level of renin expression but is dispensable for acute upregulation of renin expression in rat kidneys. Am J Physiol Renal Physiol 292: F1782‐F1790, 2007.
 210. Mestre JR, Mackrell PJ, Rivadeneira DE, Stapleton PP, Tanabe T, Daly JM. Redundancy in the signaling pathways and promoter elements regulating cyclooxygenase‐2 gene expression in endotoxin‐treated macrophage/monocytic cells. J Biol Chem 276: 3977‐3982, 2001.
 211. Moel DI, Safirstein RL, McEvoy RC, Hsueh W. Effect of aspirin on experimental diabetic nephropathy. J Lab Clin Med 110: 300‐307, 1987.
 212. Morham SG, Langenbach R, Loftin CD, Tiano HF, Vouloumanos N, Jennette JC, Mahler JF, Kluckman KD, Ledford A, Lee CA, Smithies O. Prostaglandin synthase 2 gene disruption causes severe renal pathology in the mouse. Cell 83: 473‐482, 1995.
 213. Morinelli TA, Oatis JE Jr, Okwu AK, Mais DE, Mayeux PR, Masuda A, Knapp DR, Halushka PV. Characterization of an 125I‐labeled thromboxane A2/prostaglandin H2 receptor agonist. J Pharmacol Exp Ther 251: 557‐562, 1989.
 214. Morrow JD, Harris TM, Roberts LJ 2nd. Noncyclooxygenase oxidative formation of a series of novel prostaglandins: Analytical ramifications for measurement of eicosanoids. Anal Biochem 184: 1‐10, 1990.
 215. Morrow JD. Quantification of isoprostanes as indices of oxidant stress and the risk of atherosclerosis in humans. Arterioscler Thromb Vasc Biol 25: 279‐286, 2005.
 216. Morrow JD, Roberts LJ. The isoprostanes: Unique bioactive products of lipid peroxidation. Prog Lipid Res 36: 1‐21, 1997.
 217. Mouithys‐Mickalad A, Deby‐Dupont G, Dogne JM, de Leval X, Kohnen S, Navet R, Sluse F, Hoebeke M, Pirotte B, Lamy M. Effects of COX‐2 inhibitors on ROS produced by Chlamydia pneumoniae‐primed human promonocytic cells (THP‐1). Biochem Biophys Res Commun 325: 1122‐1130, 2004.
 218. Murakami M, Kudo I. Phospholipase A2. J Biochem (Tokyo) 131: 285‐292, 2002.
 219. Murakami M, Nakatani Y, Tanioka T, Kudo I. Prostaglandin E synthase. Prostaglandins Other Lipid Mediat 68‐69: 383‐399, 2002.
 220. Murata T, Ushikubi F, Matsuoka T, Hirata M, Yamasaki A, Sugimoto Y, Ichikawa A, Aze Y, Tanaka T, Yoshida N, Ueno A, Oh‐ishi S, Narumiya S. Altered pain perception and inflammatory response in mice lacking prostacyclin receptor. Nature 388: 678‐682, 1997.
 221. Nadler SP, Hebert SC, Brenner BM. PGE2, forskolin, and cholera toxin interactions in rabbit cortical collecting tubule. Am J Physiol 250: F127‐F135, 1986.
 222. Nagamatsu T, Imai H, Yokoi M, Nishiyama T, Hirasawa Y, Nagao T, Suzuki Y. Protective effect of prostaglandin EP4‐receptor agonist on anti‐glomerular basement membrane antibody‐associated nephritis. J Pharmacol Sci 102: 182‐188, 2006.
 223. Namba T, Oida H, Sugimoto Y, Kakizuka A, Negishi M, Ichikawa A, Narumiya S. cDNA cloning of a mouse prostacyclin receptor: Multiple signaling pathways and expression in thymic medulla. J Biol Chem 269: 9986‐9992, 1994.
 224. Nantel F, Meadows E, Denis D, Connolly B, Metters K, Giaid A. Immunolocalization of cyclooxygenase‐2 in the macula densa of human elderly. FEBS Lett 457: 475‐477, 1999.
 225. Narumiya S, Sugimoto Y, Ushikubi F. Prostanoid receptors: Structures, properties, and functions. Physiol Rev 79: 1193‐1226, 1999.
 226. Nasjletti A. Arthur C. Corcoran Memorial Lecture. The role of eicosanoids in angiotensin‐dependent hypertension. Hypertension 31: 194‐200, 1998.
 227. Nasrallah R, Hebert RL. Prostacyclin signaling in the kidney: Implications for health and disease. Am J Physiol Renal Physiol 289: F235‐F246, 2005.
 228. Nath KA, Chmielewski DH, Hostetter TH. Regulatory role of prostanoids in glomerular microcirculation of remnant nephrons. Am J Physiol 252: F829‐F837, 1987.
 229. Negishi M, Katoh H. Cyclopentenone prostaglandin receptors. Prostaglandins Other Lipid Mediat 68‐69: 611‐617, 2002.
 230. Nguyen G. Increased cyclooxygenase‐2, hyperfiltration, glomerulosclerosis, and diabetic nephropathy: Put the blame on the (pro)renin receptor? Kidney Int 70: 618‐620, 2006.
 231. Nguyen M, Camenisch T, Snouwaert JN, Hicks E, Coffman TM, Anderson PA, Malouf NN, Koller BH. The prostaglandin receptor EP4 triggers remodelling of the cardiovascular system at birth. Nature 390: 78‐81, 1997.
 232. Nies AT, Konig J, Cui Y, Brom M, Spring H, Keppler D. Structural requirements for the apical sorting of human multidrug resistance protein 2 (ABCC2). Eur J Biochem 269: 1866‐1876, 2002.
 233. Nishigaki N, Negishi M, Honda A, Sugimoto Y, Namba T, Narumiya S, Ichikawa A. Identification of prostaglandin E receptor ‘EP2’ cloned from mastocytoma cells as EP4 subtype. FEBS Lett 364: 339‐341, 1995.
 234. Nomura T, Chang HY, Lu R, Hankin J, Murphy RC, Schuster VL. Prostaglandin signaling in the renal collecting duct: Release, reuptake, and oxidation in the same cell. J Biol Chem 280: 28424‐28429, 2005.
 235. Nusing R, Fehr PM, Gudat F, Kemeny E, Mihatsch MJ, Ullrich V. The localization of thromboxane synthase in normal and pathological human kidney tissue using a monoclonal antibody Tu 300. Virchows Arch 424: 69‐74, 1994.
 236. Nusing RM, Treude A, Weissenberger C, Jensen B, Bek M, Wagner C, Narumiya S, Seyberth HW. Dominant role of prostaglandin E2 EP4 receptor in furosemide‐induced salt‐losing tubulopathy: A model for hyperprostaglandin E syndrome/antenatal Bartter syndrome. J Am Soc Nephrol 16: 2354‐2362, 2005.
 237. O'Banion M, Winn V, Young D. cDNA cloning and functional activity of a glucocorticoid‐regulated inflammatory cyclooxygenase. Proc Natl Acad Sci U S A 89: 4888‐4892, 1992.
 238. Ogawa M, Hirawa N, Tsuchida T, Eguchi N, Kawabata Y, Numabe A, Negoro H, Hakamada‐Taguchi R, Seiki K, Umemura S, Urade Y, Uehara Y. Urinary excretions of lipocalin‐type prostaglandin D2 synthase predict the development of proteinuria and renal injury in OLETF rats. Nephrol Dial Transplant 21: 924‐934, 2006.
 239. Oida H, Hirata M, Sugimoto Y, Ushikubi F, Ohishi H, Mizuno N, Ichikawa A, Narumiya S. Expression of messenger RNA for the prostaglandin D receptor in the leptomeninges of the mouse brain. FEBS Lett 417: 53‐56, 1997.
 240. Oida H, Namba T, Sugimoto Y, Ushikubi F, Ohishi H, Ichikawa A, Narumiya S. In situ hybridization studies on prostacyclin receptor mRNA expression in various mouse organs. Br J Pharmacol 116: 2828‐2837, 1995.
 241. Okahara K, Sun B, Kambayashi J. Upregulation of prostacyclin synthesis‐related gene expression by shear stress in vascular endothelial cells. Arterioscler Thromb Vasc Biol 18: 1922‐1926, 1998.
 242. Oliw E. Oxygenation of polyunsaturated fatty acids by cytochrome P450 monooxygenases. Prog Lipid Res 33: 329‐354, 1994.
 243. Ouellet M, Falgueyret JP, Hien Ear P, Pen A, Mancini JA, Riendeau D, Percival MD. Purification and characterization of recombinant microsomal prostaglandin E synthase‐1. Protein Expr Purif 26: 489‐495, 2002.
 244. Pallone TL, Silldorff EP. Pericyte regulation of renal medullary blood flow. Exp Nephrol 9: 165‐170, 2001.
 245. Papanicolaou N, Hatziantoniou C, Bariety J. Selective inhibition of thromboxane synthesis partially protected while inhibition of angiotensin II formation did not protect rats against acute renal failure induced with glycerol. Prostaglandins Leukot Med 21: 29‐35, 1986.
 246. Patel NS, Cuzzocrea S, Collino M, Chaterjee PK, Mazzon E, Britti D, Yaqoob MM, Thiemermann C. The role of cycloxygenase‐2 in the rodent kidney following ischaemia/reperfusion injury in vivo. Eur J Pharmacol 562: 148‐154, 2007.
 247. Pelayo JC, Shanley PF. Glomerular and tubular adaptive responses to acute nephron loss in the rat. Effect of prostaglandin synthesis inhibition. J Clin Invest 85: 1761‐1769, 1990.
 248. Pelayo JC, Westcott JY. Impaired autoregulation of glomerular capillary hydrostatic pressure in the rat remnant nephron. J Clin Invest 88: 101‐105, 1991.
 249. Perazella MA, Tray K. Selective cyclooxygenase‐2 inhibitors: A pattern of nephrotoxicity similar to traditional nonsteroidal anti‐inflammatory drugs. Am J Med 111: 64‐67, 2001.
 250. Peruzzi L, Gianoglio B, Porcellini MG, Coppo R. Neonatal end‐stage renal failure associated with maternal ingestion of cyclo‐oxygenase‐type‐2 selective inhibitor nimesulide as tocolytic [letter; comment]. Lancet 354: 1615, 1999.
 251. Peti‐Peterdi J, Harris RC. Macula densa sensing and signaling mechanisms of renin release. J Am Soc Nephrol 21: 1093‐1096.
 252. Peti‐Peterdi J, Komlosi P, Fuson AL, Guan Y, Schneider A, Qi Z, Redha R, Rosivall L, Breyer MD, Bell PD. Luminal NaCl delivery regulates basolateral PGE2 release from macula densa cells. J Clin Invest 112: 76‐82, 2003.
 253. Pierce KL, Fujino H, Srinivasan D, Regan JW. Activation of FP prostanoid receptor isoforms leads to Rho‐mediated changes in cell morphology and in the cell cytoskeleton. J Biol Chem 274: 35944‐35949, 1999.
 254. Prieto‐Carrasquero MC, Harrison‐Bernard LM, Kobori H, Ozawa Y, Hering‐Smith KS, Hamm LL, Navar LG. Enhancement of collecting duct renin in angiotensin II‐dependent hypertensive rats. Hypertension 44: 223‐229, 2004.
 255. Purdy KE, Arendshorst WJ. EP(1) and EP(4) receptors mediate prostaglandin E(2) actions in the microcirculation of rat kidney. Am J Physiol Renal Physiol 279: F755‐F764, 2000.
 256. Qi Z, Cai H, Morrow JD, Breyer MD. Differentiation of cyclooxygenase 1‐ and 2‐derived prostanoids in mouse kidney and aorta. Hypertension 48: 323‐328, 2006.
 257. Qi Z, Hao CM, Langenbach RI, Breyer RM, Redha R, Morrow JD, Breyer MD. Opposite effects of cyclooxygenase‐1 and ‐2 activity on the pressor response to angiotensin II. J Clin Invest 110: 61‐69, 2002.
 258. Quest DW, Wilson TW. Effects of ridogrel, a thromboxane synthase inhibitor and receptor antagonist, on blood pressure in the spontaneously hypertensive rat. Jpn J Pharmacol 78: 479‐486, 1998.
 259. Ragolia L, Palaia T, Hall CE, Maesaka JK, Eguchi N, Urade Y. Accelerated glucose intolerance, nephropathy, and atherosclerosis in prostaglandin D2 synthase knock‐out mice. J Biol Chem 280: 29946‐29955, 2005.
 260. Rao PS, Cavanagh D, Dietz JR, Marsden KA, O'Brien WF, Spaziani E. Dose‐dependent effects of prostaglandin D2 on hemodynamics, renal function, and blood gas analyses. Am J Obstet Gynecol 156: 843‐851, 1987.
 261. Rao R, Zhang MZ, Zhao M, Cai H, Harris RC, Breyer MD, Hao CM. Lithium treatment inhibits renal GSK‐3 activity and promotes cyclooxygenase 2‐dependent polyuria. Am J Physiol Renal Physiol 288: F642‐F649, 2005.
 262. Raychowdhury MK, Yukawa M, Collins LJ, McGrail SH, Kent KC, Ware JA. Alternative splicing produces a divergent cytoplasmic tail in the human endothelial thromboxane A2 receptor. J Biol Chem 269: 19256‐19261, 1994. [Published erratum appears in J Biol Chem 1995 Mar 24;270(12):7011].
 263. Regan JW, Bailey TJ, Pepperl DJ, Pierce KL, Bogardus AM, Donello JE, Fairbairn CE, Kedzie KM, Woodward DF, Gil DW. Cloning of a novel human prostaglandin receptor with characteristics of the pharmacologically defined EP2 subtype. Mol Pharmacol 46: 213‐220, 1994.
 264. Roberts LJ 2nd, Morrow JD. Products of the isoprostane pathway: Unique bioactive compounds and markers of lipid peroxidation. Cell Mol Life Sci 59: 808‐820, 2002.
 265. Roberts LJ 2nd, Seibert K, Liston TE, Tantengco MV, Robertson RM. PGD2 is transformed by human coronary arteries to 9 alpha, 11 beta‐PGF2, which contracts human coronary artery rings. Adv Prostaglandin Thromboxane Leukot Res 17A: 427‐429, 1987.
 266. Rocca B, Secchiero P, Ciabattoni G, Ranelletti FO, Catani L, Guidotti L, Melloni E, Maggiano N, Zauli G, Patrono C. Cyclooxygenase‐2 expression is induced during human megakaryopoiesis and characterizes newly formed platelets. Proc Natl Acad Sci U S A 99: 7634‐7639, 2002.
 267. Rockwell P, Martinez J, Papa L, Gomes E. Redox regulates COX‐2 upregulation and cell death in the neuronal response to cadmium. Cell Signal 16: 343‐353, 2004.
 268. Rohrwasser A, Ishigami T, Gociman B, Lantelme P, Morgan T, Cheng T, Hillas E, Zhang S, Ward K, Bloch‐Faure M, Meneton P, Lalouel JM. Renin and kallikrein in connecting tubule of mouse. Kidney Int 64: 2155‐2162, 2003.
 269. Roman R, Lianos E. Influence of prostaglandins on papillary blood flow and pressure‐natriuretic response. Hypertension 15: 29‐35, 1990.
 270. Rossl A, Kapahl P, Natoli G, Takahashi T, Chen Y, Karin M, Santoro MG. Anti‐inflammatory cyclopentenone prostaglandins are direct inhibitors of IκB kinase. Nature 403: 103‐108, 2000.
 271. Ruschitzka F, Shaw S, Noll G, Barton M, Schulz E, Muller GA, Luscher TF. Endothelial vasoconstrictor prostanoids, vascular reactivity, and acute renal failure. Kidney Int Suppl 67: S199‐S201, 1998.
 272. Sakairi Y, Jacobson HR, Noland TD, Breyer MD. Luminal prostaglandin E receptors regulate salt and water transport in rabbit cortical collecting duct. Am J Physiol 269: F257‐F265, 1995.
 273. Sakuma S, Fujimoto Y, Hikita E, Okano Y, Yamamoto I, Fujita T. Effects of metal ions on 15‐hydroxy prostaglandin dehydrogenase activity in rabbit kidney cortex. Prostaglandins 40: 507‐514, 1990.
 274. Sanchez PL, Salgado LM, Ferreri NR, Escalante B. Effect of cyclooxygenase‐2 inhibition on renal function after renal ablation. Hypertension 34: 848‐853, 1999.
 275. Sankaran D, Bankovic‐Calic N, Ogborn MR, Crow G, Aukema HM. Selective COX‐2 inhibition markedly slows disease progression and attenuates altered prostanoid production in Han:SPRD‐cy rats with inherited kidney disease. Am J Physiol Renal Physiol 293: F821‐F830, 2007.
 276. Sato T, Sawada S, Tsuda Y, Komatsu S, Akamatsu N, Kono Y, Higaki T, Imamura H, Tada Y, Yamasaki S, Tamagaki T, Nakagawa K, Tsuji H, Nakagawa M. The mechanism of thrombin‐induced prostacyclin synthesis in human endothelial cells with reference to the gene transcription of prostacyclin‐related enzymes and Ca2+ kinetics. J Pharmacol Toxicol Methods 41: 173‐182, 1999.
 277. Sauvant C, Holzinger H, Gekle M. Prostaglandin E2 inhibits Its own renal transport by downregulation of organic anion transporters rOAT1 and rOAT3. J Am Soc Nephrol 17: 46‐53, 2006.
 278. Schlondorff D. Renal complications of nonsteroidal anti‐inflammatory drugs. Kidney Int 44: 643‐653, 1993.
 279. Schmitz PG, Krupa SM, Lane PH, Reddington JC, Salinas‐Madrigal L. Acquired essential fatty acid depletion in the remnant kidney: Amelioration with U‐63557A. Kidney Int 46: 1184‐1191, 1994.
 280. Schneider A, Harendza S, Zahner G, Jocks T, Wenzel U, Wolf G, Thaiss F, Helmchen U, Stahl RA. Cyclooxygenase metabolites mediate glomerular monocyte chemoattractant protein‐1 formation and monocyte recruitment in experimental glomerulonephritis [see comments]. Kidney Int 55: 430‐441, 1999.
 281. Schnermann J. Juxtaglomerular cell complex in the regulation of renal salt excretion. 274: R263‐R279, 1998.
 282. Schnermann J. Cyclooxygenase‐2 and macula densa control of renin secretion. Nephrol Dial Transplant 16: 1735‐1738, 2001.
 283. Schnermann J, Traynor T, Pohl H, Thomas DW, Coffman TM, Briggs JP. Vasoconstrictor responses in thromboxane receptor knockout mice: Tubuloglomerular feedback and ureteral obstruction. Acta Physiol Scand 168: 201‐207, 2000.
 284. Schuster VL. Prostaglandin transport. Prostaglandins Other Lipid Mediat 68‐69: 633‐647, 2002.
 285. Schwartzman ML, Falck JR, Yadagiri P, Escalante B. Metabolism of 20‐hydroxyeicosatetraenoic acid by cyclooxygenase. Formation and identification of novel endothelium‐dependent vasoconstrictor metabolites. J Biol Chem 264: 11658‐11662, 1989.
 286. Schweda F, Klar J, Narumiya S, Nusing RM, Kurtz A. Stimulation of renin release by prostaglandin E2 is mediated by EP2 and EP4 receptors in mouse kidneys. Am J Physiol Renal Physiol 287: F427‐F433, 2004.
 287. Segi E, Sugimoto Y, Yamasaki A, Aze Y, Oida H, Nishimura T, Murata T, Matsuoka T, Ushikubi F, Hirose M, Tanaka T, Yoshida N, Narumiya S, Ichikawa A. Patent ductus arteriosus and neonatal death in prostaglandin receptor EP4‐deficient mice. Biochem Biophys Res Commun 246: 7‐12, 1998.
 288. Seney FD Jr, Persson EG, Wright FS. Modification of tubuloglomerular feedback signal by dietary protein. Am J Physiol 252: F83‐F90, 1987.
 289. Seney FD Jr, Wright FS. Dietary protein suppresses feedback control of glomerular filtration in rats. J Clin Invest 75: 558‐568, 1985.
 290. Serezani CH, Chung J, Ballinger MN, Moore BB, Aronoff DM, Peters‐Golden M. Prostaglandin E2 suppresses bacterial killing in alveolar macrophages by inhibiting NADPH oxidase. Am J Respir Cell Mol Biol 37: 562‐570, 2007.
 291. Sharif NA, Xu SX, Williams GW, Crider JY, Griffin BW, Davis TL. Pharmacology of [3H]prostaglandin E1/[3H]prostaglandin E2 and [3H]prostaglandin F2alpha binding to EP3 and FP prostaglandin receptor binding sites in bovine corpus luteum: Characterization and correlation with functional data. J Pharmacol Exp Ther 286: 1094‐1102, 1998.
 292. Shibata T, Kondo M, Osawa T, Shibata N, Kobayashi M, Uchida K. 15‐Deoxy‐Delta 12,14‐prostaglandin J2. A prostaglandin D2 metabolite generated during inflammatory processes. J Biol Chem 277: 10459‐10466, 2002.
 293. Shinmura K, Tang XL, Wang Y, Xuan YT, Liu SQ, Takano H, Bhatnagar A, Bolli R. Cyclooxygenase‐2 mediates the cardioprotective effects of the late phase of ischemic preconditioning in conscious rabbits. Proc Natl Acad Sci U S A 97: 10197‐10202, 2000.
 294. Silldorf E, Yang S, Pallone T. Prostaglandin E2 abrogates endothelin‐induced vasoconstriction in renal outer medullary descending vasa recta of the rat. J Clin Invest 95: 2734‐2740, 1995.
 295. Singhal P, Sagar S, Garg P, Bansal V. Vasoactive agents modulate matrix metalloproteinase‐2 activity by mesangial cells. Am J Med Sci 310: 235‐241, 1995.
 296. Siragy HM, Carey RM. The subtype 2 angiotensin receptor regulates renal prostaglandin F2 alpha formation in conscious rats. Am J Physiol 273: R1103‐R1107, 1997.
 297. Siragy HM, Inagami T, Ichiki T, Carey RM. Sustained hypersensitivity to angiotensin II and its mechanism in mice lacking the subtype‐2 (AT2) angiotensin receptor. Proc Natl Acad Sci U S A 96: 6506‐6510, 1999.
 298. Siragy HM, Senbonmatsu T, Ichiki T, Inagami T, Carey RM. Increased renal vasodilator prostanoids prevent hypertension in mice lacking the angiotensin subtype‐2 receptor. J Clin Invest 104: 181‐188, 1999.
 299. Smith WL, Langenbach R. Why there are two cyclooxygenase isozymes. J Clin Invest 107: 1491‐1495, 2001.
 300. Solari V, Piotrowska AP, Cascio S, Unemoto K, Chertin B, Puri P. Cyclooxygenase‐2 up‐regulation in reflux nephropathy. J Urol 170: 1624‐1627, 2003.
 301. Soler M, Camacho M, Sola R, Vila L. Mesangial cells release untransformed prostaglandin H2 as a major prostanoid. Kidney Int 59: 1283‐1289, 2001.
 302. Solomon SD, Pfeffer MA, McMurray JJ, Fowler R, Finn P, Levin B, Eagle C, Hawk E, Lechuga M, Zauber AG, Bertagnolli MM, Arber N, Wittes J. Effect of celecoxib on cardiovascular events and blood pressure in two trials for the prevention of colorectal adenomas. Circulation 114: 1028‐1035, 2006.
 303. Soodvilai S, Jia Z, Wang MH, Dong Z, Yang T. mPGES‐1 deletion impairs diuretic response to acute water loading. Am J Physiol Renal Physiol 296: F1129‐F1135, 2009.
 304. Spurney RF, Onorato JJ, Albers FJ, Coffman TM. Thromoboxane binding and signal transduction in rat glomerular mesangial cells. Am J Physiol 264: F292‐F299, 1993.
 305. Sri Kantha S, Matsumura H, Kubo E, Kawase K, Takahata R, Serhan CN, Hayaishi O. Effects of prostaglandin D2, lipoxins and leukotrienes on sleep and brain temperature of rats. Prostaglandins Leukot Essent Fatty Acids 51: 87‐93, 1994.
 306. Stahl RA, Kudelka S, Helmchen U. High protein intake stimulates glomerular prostaglandin formation in remnant kidneys. Am J Physiol 252: F1083‐F1094, 1987.
 307. Stahl RA, Kudelka S, Paravicini M, Schollmeyer P. Prostaglandin and thromboxane formation in glomeruli from rats with reduced renal mass. Nephron 42: 252‐257, 1986.
 308. Stichtenoth DO, Marhauer V, Tsikas D, Gutzki FM, Frolich JC. Effects of specific COX‐2‐inhibition on renin release and renal and systemic prostanoid synthesis in healthy volunteers. Kidney Int 68: 2197‐2207, 2005.
 309. Stock JL, Shinjo K, Burkhardt J, Roach M, Taniguchi K, Ishikawa T, Kim HS, Flannery PJ, Coffman TM, McNeish JD, Audoly LP. The prostaglandin E2 EP1 receptor mediates pain perception and regulates blood pressure. J Clin Invest 107: 325‐331, 2001.
 310. Straus DS, Glass CK. Cyclopentenone prostaglandins: New insights on biological activities and cellular targets. Med Res Rev 21: 185‐210, 2001.
 311. Studer R, Negrete H, Craven P, DeRubertis F. Protein kinase C signals thromboxane induced increases in fibronectin synthesis and TGF‐beta bioactivity in mesangial cells. Kidney Int 48: 422‐430, 1995.
 312. Sugimoto Y, Namba T, Shigemoto R, Negishi M, Ichikawa A, Narumiya S. Distinct cellular localization of mRNAs for three subtypes of prostaglandin E receptor in kidney. Am J Physiol 266: F823‐F828, 1994.
 313. Sugimoto Y, Narumiya S, Ichikawa A. Distribution and function of prostanoid receptors: Studies from knockout mice. Prog Lipid Res 39: 289‐314, 2000.
 314. Sugimoto Y, Yamasaki A, Segi E, Tsuboi K, Aze Y, Nishimura T, Oida H, Yoshida N, Tanaka T, Katsuyama M, Hasumoto K, Murata T, Hirata M, Ushikubi F, Negishi M, Ichikawa A, Narumiya S. Failure of parturition in mice lacking the prostaglandin F receptor. Science 277: 681‐683, 1997.
 315. Syal A, Schiavi S, Chakravarty S, Dwarakanath V, Quigley R, Baum M. Fibroblast growth factor‐23 increases mouse PGE2 production in vivo and in vitro. Am J Physiol Renal Physiol, 290: F450‐F455, 2005.
 316. Tai HH, Ensor CM, Tong M, Zhou H, Yan F. Prostaglandin catabolizing enzymes. Prostaglandins Other Lipid Mediat 68‐69: 483‐493, 2002.
 317. Takahashi K, Kato T, Schreiner GF, Ebert J, Badr KF. Essential fatty acid deficiency normalizes function and histology in rat nephrotoxic nephritis. Kidney Int 41: 1245‐1253, 1992.
 318. Takahashi K, Nammour T, Fukunaga M, Ebert J, Morrow JD, Roberts LJ 2nd, Hoover RL, Badr KF. Glomerular actions of a free radical‐generated novel prostaglandin, 8‐epi‐prostaglandin F2 alpha, in the rat. Evidence for interaction with thromboxane A2 receptors. JClin Invest 90: 136‐141, 1992.
 319. Takano T, Cybulsky AV. Complement C5b‐9‐mediated arachidonic acid metabolism in glomerular epithelial cells: Role of cyclooxygenase‐1 and ‐2. Am J Pathol 156: 2091‐2101, 2000.
 320. Tanabe T, Tohnai N. Cyclooxygenase isozymes and their gene structures and expression. Prostaglandins Other Lipid Mediat 68‐69: 95‐114, 2002.
 321. Taniguchi S, Watanabe T, Nakao A, Seki G, Uwatoko S, Kurokawa K. Detection and quantitation of EP3 prostaglandin E2 receptor mRNA along mouse nephron segments by RT‐PCR. Am J Physiol 266: C1453‐C1458, 1994.
 322. Tanikawa N, Ohmiya Y, Ohkubo H, Hashimoto K, Kangawa K, Kojima M, Ito S, Watanabe K. Identification and characterization of a novel type of membrane‐associated prostaglandin E synthase. Biochem Biophys Res Commun 291: 884‐889, 2002.
 323. Tanioka T, Nakatani Y, Semmyo N, Murakami M, Kudo I. Molecular identification of cytosolic prostaglandin E2 synthase that is functionally coupled with cyclooxygenase‐1 in immediate prostaglandin E2 biosynthesis. J Biol Chem 275: 32775‐32782, 2000.
 324. Taniura S, Kamitani H, Watanabe T, Eling TE. Transcriptional regulation of cyclooxygenase‐1 by histone deacetylase inhibitors in normal human astrocyte cells. J Biol Chem 277: 16823‐16830, 2002.
 325. Theilig F, Debiec H, Nafz B, Ronco P, Nusing R, Seyberth HW, Pavenstadt H, Bouby N, Bachmann S. Renal cortical regulation of COX‐1 and functionally related products in early renovascular hypertension (rat). Am J Physiol Renal Physiol 291: F987‐F994, 2006.
 326. Thomas DW, Mannon RB, Mannon PJ, Latour A, Oliver JA, Hoffman M, Smithies O, Koller BH, Coffman TM. Coagulation defects and altered hemodynamic responses in mice lacking receptors for thromboxane A2. J Clin Invest 102: 1994‐2001, 1998.
 327. Thomson SC, Blantz RC. Glomerulotubular balance, tubuloglomerular feedback, and salt homeostasis. J Am Soc Nephrol 19: 2272‐2275, 2008.
 328. Thorup C, Erik A, Persson G. Macula densa derived nitric oxide in regulation of glomerular capillary pressure. Kidney Int 49: 430‐436, 1996.
 329. Toh H, Ichikawa A, Narumiya S. Molecular evolution of receptors for eicosanoids. FEBS Lett 361: 17‐21, 1995.
 330. Toma I, Kang JJ, Sipos A, Vargas S, Bansal E, Hanner F, Meer E, Peti‐Peterdi J. Succinate receptor GPR91 provides a direct link between high glucose levels and renin release in murine and rabbit kidney. J Clin Invest 118: 2526‐2534, 2008.
 331. Tomasoni S, Noris M, Zappella S, Gotti E, Casiraghi F, Bonazzola S, Benigni A, Remuzzi G. Upregulation of renal and systemic cyclooxygenase‐2 in patients with active lupus nephritis. J Am Soc Nephrol 9: 1202‐1212, 1998.
 332. Tone Y, Inoue H, Hara S, Yokoyama C, Hatae T, Oida H, Narumiya S, Shigemoto R, Yukawa S, Tanabe T. The regional distribution and cellular localization of mRNA encoding rat prostacyclin synthase. Eur J Cell Biol 72: 268‐277, 1997.
 333. Touhey S, O'Connor R, Plunkett S, Maguire A, Clynes M. Structure‐activity relationship of indomethacin analogues for MRP‐1, COX‐1 and COX‐2 inhibition. identification of novel chemotherapeutic drug resistance modulators. Eur J Cancer 38: 1661‐1670, 2002.
 334. Traynor TR, Smart A, Briggs JP, Schnermann J. Inhibition of macula densa‐stimulated renin secretion by pharmacological blockade of cyclooxygenase‐2. Am J Physiol 277: F706‐F710, 1999.
 335. Trebino CE, Stock JL, Gibbons CP, Naiman BM, Wachtmann TS, Umland JP, Pandher K, Lapointe JM, Saha S, Roach ML, Carter D, Thomas NA, Durtschi BA, McNeish JD, Hambor JE, Jakobsson PJ, Carty TJ, Perez JR, Audoly LP. Impaired inflammatory and pain responses in mice lacking an inducible prostaglandin E synthase. Proc Natl Acad Sci U S A 100: 9044‐9049, 2003.
 336. Tsuboi K, Sugimoto Y, Ichikawa A. Prostanoid receptor subtypes. Prostaglandins Other Lipid Mediat 68‐69: 535‐556, 2002.
 337. Uematsu S, Matsumoto M, Takeda K, Akira S. Lipopolysaccharide‐dependent prostaglandin E(2) production is regulated by the glutathione‐dependent prostaglandin E(2) synthase gene induced by the Toll‐like receptor 4/MyD88/NF‐IL6 pathway. J Immunol 168: 5811‐5816, 2002.
 338. Urade Y, Eguchi N. Lipocalin‐type and hematopoietic prostaglandin D synthases as a novel example of functional convergence. Prostaglandins Other Lipid Mediat 68‐69: 375‐382, 2002.
 339. Urade Y, Hayaishi O. Prostaglandin D2 and sleep regulation. Biochim Biophys Acta 1436: 606‐615, 1999.
 340. Urade Y, Hayaishi O. Prostaglandin D synthase: Structure and function. Vitam Horm 58: 89‐120, 2000.
 341. Ushikubi F, Segi E, Sugimoto Y, Murata T, Matsuoka T, Kobayashi T, Hizaki H, Tuboi K, Katsuyama M, Ichikawa A, Tanaka T, Yoshida N, Narumiya S. Impaired febrile response in mice lacking the prostaglandin E receptor subtype EP3. Nature 395: 281‐284, 1998.
 342. Van Aubel RA, Peters JG, Masereeuw R, Van Os CH, Russel FG. Multidrug resistance protein mrp2 mediates ATP‐dependent transport of classic renal organic anion p‐aminohippurate. Am J Physiol Renal Physiol 279: F713‐F717, 2000.
 343. van Rodijnen WF, Korstjens IJ, Legerstee N, Ter Wee PM, Tangelder GJ. Direct vasoconstrictor effect of prostaglandin E2 on renal interlobular arteries: Role of the EP3 receptor. Am J Physiol Renal Physiol 292: F1094‐F1101, 2007.
 344. Varga J, Diaz‐Perez A, Rosenbloom J, Jimenez SA. PGE2 causes a coordinate decrease in the steady state levels of fibronectin and types I and III procollagen mRNAs in normal human dermal fibroblasts. Biochem Biophys Res Comm 147: 1282‐1288, 1987.
 345. Vargas AV, Krishnamurthi V, Masih R, Robinson AV, Schulak JA. Prostaglandin E1 attenuation of ischemic renal reperfusion injury in the rat. J Am Coll Surg 180: 713‐717, 1995.
 346. Vargas SL, Toma I, Kang JJ, Meer EJ, Peti‐Peterdi J. Activation of the succinate receptor GPR91 in macula densa cells causes renin release. J Am Soc Nephrol 20: 1002‐1011, 2009.
 347. Vezza R, Mezzasoma AM, Venditti G, Gresele P. Prostaglandin endoperoxides and thromboxane A2 activate the same receptor isoforms in human platelets. Thromb Haemost 87: 114‐121, 2002.
 348. Villa E, Martinez J, Ruilope L, Mampaso F, Sancho J, Robles R. Cicaprost, a prostacyclin analog, protects renal function in uninephrectomized dogs in the absence of changes in blood pressure. Am J Hypertension 6: 253‐257, 1992.
 349. Villanueva S, Cespedes C, Gonzalez AA, Vio CP, Velarde V. Effect of ischemic acute renal damage on the expression of COX‐2 and oxidative stress‐related elements in rat kidney. Am J Physiol Renal Physiol 292: F1364‐F1371, 2007.
 350. Virdis A, Colucci R, Fornai M, Blandizzi C, Duranti E, Pinto S, Bernardini N, Segnani C, Antonioli L, Taddei S, Salvetti A, Del Tacca M. Cyclooxygenase‐2 inhibition improves vascular endothelial dysfunction in a rat model of endotoxic shock: Role of inducible nitric‐oxide synthase and oxidative stress. J Pharmacol Exp Ther 312: 945‐953, 2005.
 351. Vitzthum H, Abt I, Einhellig S, Kurtz A. Gene expression of prostanoid forming enzymes along the rat nephron. Kidney Int 62: 1570‐1581, 2002.
 352. Vogt L, de Zeeuw D, Woittiez AJ, Navis G. Selective cyclooxygenase‐2 (COX‐2) inhibition reduces proteinuria in renal patients. Nephrol Dial Transplant 24: 1182‐1189, 2009.
 353. Wang JL, Cheng HF, Harris RC. Cyclooxygenase‐2 inhibition decreases renin content and lowers blood pressure in a model of renovascular hypertension. Hypertension 34: 96‐101, 1999.
 354. Wang JL, Cheng HF, Shappell S, Harris RC. A selective cyclooxygenase‐2 inhibitor decreases proteinuria and retards progressive renal injury in rats. Kidney Int 57: 2334‐2342, 2000.
 355. Wang JL, Cheng HF, Zhang MZ, McKanna JA, Harris RC. Selective increase of cyclooxygenase‐2 expression in a model of renal ablation. Am J Physiol 275: F613‐F622, 1998.
 356. Watanabe K. Prostaglandin F synthase. Prostaglandins Other Lipid Mediat 68‐69: 401‐407, 2002.
 357. Weichert W, Paliege A, Provoost AP, Bachmann S. Upregulation of juxtaglomerular NOS1 and COX‐2 precedes glomerulosclerosis in fawn‐hooded hypertensive rats. Am J Physiol Renal Physiol 280: F706‐F714, 2001.
 358. Welch WJ. Effects of isoprostane on tubuloglomerular feedback: Roles of TP receptors, NOS, and salt intake. Am J Physiol Renal Physiol 288: F757‐F762, 2005.
 359. Welch WJ, Peng B, Takeuchi K, Abe K, Wilcox CS. Salt loading enhances rat renal TxA2/PGH2 receptor expression and TGF response to U‐46,619. Am J Physiol 273: F976‐F983, 1997.
 360. Welch WJ, Wilcox CS. Potentiation of tubuloglomerular feedback in the rat by thromboxane mimetic. Role of macula densa. J Clin Invest 89: 1857‐1865, 1992.
 361. Welch WJ, Wilcox CS, Thomson SC. Nitric oxide and tubuloglomerular feedback. Semin Nephrol 19: 251‐262, 1999.
 362. Wilborn J, Crofford LJ, Burdick MD, Kunkel SL, Strieter RM, Peters‐Golden M. Cultured lung fibroblasts isolated from patients with idiopathic pulmonary fibrosis have a diminished capacity to synthesize prostaglandin E2 and to express cyclooxygenase‐2. J Clin Invest 95: 1861‐1868, 1995.
 363. Wilcox CS. Oxidative stress and nitric oxide deficiency in the kidney: A critical link to hypertension? Am J Physiol Regul Integr Comp Physiol 289: R913‐R935, 2005.
 364. Wilcox CS, Welch WJ. Thromboxane synthase and TP receptor mRNA in rat kidney and brain: Effects of salt intake and ANG II. Am J Physiol Renal Physiol, 284: F525‐F531, 2003.
 365. Wilcox CS, Welch WJ, Murad F, Gross SS, Taylor G, Levi R, Schmidt HH. Nitric oxide synthase in macula densa regulates glomerular capillary pressure. Proc Natl Acad Sci U S A 89: 11993‐11997, 1992.
 366. Wilke WL, Persson AE. Captopril and tubuloglomerular feedback in remnant kidneys of prehypertensive rats. J Am Soc Nephrol 3: 73‐79, 1992.
 367. Wilson RJ, Rhodes SA, Wood RL, Shield VJ, Noel LS, Gray DW, Giles H. Functional pharmacology of human prostanoid EP2 and EP4 receptors. Eur J Pharmacol 501: 49‐58, 2004.
 368. Wise WC, Cook JA, Tempel GE, Reines HD, Halushka PV. The rat in sepsis and endotoxic shock. Prog Clin Biol Res 299: 243‐252, 1989.
 369. Xu MZ, Lee WS, Han JM, Oh HW, Park DS, Tian GR, Jeong TS, Park HY. Antioxidant and anti‐inflammatory activities of N‐acetyldopamine dimers from Periostracum Cicadae. Bioorg Med Chem 14: 7826‐7834, 2006.
 370. Yamashita T, Shikata K, Matsuda M, Okada S, Ogawa D, Sugimoto H, Wada J, Makino H. Beraprost sodium, prostacyclin analogue, attenuates glomerular hyperfiltration and glomerular macrophage infiltration by modulating ecNOS expression in diabetic rats. Diabetes Res Clin Pract 57: 149‐161, 2002.
 371. Yan XD, Kumar B, Nahreini P, Hanson AJ, Prasad JE, Prasad KN. Prostaglandin‐induced neurodegeneration is associated with increased levels of oxidative markers and reduced by a mixture of antioxidants. J Neurosci Res 81: 85‐90, 2005.
 372. Yang T. Microsomal prostaglandin E synthase‐1 and blood pressure regulation. Kidney Int 72: 274‐278, 2007.
 373. Yang T, Endo Y, Huang YG, Smart A, Briggs JP, Schnermann J. Renin expression in COX‐2‐knockout mice on normal or low‐salt diets. Am J Physiol Renal Physiol 279: F819‐F825, 2000.
 374. Yang T, Huang Y, Heasley LE, Berl T, Schnermann JB, Briggs JP. MAPK mediation of hypertonicity‐stimulated cyclooxygenase‐2 expression in renal medullary collecting duct cells [In Process Citation]. J Biol Chem 275: 23281‐23286, 2000.
 375. Yang T, Park JM, Arend L, Huang Y, Topaloglu R, Pasumarthy A, Praetorius H, Spring K, Briggs JP, Schnermann J. Low chloride stimulation of prostaglandin E2 release and cyclooxygenase‐ 2 expression in a mouse macula densa cell line. J Biol Chem 275: 37922‐37929, 2000.
 376. Yang T, Schnermann JB, Briggs JP. Regulation of cyclooxygenase‐2 expression in renal medulla by tonicity in vivo and in vitro. Am J Physiol 277: F1‐F9, 1999.
 377. Yang T, Sun D, Huang YG, Smart A, Briggs JP, Schnermann JB. Differential regulation of COX‐2 expression in the kidney by lipopolysaccharide: Role of CD14. Am J Physiol 277: F10‐F16, 1999.
 378. Yang T, Zhang A, Honeggar M, Kohan DE, Mizel D, Sanders K, Hoidal JR, Briggs JP, Schnermann JB. Hypertonic induction of COX‐2 in collecting duct cells by reactive oxygen species of mitochondrial origin. J Biol Chem 280: 34966‐34973, 2005.
 379. Yang T, Zhang A, Pasumarthy A, Zhang L, Warnock Z, Schnermann JB. Nitric oxide stimulates COX‐2 expression in cultured collecting duct cells through MAP kinases and superoxide but not cGMP. Am J Physiol Renal Physiol 291: F891‐F895, 2006.
 380. Yao B, Harris RC, Zhang MZ. Interactions between 11beta‐hydroxysteroid dehydrogenase and COX‐2 in kidney. Am J Physiol Regul Integr Comp Physiol 288: R1767‐R1773, 2005.
 381. Yao B, Harris RC, Zhang MZ. Intrarenal dopamine attenuates deoxycorticosterone acetate/high salt‐induced blood pressure elevation in part through activation of a medullary cyclooxygenase 2 pathway. Hypertension 54: 1077‐1083, 2009.
 382. Yao B, Xu J, Harris RC, Zhang MZ. Renal localization and regulation of 15‐hydroxyprostaglandin dehydrogenase. Am J Physiol Renal Physiol 294: F433‐F439, 2008.
 383. Yao B, Xu J, Qi Z, Harris RC, Zhang MZ. Role of renal cortical cyclooxygenase‐2 expression in hyperfiltration in rats with high‐protein intake. Am J Physiol Renal Physiol 291: F368‐F374, 2006.
 384. Ye W, Zhang H, Hillas E, Kohan DE, Miller RL, Nelson RD, Honeggar M, Yang T. Expression and function of COX isoforms in renal medulla: Evidence for regulation of salt sensitivity and blood pressure. Am J Physiol Renal Physiol 290: F542‐F549, 2006.
 385. Yokoyama C, Yabuki T, Shimonishi M, Wada M, Hatae T, Ohkawara S, Takeda J, Kinoshita T, Okabe M, Tanabe T. Prostacyclin‐deficient mice develop ischemic renal disorders, including nephrosclerosis and renal infarction. Circulation 106: 2397‐2403, 2002.
 386. Yu K, Bayona WK, CB, Harding H, Ravera C, McMahon G, Brown B, Lazar M. Differential activation of peroxisome proliferator activated receptors by eicosanoids. J Biol Chem 270: 23975‐23983, 1995.
 387. Yu Y, Fan J, Chen X‐S, Wang D, Klein‐Szanto AJ, Campbell RL, FitzGerald GA, Funk CD. Genetic model of selective COX2 inhibition reveals novel heterodimer signaling. Nat Med 12: 699‐704, 2006.
 388. Yu Y, Lucitt MB, Stubbe J, Cheng Y, Friis UG, Hansen PB, Jensen BL, Smyth EM, FitzGerald GA. Prostaglandin F2alpha elevates blood pressure and promotes atherosclerosis. Proc Natl Acad Sci U S A 106: 7985‐7990, 2009.
 389. Yu Y, Stubbe J, Ibrahim S, Song WL, Symth EM, Funk CD, FitzGerald GA. Cyclooxygenase‐2‐dependent prostacyclin formation and blood pressure homeostasis: Targeted exchange of cyclooxygenase isoforms in mice. Circ Res 106: 337‐345.
 390. Zahner G, Disser M, Thaiss F, Wolf G, Schoeppe W, Stahl R. The effect of prostaglandin E2 on mRNA expression and secretion of collagens I, III, and IV and fibronectin in cultured rat mesangial cells. JASN 4: 1778‐1785, 1994.
 391. Zewde T, Mattson DL. Inhibition of cyclooxygenase‐2 in the rat renal medulla leads to sodium‐sensitive hypertension. Hypertension 44: 424‐428, 2004.
 392. Zhang J, Ding EL, Song Y. Adverse effects of cyclooxygenase 2 inhibitors on renal and arrhythmia events: Meta‐analysis of randomized trials. JAMA 296: 1619‐1632, 2006.
 393. Zhang MZ, Sanchez Lopez P, McKanna JA, Harris RC. Regulation of cyclooxygenase expression by vasopressin in rat renal medulla. Endocrinology 145: 1402‐1409, 2004.
 394. Zhang MZ, Wang JL, Cheng HF, Harris RC, McKanna JA. Cyclooxygenase‐2 in rat nephron development. Am J Physiol 273: F994‐F1002, 1997.
 395. Zhang MZ, Yao B, Cheng HF, Wang SW, Inagami T, Harris RC. Renal cortical cyclooxygenase 2 expression is differentially regulated by angiotensin II AT(1) and AT(2) receptors. Proc Natl Acad Sci U S A 103: 16045‐16050, 2006.
 396. Zhang MZ, Yao B, Fang X, Wang S, Smith JP, Harris RC. Intrarenal dopaminergic system regulates renin expression. Hypertension 53: 564‐570, 2009.
 397. Zhang MZ, Yao B, McKanna JA, Harris RC. Cross talk between the intrarenal dopaminergic and cyclooxygenase‐2 systems. Am J Physiol Renal Physiol 288: F840‐F845, 2005.
 398. Zhang Y, Guan Y, Scheider A, Brandon S, Breyer R, Breyer M. Characterization of murine vasopressor and vasodepressor prostaglandin E2 receptors. Hypertension 35: 1129‐1134, 2000.
 399. Zhang Y, Schneider A, Rao R, Lu WJ, Fan X, Davis L, Breyer RM, Breyer MD, Guan Y. Genomic structure and genitourinary expression of mouse cytosolic prostaglandin E(2) synthase gene. Biochim Biophys Acta 1634: 15‐23, 2003.
 400. Zoja C, Benigni A, Noris M, Corna D, Casiraghi F, Pagnoncelli M, Rottoli D, Abbate M, Remuzzi G. Mycophenolate mofetil combined with a cyclooxygenase‐2 inhibitor ameliorates murine lupus nephritis. Kidney Int 60: 653‐663, 2001.
 401. Zoja C, Benigni A, Verroust P, Ronco P, Bertani T, Remuzzi G. Indomethacin reduces proteinuria in passive Heymann nephritis in rats. Kidney Int 31: 1335‐1343, 1987.
 402. Zoja C, Perico N, Corna D, Benigni A, Gabanelli M, Morigi M, Bertani T, Remuzzi G. Thromboxane synthesis inhibition increases renal prostacyclin and prevents renal disease progression in rats with remnant kidney. J Am Soc Nephrol 1: 799‐807, 1990.

Contact Editor

Submit a note to the editor about this article by filling in the form below.

* Required Field

How to Cite

Raymond C. Harris, Ming‐Zhi Zhang. Cyclooxygenase Metabolites in the Kidney. Compr Physiol 2011, 1: 1729-1758. doi: 10.1002/cphy.c100077