Comprehensive Physiology Wiley Online Library

Endocrine Cells of the Gut

Full Article on Wiley Online Library



Abstract

The sections in this article are:

1 Morphology of Endocrine Cells
2 Techniques
2.1 Nonimmunocytochemical Staining Methods
2.2 Immunocytochemistry
3 Individual Endocrine Cells
3.1 Enterochromaffin‐Like Cells
3.2 Gastrin Cells
3.3 Somatostatin Cells
3.4 Motilin, Secretin, Gastric Inhibitory Polypeptide, Cholecystokinin, and Neurotensin Cells
3.5 Glucagon‐Containing Cells
3.6 Peptide Tyrosine Tyrosine Cells
3.7 Enterochromaffin Cells
4 Kinetics of Endocrine Cells
5 Quantification of Endocrine Cells
6 Pathology
6.1 Gastrin Cells, Hyperplasia/Hyperfunction, and Somatostatin Cell Hypoplasia
6.2 Abnormalities of Endocrine Cells in Celiac Disease
6.3 Abnormalities of Enterochromaffin‐Like Cells
6.4 Endocrine Cells in Intestinal Metaplasia of Stomach
6.5 Hyperfunction and Hyperplasia of Enteroglucagon Cells
6.6 Spare of Endocrine Cells in Graft Versus Host Disease
7 Conclusions
Figure 1.

Toluidine blue staining of gut mucosa showing clear cells (arrows), as described by Feyrter 54). Formalin fixation, 3‐μm wax section. Bar, 100 μm.

Figure 2.

Rat antral mucosa showing numerous gastrin cells immunostained by indirect immunofluorescence. Formaldehyde vapor fixation, 5‐μm wax section. Bar, 100 μm.

Figure 3.

Human colonic mucosa containing two somatostatin‐immunoreactive cells with short basal elongations. Benzoquinone solution fixation, 10‐μm cryostat section, indirect immunofluorescence. Bar, 100 μm.

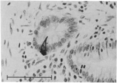
Figure 4. Figure 4.

Single somatostatin‐immunoreactive cell in epithelium of human duodenal mucosa, showing clear connection with lumen. Bouin's solution fixation; 5‐μm wax section; peroxidase antiperoxidase (PAP) immunostain, hematoxylin counterstain. Bar, 100 μm.

Figure 5.

Human fundic mucosa containing scattered cells stained by Sevier and Munger's silver impregnation technique. Enterochromaffin‐like cells can be distinguished by their closed appearance. Formalin fixation, 5‐μm wax section. Bar, 100 μm.

Figure 6.

Electron micrograph of somatostatin‐containing cell from human gut. Cell is pear‐shaped and extends from basement membrane to gut lumen where it terminates with microvilli (M). Large (250-300 nm), spherical, electron‐dense secretory granules (G) are concentrated in basal half of cell. Glutaraldehyde‐osmium fixation, Araldite embedding. Bar, 1 μm.

Figure 7.

Electron micrograph of two adjacent endocrine cell types from human gastric antrum. Gastrin‐containing cell (G) exhibits electron‐lucent and electron‐dense granules in basal half of cell, whereas somatostatin‐containing cell (D) displays larger electron‐dense secretory granules. Glutaraldehyde‐osmium fixation, Araldite embedding. Bar, 5 μm.

Figure 8.

Specific markers for components of diffuse neuroendocrine system. NSE, neuron‐specific enolase; Cg, chromogranin; NFils, neurofilaments; S‐100, protein S‐100; GFAP, glial fibrillary acidic protein.

Figure 9.

Normal human gastric gland containing several argyrophil cells revealed by Grimelius’ silver impregnation method. Formalin fixation, 5‐μm wax section, hematoxylin counterstain. Bar, 100 μm.

Figure 10.

Human antral mucosa with numerous neuron‐specific enolase‐immunoreactive cells in the epithelium. Formaldehyde vapor fixation; 5‐μm wax section; PAP immunostain, hematoxylin counterstain. Bar, 100 μm.

Figure 11.

Neuron‐specific enolase demonstrated in endocrine cells and nerve fibers of human colonic mucosa with technique of indirect immunofluorescence. Benzoquinone solution fixation, 10‐μm cryostat section. Bar, 100 μm.

Figure 12.

Numerous chromogranin‐immunoreactive endocrine cells in glands of normal human colonic mucosa. Bouin's fluid fixation; 5‐μm wax section; PAP immunostain, hematoxylin counterstain. Bar, 100 μm.

Figure 13.

Chromogranin imunoreactivity localized to pleomorphic secretory granules in human enterochromaffin cell from gut mucosa. Immunogold staining procedure with 20‐nm gold particles. Glutaraldehyde fixation, Araldite embedding. Bar, 1 μm.

Figure 14.

Processing of mammalian preproglucagon occurs posttranslationally at dibasic amino acid cleavage points as indicated. In pancreatic secretory granules (A), proglucagon‐derived peptides are localized in different compartments [glicentin to halo and glucagon and glucagon‐like peptides (GLP‐1/GLP‐2) to core]. Enteroglucagon cell (EG) secretory granules contain glicentin, GLP‐1, and GLP‐2 immunoreactivities homogeneously distributed throughout matrix.

Figure 15.

Electron micrograph of localization of proglucagon‐derived peptide immunoreactivities in human pancreatic A‐cell secretory granules. Glucagon and glucagon‐like peptides (GLP‐1 and GLP‐2, see Fig. 14) are restricted to core of the A‐cell granules (40‐nm gold, large arrows). Glicentin immunoreactivity is localized to electron‐lucent halo of secretory granules (10‐nm gold, small arrows). Glutaraldehyde fixation, Araldite embedding. Bar, 1 μm.

Figure 16.

Diagram of semithin/thin technique. Alternate semithin (0.5-1 μm) and ultrathin (60-90 nm) sections are cut from electron‐microscope (EM) block and mounted onto glass slide or EM grid, respectively. Immunocytochemical staining is performed on semithin section and selected areas may then be compared on adjacent ultrathin section by electron microscopy. Technique has obvious limitations, including low sensitivity and poor localization of immunostained structures.

Figure 17.

Electron microghraph of cholecystokinin‐containing cell (black arrow) from human jejunum. Adjacent semithin section (inset) has been immunostained with indirect immunofluorescence method (white arrow) and localization of immunoreactive material lies basally, in accord with distribution of secretory granules seen at ultrastructural level. Glutaraldehyde fixation, Araldite embedding. Bar, 2 μm; inset bar, 50 μm.

Figure 18.

Diagram of preprosomatostatin molecule. Cryptic peptide (RSCP) is flanked at COOH‐terminus by somatostatin‐28 (SS28), which itself includes tetradecapeptide somatostatin‐14 (SS14).

Figure 19.

Diagram of double immunogold staining procedure that is used to localize two different antigens simultaneously at ultrastructural level. Two primary antisera (1° ab) raised in different species are applied to tissue section. Sites of antigen‐antibody complex formation are differentially localized with anti‐species‐specific immunoglobulin G linked to two sizes of gold particles applied as second layer.

Figure 20.

Villus of human duodenal mucosa with single secretin‐immunoreactive cell. Bouin's solution fixation; 5‐μm wax section; PAP immunostain, hematoxylin counterstain. Bar, 100 μm.

Figure 21.

Section of antral mucosa from patient with high circulating gastrin levels. Hyperplastic gastrin cells can be seen packed in epithelium. Formalin fixation, 5‐μm wax section, PAP immunostain. Bar, 100 μm.

Figure 22.

Gastric mucosa from achlorhydric patient showing hyperplasia of enterochromaffin‐like cells. Formalin fixation; 5‐μm wax sections; Sevier and Munger's silver impregnation technique, hematoxylin counterstain. Bar, 100 μm.

Figure 23.

Atrophic gastric mucosa with intestinal metaplasia showing presence of microcarcinoid tumor. Bouin's fixation, 5‐μm wax section, hematoxylin and eosin stain. Bar, 100 μm.

Figure 24.

Groups of endocrine cells in colonic mucosa of patient with graft versus host disease as shown by antibodies to chromogranin. The spared endocrine cells are packed together. Formalin fixation, 5‐μm wax section. PAP immunostain. Bar, 100 μm.



Figure 1.

Toluidine blue staining of gut mucosa showing clear cells (arrows), as described by Feyrter 54). Formalin fixation, 3‐μm wax section. Bar, 100 μm.



Figure 2.

Rat antral mucosa showing numerous gastrin cells immunostained by indirect immunofluorescence. Formaldehyde vapor fixation, 5‐μm wax section. Bar, 100 μm.



Figure 3.

Human colonic mucosa containing two somatostatin‐immunoreactive cells with short basal elongations. Benzoquinone solution fixation, 10‐μm cryostat section, indirect immunofluorescence. Bar, 100 μm.



Figure 4.

Single somatostatin‐immunoreactive cell in epithelium of human duodenal mucosa, showing clear connection with lumen. Bouin's solution fixation; 5‐μm wax section; peroxidase antiperoxidase (PAP) immunostain, hematoxylin counterstain. Bar, 100 μm.



Figure 5.

Human fundic mucosa containing scattered cells stained by Sevier and Munger's silver impregnation technique. Enterochromaffin‐like cells can be distinguished by their closed appearance. Formalin fixation, 5‐μm wax section. Bar, 100 μm.



Figure 6.

Electron micrograph of somatostatin‐containing cell from human gut. Cell is pear‐shaped and extends from basement membrane to gut lumen where it terminates with microvilli (M). Large (250-300 nm), spherical, electron‐dense secretory granules (G) are concentrated in basal half of cell. Glutaraldehyde‐osmium fixation, Araldite embedding. Bar, 1 μm.



Figure 7.

Electron micrograph of two adjacent endocrine cell types from human gastric antrum. Gastrin‐containing cell (G) exhibits electron‐lucent and electron‐dense granules in basal half of cell, whereas somatostatin‐containing cell (D) displays larger electron‐dense secretory granules. Glutaraldehyde‐osmium fixation, Araldite embedding. Bar, 5 μm.



Figure 8.

Specific markers for components of diffuse neuroendocrine system. NSE, neuron‐specific enolase; Cg, chromogranin; NFils, neurofilaments; S‐100, protein S‐100; GFAP, glial fibrillary acidic protein.



Figure 9.

Normal human gastric gland containing several argyrophil cells revealed by Grimelius’ silver impregnation method. Formalin fixation, 5‐μm wax section, hematoxylin counterstain. Bar, 100 μm.



Figure 10.

Human antral mucosa with numerous neuron‐specific enolase‐immunoreactive cells in the epithelium. Formaldehyde vapor fixation; 5‐μm wax section; PAP immunostain, hematoxylin counterstain. Bar, 100 μm.



Figure 11.

Neuron‐specific enolase demonstrated in endocrine cells and nerve fibers of human colonic mucosa with technique of indirect immunofluorescence. Benzoquinone solution fixation, 10‐μm cryostat section. Bar, 100 μm.



Figure 12.

Numerous chromogranin‐immunoreactive endocrine cells in glands of normal human colonic mucosa. Bouin's fluid fixation; 5‐μm wax section; PAP immunostain, hematoxylin counterstain. Bar, 100 μm.



Figure 13.

Chromogranin imunoreactivity localized to pleomorphic secretory granules in human enterochromaffin cell from gut mucosa. Immunogold staining procedure with 20‐nm gold particles. Glutaraldehyde fixation, Araldite embedding. Bar, 1 μm.



Figure 14.

Processing of mammalian preproglucagon occurs posttranslationally at dibasic amino acid cleavage points as indicated. In pancreatic secretory granules (A), proglucagon‐derived peptides are localized in different compartments [glicentin to halo and glucagon and glucagon‐like peptides (GLP‐1/GLP‐2) to core]. Enteroglucagon cell (EG) secretory granules contain glicentin, GLP‐1, and GLP‐2 immunoreactivities homogeneously distributed throughout matrix.



Figure 15.

Electron micrograph of localization of proglucagon‐derived peptide immunoreactivities in human pancreatic A‐cell secretory granules. Glucagon and glucagon‐like peptides (GLP‐1 and GLP‐2, see Fig. 14) are restricted to core of the A‐cell granules (40‐nm gold, large arrows). Glicentin immunoreactivity is localized to electron‐lucent halo of secretory granules (10‐nm gold, small arrows). Glutaraldehyde fixation, Araldite embedding. Bar, 1 μm.



Figure 16.

Diagram of semithin/thin technique. Alternate semithin (0.5-1 μm) and ultrathin (60-90 nm) sections are cut from electron‐microscope (EM) block and mounted onto glass slide or EM grid, respectively. Immunocytochemical staining is performed on semithin section and selected areas may then be compared on adjacent ultrathin section by electron microscopy. Technique has obvious limitations, including low sensitivity and poor localization of immunostained structures.



Figure 17.

Electron microghraph of cholecystokinin‐containing cell (black arrow) from human jejunum. Adjacent semithin section (inset) has been immunostained with indirect immunofluorescence method (white arrow) and localization of immunoreactive material lies basally, in accord with distribution of secretory granules seen at ultrastructural level. Glutaraldehyde fixation, Araldite embedding. Bar, 2 μm; inset bar, 50 μm.



Figure 18.

Diagram of preprosomatostatin molecule. Cryptic peptide (RSCP) is flanked at COOH‐terminus by somatostatin‐28 (SS28), which itself includes tetradecapeptide somatostatin‐14 (SS14).



Figure 19.

Diagram of double immunogold staining procedure that is used to localize two different antigens simultaneously at ultrastructural level. Two primary antisera (1° ab) raised in different species are applied to tissue section. Sites of antigen‐antibody complex formation are differentially localized with anti‐species‐specific immunoglobulin G linked to two sizes of gold particles applied as second layer.



Figure 20.

Villus of human duodenal mucosa with single secretin‐immunoreactive cell. Bouin's solution fixation; 5‐μm wax section; PAP immunostain, hematoxylin counterstain. Bar, 100 μm.



Figure 21.

Section of antral mucosa from patient with high circulating gastrin levels. Hyperplastic gastrin cells can be seen packed in epithelium. Formalin fixation, 5‐μm wax section, PAP immunostain. Bar, 100 μm.



Figure 22.

Gastric mucosa from achlorhydric patient showing hyperplasia of enterochromaffin‐like cells. Formalin fixation; 5‐μm wax sections; Sevier and Munger's silver impregnation technique, hematoxylin counterstain. Bar, 100 μm.



Figure 23.

Atrophic gastric mucosa with intestinal metaplasia showing presence of microcarcinoid tumor. Bouin's fixation, 5‐μm wax section, hematoxylin and eosin stain. Bar, 100 μm.



Figure 24.

Groups of endocrine cells in colonic mucosa of patient with graft versus host disease as shown by antibodies to chromogranin. The spared endocrine cells are packed together. Formalin fixation, 5‐μm wax section. PAP immunostain. Bar, 100 μm.

References
 1. Adrian, T. E., S. R., Bloom, M. G. Bryant, J. M. Polak, P. H. Heitz, and A. J. Barnes. Distribution and release of human pancreatic polypeptide. Gut 17: 940-944, 1976.
 2. Ali‐Rachedi, A., I. M., Varndell, T. E. Adrian, D. A. Gapp, S. Van Noorden, S. R. Bloom, and J. M. Polak. Peptide YY (PYY) immunoreactivity in endocrine cells of the gut and pancreas. Histochemistry 80: 487-491, 1984.
 3. Alumets, J., H. A. El, Munshid, R. Håkanson, G. Wedberg, J. Oscarson, J. F. Rehfeld, and F. Sundler. Effect of antral exclusion on endocrine cells in rat stomach. J. Physiol. Lond. 286: 145-155, 1979.
 4. Alumets, J., R., Håkanson, F. Sundler, and K. J. Chang. Leu‐enkephalin‐like material in nerves and enterochromaffin cells in the gut. (An immunohistochemical study.) Histochemistry 56: 187-196, 1978.
 5. Arimura, A., H., Sato, A. Dupont, N. Nishi, and A. V. Schally. Somatostatin: abundance of immunoreactive hormone in rat stomach and pancreas. Science Wash. DC 189: 1007-1009, 1975.
 6. Arnold, R. Antral gastrin‐producing G‐cells and somatostatin‐producing D‐cells in different states of gastric acid secretion. Gut 23: 285-291, 1982.
 7. Baetens, D., C., Rufener, C. Srikant, R. Dobbs, R. Unger, and L. Orci. Identification of glucagon‐producing cells (A cells) in dog gastric mucosa. J. Cell Biol. 69: 455-464, 1976.
 8. Bayliss, W. M., and E. H. Starling. The mechanism of pancreatic secretion. J. Physiol. Lond. 28: 325-353, 1902.
 9. Bencosme, S. A., and J. Lechago. Staining procedures for the endocrine cells of the upper gastrointestinal mucosa: light‐electron microscopic correlation for the gastrin‐producing cell. J. Clin. Pathol. Lond. 26: 427-434, 1973.
 10. Billingham, R. E. The biology of graft versus host reactions. Harvey Lect. 62: 21-78, 1966.
 11. Bishop, A. E., J. M., Polak, P. Garin Chesa, C. M. Timson, M. G. Bryant, and S. R. Bloom. Decrease of pancreatic somatostatin in neonatal nesidioblastosis. Diabetes 30: 122-126, 1981.
 12. Blaschko, H., R. S., Comline, F. H. Schneider, M. Silver, and A. D. Smith. Secretion of a chromaffin granule protein, chromogranin, from the adrenal gland after splanchnic stimulation. Nature Lond. 215: 58-59, 1967.
 13. Bloom, S. R., and J. M. Polak. The hormonal pattern of intestinal adaptation. A major role for enteroglugacon. Scand. J. Gastroenterol. Suppl. 74: 93-103, 1982.
 14. Bloom, S. R., and J. M. Polak. A hormonal pattern of intestinal adaptation. In: Basic Science in Gastroenterology—Structure of the Gut, edited by J. M. Polak, S. R. Bloom, N. A. Wright and M. W. Daly. Ware, UK: Glaxo, 1983, p. 409-419.
 15. Bloom, S. R., and J. M. Polak. Regulatory peptides and hormone‐secreting tumours. In: Disorders of the Small Intestine, edited by C. Booth and G. Neal. Oxford, UK: Blackwell, 1984, chapt. 23, p. 376-397.
 16. Bloom, S. R., J. M., Polak, and H. S. Besterman. Gut hormone profile in coeliac disease: a characteristic pattern of pathology. In: Perspectives in Coeliac Disease, edited by B. Mcnicholl. Baltimore, MD: University Park, 1978, chapt. 42, p. 399-408.
 17. Bodian, D. A new method for staining nerve fibres and nerve endings in mounted paraffin sections. Anat. Rec. 65: 89-97, 1936.
 18. Bordi, C., G., Cocconi, R. Togin, P. Vezzadini, and G. Missale. Gastric endocrine cell proliferation associated with Zollinger‐Ellison syndrome. Arch. Pathol. 98: 274-278, 1974.
 19. Bordi, C., and M. Ravazzola. Endocrine cells in the intestinal metaplasia of gastric mucosa. Am. J. Pathol. 96: 391-398, 1979.
 20. Böttcher, G., K., Sjölund, E. Ekblad, G. Håkanson, T. Schwartz, and F. Sundler. Co‐existence of peptide YY and glicentin immunoreactivity in endocrine cells of the gut. Regul. Pept. 8: 261-266, 1984.
 21. Brome, A., B., Fyrö, and L. Olbe. Localization of gastrin activity in the gastric antrum. Acta Physiol. Scand. 74: 331-339, 1968.
 22. Bryant, M. G., A. M. J., Buchan, M. Gregor, M. A. Ghatei, J. M. Polak, and S. R. Bloom. Development of intestinal regulatory peptides in the human fetus. Gastroenterology 83: 47-54, 1982.
 23. Buchan, A. M. J., D. G., Griffiths, J. F. Morris, and J. M. Polak. Enteroglucagon cell hyperfunction in rat small intestine after gut resection. Gastroenterology 88: 8-12, 1985.
 24. Buchan, A. M. J., J. M., Polak, C. Capella, E. Solcia, and A. G. E. Pearse. Electron immunocytochemical evidence for the K cell localisation of gastric inhibitory polypeptide (GIP) in man. Histochemistry 56: 37-43, 1978.
 25. Buchan, A. M. J., J. M., Polak, E. Solcia, C. Capella, D. Hudson, and A. G. E. Pearse. Electronimmunohistochemical evidence for the human intestinal I cell as the source of CCK. Gut 19: 403-407, 1978.
 26. Buchan, A. M. J., J. M., Polak, E. Solcia, and A. G. E. Pearse. Localisation of intestinal gastrin in a distinct endocrine cell type. Nature Lond. 277: 138-140, 1979.
 27. Bussolati, G., and M. G. Canese. Electron microscopical identification of the immunofluorescent gastrin cells in the cat pyloric mucosa. Histochemie 29: 198-206, 1972.
 28. Bussolati, G., C., Capella, E. Solcia, G. Vassallo, and P. Vezzadini. Ultrastructural and immunofluorescent investigations of the secretin cell in the dog intestinal mucosa. Histochemie 26: 218-227, 1971.
 29. Capella, C., E., Solcia, and G. Vassallo. Identification of six types of endocrine cells in the gastrointestinal mucosa of the rabbit. Arch. Histol. Jpn. 30: 479-495, 1969.
 30. Capella, C., E., Solcia, and G. Vassallo. Optical and electron microscopical study of cytoplasmic granules in human carotid body, carotid body tumours and glomus jugulare tumours. In: Endocrinology 1971, edited by S. Taylor. London: Heinemann, 1971, vol. 7, p. 37-53.
 31. Carvalheira, A. F., U., Welsch, and A. G. E. Pearse. Cytochemical and ultrastructural observations on the argentaffin and argyrophil cells of the gastro‐intestinal tract in mammals, and their place in the APUD series of polypeptide‐secreting cells. Histochemie 14: 33-46, 1968.
 32. Chayvialle, J. A., C., Paulin, P. M. Dubois, and F. Descos. Immunoreactive somatostatin in the digestive tract of human fetus (Abstract). Gastroenterology 76: 1112, 1979.
 33. Chayvialle, J. A., C., Paulin, P. M. Dubois, F. Descos, and M. P. Dubois. Ontogeny of somatostatin in the human gastrointestinal tract, endocrine pancreas and hypothalamus. Acta Endocrinol. 94: 1-10, 1980.
 34. Cheng, H., and C. P. Leblond. Origin and differentiation and renewal of the four main epithelial cell types in the mouse small intestine. I. Columnar cell. Am. J. Anat. 141: 461-480, 1974.
 35. Churukian, C. J., and E. A. Schenk. Modification of Pascual's argyrophil method. J. Histotechnol. 2: 102-103, 1979.
 36. Cox, W. F., and G. B. Pierce. The endodermal origin of the endocrine cells of an adenocarcinoma of the colon in the rat. Cancer Phila. 50: 1530-1538, 1982.
 37. Creutzfeldt, W. Gastrointestinal peptides—role in pathophysiology and disease. Scand. J. Gastroenterol. Suppl. 77: 7-20, 1982.
 38. Creutzfeldt, W., R., Arnold, C. Creutzfeldt, G. Feurle, and H. Ketterer. Gastrin and G‐cells in the antral mucosa of patients with pernicious anaemia, acromegaly and hyperparathyroidism and in a Zollinger‐Ellison tumour of the pancreas. Eur. J. Clin. Invest. 1: 461-479, 1971.
 39. Dawson, A. B. Argentaffin cells of the gastric mucosa of the rabbit, guinea pig, mouse and hamster. Anat. Rec. 91: 53-63, 1945.
 40. Dubois, P. M., C., Paulin, and J. A. Chayvialle. Identification of gastrin‐secreting cells and cholecystokinin‐secreting cells in the gastrointestinal tract of the human fetus and adult man. Cell Tissue Res. 175: 351-356, 1976.
 41. El Salhy, M., E. Wilander, and G. Abu Sinna. The endocrine pancreas of anuran amphibians: a histological and immunocytochemical study. Biomed. Res. 3: 579-589, 1982.
 42. El Salhy, M., E. Wilander, L. Grimelius, and H. Shabaka. Ontogeny of polypeptide YY (PYY)‐ pancreatic polypeptide (PP)‐ immunoreactive cells in the gastrointestinal tract. Acta Endocrinol. Suppl. 256: 103-175, 1983.
 43. El Salhy, M., E. Wilander, L. Grimelius, L. Terenius, J. M. Lundberg, and K. Tatemoto. The distribution of polypeptide YY (PYY)‐ and pancreatic polypeptide (PP)‐ immunoreactive cells in the domestic fowl. Histochemistry 75: 25-30, 1982.
 44. Erspamer, V., and B. Asero. Identification of enteramine, the specific hormone of the enterochromaffin cell system, as 5‐hydroxytryptamine. Nature Lond. 169: 800-801, 1952.
 45. Facer, P., A. E., Bishop, R. V. Lloyd, B. S. Wilson, R. Hennessey, and J. M. Polak. Chromogranin A: a newly recognized marker for endocrine cells of the human gastrointestinal tract. Gastroenterology 89: 1366-1377, 1985.
 46. Facer, P., I. M., Varndell, A. E. Bishop, R. Pietroletti, D. Dahl, S. R. Bloom, and J. M. Polak. The ontogeny of the diffuse neuroendocrine system of the human gut (Abstract). Regul. Pept. 13: 67, 1985.
 47. Falck, B. Observations on the possibilities of the cellular localisation of monoamines by a fluorescence method. Acta Physiol. Scand. 56: 1-25, 1962.
 48. Ferreira, M. N., and C. P. Leblond. Argentaffin and other “endocrine” cells of the small intestine in the adult mouse. II. Renewal. Am. J. Anat. 131: 331-352, 1971.
 49. Ferri, G. L., A., Harris, N. A. Wright, S. R. Bloom, and J. M. Polak. Quantification of endocrine cells in whole intestinal crypts and villi. Histochem. J. 14: 692-695, 1982.
 50. Ferri, G. L., H. S., Koopmans, M. A. Ghatei, P. Vezzadini, G. Labo, S. R. Bloom, and J. M. Polak. Ileal enteroglucagon cells after ileal‐duodenal transposition in the rat. Digestion 26: 10-16, 1983.
 51. Ferri, G., P., Vezzadini, G. Labo, and J. M. Polak. The use of crypt suspensions for endocrine cell quantification. Histochem. J. 15: 1251-1253, 1983.
 52. Feyrter, F. Über Diffuse Endokrine Epitheliale Organe Leipzig, Germany: Barth, 1938, p. 6-17.
 53. Feyrter, F. Über die peripheren Endokrinen (Parakrinen). Drüsen des Menschen Munich, FRG: Mandrich, 1953.
 54. Forssman, W. G. Ultrastructure of hormone‐producing cells of the upper gastrointestinal tract. In: Origin, Chemistry, Physiology and Pathophysiology of the Gastrointestinal Hormones, edited by W. Creutzfeld. Stuttgart, FRG: Schattauer, 1970, p. 31.
 55. Forssmann, W. G., and L. Orci. Ultrastructure and secretory cycle of the gastrin‐producing cell. Z. Zellforsch. Mikrosk. Anat. 101: 409-432, 1969.
 56. Frigerio, B., M., Ravazzola, R. Buffa, C. Capella, E. Solcia, and L. Orci. Histochemical and ultrastructural identification of neurotensin cells in the dog ileum. Histochemistry 54: 123-131, 1977.
 57. Fujimoto, S., T., Hattori, K. Kimoto, S. Yamashita, S. Fujita, and K. Kawai. Tritiated thymidine autoradiographic study on origin and renewal of gastrin cells in antral area of hamsters. Gastroenterology 79: 785-791, 1980.
 58. Fujita, T. Concept of paraneurons. Arch. Histol. Jpn. 40: 1-12, 1977.
 59. Gespach, C., D., Bataille, C. Jarrousse, and G. Rosselin. Ontogeny and distribution of immunoreactive gastric inhibitory polypeptide (IR‐GIP) in rat small intestine. Acta Endocrinol. 90: 307-316, 1979.
 60. Ghirlanda, G., D., Bataille, M. P. Dubois, and G. Rosselin. Variations of the somatostatin content of gut, pancreas and brain in the developing rat. Metab. Clin. Exp. 27, Suppl. 1: 1167-1170, 1978.
 61. Grimelius, L. A silver nitrate stain for A2 cells of human pancreatic islets; and the argyrophil reaction in islet cells of adult human pancreas studied with new silver nitrate procedure. Acta Soc. Med. Ups. 73: 243-294, 1968.
 62. Grimelius, L., C., Capella, R. Buffa, J. M. Polak, A. G. E. Pearse, and E. Solcia. Cytochemical and ultrastructural differentiation of enteroglucagon and pancreatic‐type glucagon cells of the gastrointestinal tract. Virchows Arch. B Cell Pathol. 20: 217-228, 1976.
 63. Håkanson, R., and C. Owman. Concomitant histochemical demonstration of histamine and catecholamines in enterochromaffin‐like cells of gastric mucosa. Life Sci. 6: 759-766, 1967.
 64. Håkanson, R., and C. Owman. Argyrophil reaction of histamine‐containing epithelial cells in murine gastric mucosa. Experientia Basel 25: 625-626, 1969.
 65. Hamperl, H. Über die “gelben” (chromaffinen) Zellen im Gesunden und Kranken Magendarmschlauch. Virchows Arch. Pathol. Anat. Physiol. Klin. Med. 226: 509-548, 1927.
 66. Hattori, T., H., Niki, and S. Fujita. Tritiated thymidine autoradiographic study on the origin and renewal of argentaffin cells in the pyloric gland of hamsters. Cell Tissue Res. 181: 15-25, 1977.
 67. Heidenhain, R. Untersuchunger uber den Ban der Labdrusen. Arch. Mikrosk. Anat. 6: 368-406, 1870.
 68. Hodges, J. R., P., Isaacson, and P. Wright. Diffuse enterochromaffin‐like (ECL) cell hyperplasia and multiple gastric carcinoids: a complication of pernicious anaemia. Gut 22: 237-241, 1981.
 69. Hökfelt, T., A., Ljungdahl, H. Steinbusch, A. Verhofstad, G. Nilsson, E. Brodin, B. Pernow, and M. Goldstein. Immunohistochemical evidence of substance P‐like immuno‐reactivity in some 5‐HT containing neurons in the rat central nervous system. Neuroscience 3: 517-538, 1978.
 70. Ito, S., and S. Kobayashi. Immunohistochemical demonstration of glucagon‐ and GLI‐containing cells in the canine gut and pancreas. Arch. Histol. Jpn. 39: 193-202, 1976.
 71. Kaung, H. L., and R. P. Elde. Distribution and morphometric quantitation of pancreatic endocrine cell types in the frog Rana pipiens. Anat. Rec. 196: 173-181, 1980.
 72. Kishimoto, S., J. M., Polak, A. M. J. Buchan, A. A. J. Verhofstad, H. W. M. Steinbusch, N. Yanaihara, S. R. Bloom, and A. G. E. Pearse. Motilin cells investigated by the use of region‐specific antisera. Virchows Arch. B Cell Pathol. 36: 207-218, 1981.
 73. Lampert, I. A., P., Thorpe, S. Van Noorden, J. Marsh, J. M. Goldman, E. C. Gordon‐Smith, and D. J. Evans. Selective sparing of enterochromaffin cells in graft versus host disease affecting the colonic mucosa. Histopathology Oxf. 9: 875-886, 1985.
 74. Larsson, L.‐I. Ontogeny of peptide‐producing nerves and endocrine cells of the gastro‐duodeno‐pancreatic region. Histochemistry 54: 133-142, 1977.
 75. Larsson, L.‐I. Somatostatin cells. In: Gut Hormones (2nd ed.), edited by S. R. Bloom and J. M. Polak. Edinburgh: Churchill Livingstone, 1981, chapt. 50, p. 350-359.
 76. Larsson, L.‐I. Evidence of anterograde transport of secretory granules in processes of gastric paracrine (somatostatin) cells. Histochemistry 80: 323-326, 1984.
 77. Larsson, L.‐I., N. R., Goltermann, L. De Magistis, J. F. Rehfeld, and T. W. Schwartz. Somatostatin cell processes as pathways for paracrine secretion. Science Wash. DC 205: 1393-1394, 1979.
 78. Larsson, L.‐I., and L. M. Jørgensen. Ultrastructural and cytochemical studies on the cytodifferentiation of duodenal endocrine cells. Cell Tissue Res. 194: 79-102, 1978.
 79. Larsson, L.‐I., F., Sundler, and R. Hakanson. Pancreatic polypeptide—a postulated new hormone: identification of its cellular storage site by light and electron microscopic immunocytochemistry. Diabetologia 12: 211-226, 1976.
 80. Leblond, C. P., and B. Messier. Renewal of chief cells and goblet cells in the small intestine as shown by radioautography after injection of thymidine‐H3 into mice. Anat. Rec. 132: 247-259, 1958.
 81. Lechago, J., and S. A. Bencosme. The endocrine elements of the digestive system. Int. Rev. Exp. Pathol. 12: 119-201, 1973.
 82. Le Douarin, N. M. The ontogeny of the neural crest in avian embryo chimaeras. Nature Lond. 286: 663-669, 1980.
 83. Leduque, P., C., Paulin, and P. M. Dubois. Immunocytochemical evidence for a substance related to the bovine pancreatic polypeptide‐peptide YY group of peptides in the human foetal gastrointestinal tract. Regul. Pept. 6: 219-230, 1983.
 84. Lefranc, G., and D. Pradal. Endocrine cells of the gastrointestinal mucosa. C. R. Assoc. Anat. 150: 1-160, 1971.
 85. Lehy, T., G., Peranzi, and M. L. Christina. Correlating immunocytochemical and electron microscopic studies: identification of entero(glucagon)‐ somatostatin‐ and pancreatic polypeptide‐like‐containing cells in the human colon. Histochemistry 71: 67-80, 1981.
 86. Lehy, T., and F. Willems. Population kinetics of antral gastrin cells in the mouse. Gastroenterology 71: 614-619, 1976.
 87. Lewin, K. J., K., Yang, T. Ulich, J. D. Elashoff, and J. Walsh. Primary gastrin cell hyperplasia. Am. J. Surg. Pathol. 8: 821-832, 1984.
 88. Lundberg, J. M., K., Tatemoto, L. Terenius, P. M. Hellström, V. Mutt, T. Hökfelt, and B. Hamberger. Localization of peptide YY (PYY) in gastrointestinal endocrine cells and effects on intestinal blood flow and motility. Proc. Natl. Acad. Sci. USA 79: 4471-4475, 1982.
 89. Masson, M. P. La glande endocrine de l'intestin chez l'homme. C. R. Hebd. Seances Acad. Sci. 158: 59-61, 1914.
 90. Mcguigan, J. E. Gastric mucosal intracellular localization of gastrin immunofluorescence. Gastroenterology 53: 315-327, 1968.
 91. Mcguigan, J. E., and M. H. Greider. Correlative immunochemical and light microscopic studies of the gastrin cell of the antral mucosa. Gastroenterology 60: 223-236, 1971.
 92. Messier, B., and C. P. Leblond. Cell proliferation and migration as revealed by radioautography after injection of thymidine‐H3 into male rats and mice. Am. J. Anat. 106: 247-285, 1960.
 93. Mingazzini, P., F., Carlei, F. Malchiodi‐Albedi, E. Lezoche, A. Covotta, V. Speranza, and J. M. Polak. Endocrine cells in intestinal metaplasia of the stomach. J. Pathol. 144: 171-178, 1984.
 94. O'Connor, D. T., F. P., Frigon, and R. L. Sokoloff. Human chromogranin A: purification and characterization from catecholamine storage vesicles of pheochromocytoma. Hypertension Dallas 6: 2-12, 1983.
 95. Odartchenko, N., C., Hedinger, J. Ruzicka, and E. Weber. Cytokinetics of argentaffin cells in mouse intestinal mucosa. Virchows Arch. B Cell Pathol. 6: 132-136, 1970.
 96. Orci, L., R., Pictet, W. G. Forssmann, A. E. Renold, and C. Rouiller. Structural evidence for glucagon producing cells in the intestinal mucosa of the rat. Diabetologia 4: 56-67, 1968.
 97. Pearse, A. G. E. The diffuse neuroendocrine system: historical review. In: Interdisciplinary Neuroendocrinology, edited by M. Ratzenhofer, H. Höfler and G. F. Walter. Basel: Karger, 1984, vol. 12, chapt. 1, p. 1-7.
 98. Pictet, R. L., L. B., Rall, P. Phelps, and W. J. Rutter. The neural crest and the origin of the insulin‐producing and other gastrointestinal hormone‐producing cells. Science Wash. DC 191: 191-192, 1976.
 99. Piris, J., and R. Whitehead. Quantitation of G cells in fibreoptic biopsy specimens and serum gastrin levels in healthy normal subjects. J. Clin. Pathol. 28: 636-638, 1975.
 100. Polak, J. M., S. R., Bloom, A. E. Bishop, and M. V. Mccrossan. D cell pathology in duodenal ulceration and achlorhydria. Metab. Clin. Exp. 27, Suppl. 1: 1239-1242, 1978.
 101. Polak, J. M., S. R., Bloom, I. Coulling, and A. G. E. Pearse. Immunofluorescent localization of enteroglucagon cells in the gastrointestinal tract of the dog. Gut 12: 311-318, 1971.
 102. Polak, J. M., S. R., Bloom, I. Coulling, and A. G. E. Pearse. Immunofluorescent localisation of secretin in the canine duodenum. Gut 12: 605-610, 1971.
 103. Polak, J. M., S. R., Bloom, M. Kuzio, J. C. Brown, and A. G. E. Pearse. Cellular localization of gastric inhibitory polypeptide in the duodenum and jejunum. Gut 14: 284-288, 1973.
 104. Polak, J. M., I., Coulling, W. Doe, and A. G. E. Pearse. The G cells in pernicious anaemia. Gut 12: 319-323, 1971.
 105. Polak, J. M., V. Hoff, Brand, P. I. Reed, and A. G. E. Pearse. Qualitative and quantitative studies of antral and fundic G cells in pernicious anaemia. Scand. J. Gastroenterol. 8: 361-367, 1973.
 106. Polak, J. M., and P. J. Marangos. Neuron specific enolase, a marker for neuroendocrine cells. In: Evolution and Tumour Pathology of the Neuroendocrine System, edited by S. Falkmer, R. Håkanson and F. Sundler. Amsterdam: Elsevier, 1984, vol. 4, chapt. 24, p. 433-452.
 107. Polak, J. M., A. G. E., Pearse, S. R. Bloom, and A. M. J. Buchan. Identification of cholecystokinin‐secreting cells. Lancet 2: 1016-1018, 1975.
 108. Polak, J. M., A. G. E., Pearse, L. Grimelius, S. R. Bloom, and A. Arimura. Growth‐hormone releasing‐inhibiting hormone (GH‐RIH) in gastrointestinal and pancreatic D cells. Lancet 1: 1220-1222, 1975.
 109. Polak, J. M., A. G. E., Pearse, and C. M. Heath. Complete identification of endocrine cells in the gastrointestinal tract using semi‐thin sections to identify motilin cells in human and animal intestine. Gut 16: 225-229, 1975.
 110. Polak, J. M., A. G. E., Pearse, M. Szelke, S. R. Bloom, D. Hudson, P. Facer, A. M. J. Buchan, and M. G. Bryant. Specific immunostaining of CCK cells by use of synthetic fragment antisera. Experientia Basel 33: 762-763, 1977.
 111. Polak, J. M., A. G. E., Pearse, S. Van Noorden, S. R. Bloom, and M. A. Rossiter. Secretin cells in coeliac disease. Gut 14: 870-874, 1973.
 112. Polak, J. M., B., Stagg, and A. G. E. Pearse. The two types of Zollinger‐Ellison syndrome. Immunofluorescent, cytochemical and ultrastructural studies of the antral and pancreatic gastric cells in different clinical states. Gut 13: 510-512, 1972.
 113. Polak, J. M., S. N., Sullivan, S. R. Bloom, A. M. J. Buchan, P. Facer, M. R. Brown, and A. G. E. Pearse. Specific localisation of neurotensin to the N cell in human intestine by radioimmunoassay and cytochemistry. Nature Lond. 270: 183-184, 1977.
 114. Polak, J. M. and S. Van Noorden (editors)., Immunocytochemistry—Practical Applications in Pathology and Biology Bristol, UK: Wright, 1983.
 115. Polak, J. M. and I. M. Varndell (editors). Immunolabelling for Electron Microscopy Amsterdam: Elsevier, 1984.
 116. Portela‐Gomes, G. M., and L. Grimelius. Identification and Characterization of Enterochromaffin Cells with Different Staining Techniques. Enterochromaffin Cells, a Qualitative and Quantitative Study Uppsala, Sweden: Univ. of Uppsala, 1982. PhD thesis.
 117. Portela‐Gomes, G. M., L., Grimelius, R. Petersson, and R. Borgström. Enterochromaffin cells in the rat gastrointestinal tract. Aspects of factors influencing quantification. Upsala J. Med. Sci. 89: 189-203, 1984.
 118. Ratzenhofer, M., H., Höfler and G. F. Walter (editors). Interdisciplinary Neuroendocrinology Basel: Karger, 1984, vol. 12.
 119. Ravazzola, M., and L. Orci. Transformation of glicentin‐containing L‐cells into glucagon‐containing cells by enzymatic digestion. Diabetes 29: 156-158, 1980.
 120. Ravazzola, M., and L. Orci. A pancreatic polypeptide (PP)‐like immunoreactant is present in the glicentin‐containing cell of the cat intestine. Histochemistry 67: 221-224, 1980.
 121. Ravazzola, M., A., Siperstein, A. J. Moody, F. Sundby, H. Jacobsen, and L. Orci. Glicentin immunoreactive cells: their relationship to glucagon‐producing cells. Endocrinology 105: 499-508, 1979.
 122. Rode, J., A. P., Dhillon, J. F. Doran, P. Jackson, and R. J. Thompson. PGP 9.5‐a new marker for human neuroendocrine tumours. Histopathology Oxf. 9: 147-158, 1985.
 123. Sale, G. E., G. B., Mcdonal, H. M. Shulman, and E. D. Thomas. Gastrointestinal graft versus host disease in man: a clinicopathological study of the rectal biopsy. Am. J. Surg. Pathol. 3: 291-299, 1979.
 124. Sasagawa, T., S., Kobayashi, and I. Fujita. The endocrine cells in the human pyloric antrum. An electron microscopic study of biopsy material. Arch. Histol. Jpn. 32: 275-288, 1970.
 125. Schneider, F. H., A. D., Smith, and H. Winkler. Secretion from the adrenal medulla: biochemical evidence for exocytosis. Br. J. Pharmacol. 31: 94-104, 1967.
 126. Seemayer, T. A., J. G., Garner, R. Colle, and W. S. Lapp. Acute graft versus host reaction in the pancreas. Transplantation Baltimore 35: 72-77, 1983.
 127. Segura, D. I., and C. Montero. Histochemical characterization of different types of intestinal metaplasia in gastric mucosa. Cancer Phila. 52: 498-503, 1983.
 128. Sevier, A. C., and B. L. Munger. A silver method for paraffin sections of neural tissue. J. Neuropathol. Exp. Neurol. 24: 130-135, 1965.
 129. Singh, I. A modification of the Masson‐Hamperl method for staining argentaffin cells. Anat. Anz. 115: 81-82, 1964.
 130. Slavin, R. E., and G. Santos. The graft versus host reaction in man after bone marrow transplantation: pathology, pathogenesis, clinical features and implications. Clin. Immunol. Immunopathol. 1: 472-498, 1973.
 131. Solcia, E., R., Buffa, C. Capella, R. Fiocca, P. Fontana, and O. Civelli. Immunohistochemical characterisation of gastroenteropancreatic endocrine cells and related multi‐hormonal cells. Problems, pitfalls and facts. In: Gut peptides: Secretion, Function and Clinical Aspects, edited by A. Miyoshi. Amsterdam: Elsevier, 1979, p. 303-309.
 132. Solcia, E., R., Buffa, C. Capella, R. Fiocca, N. Yanaihara, and V. L. W. Go. Immunohistochemical and ultrastructural characterization of gut cells producing GIP, GLI, glucagon, secretin and PP‐like peptides. Front. Horm. Res. 7: 7-12, 1980.
 133. Solcia, E., C., Capella, R. Buffa, L. Usellini, B. Frigerio, and P. Fontana. Endocrine cells of the gastrointestinal tract and related tumours. In: Pathobiology Annual, 1979, edited by H. L. Ioachim. New York: Raven, 1979, p. 163-202.
 134. Solcia, E., C., Capella, and G. Vassallo. Lead‐haematoxylin as a stain for endocrine cells. Significance of staining and comparison with other selective methods. Histochemie 20: 116-126, 1969.
 135. Solcia, E., C., Capella, G. Vassallo, and R. Buffa. Endocrine cells of the gastric mucosa. Int. Rev. Cytol. 42: 223-286, 1975.
 136. Solcia, E., J. M., Polak, L.‐I. Larsson, A. M. J. Buchan, and C. Capella. Update on Lausanne classification of endocrine cells. In: Gut Hormones (2nd ed.), edited by S. R. Bloom and J. M. Polak. Edinburgh: Churchill Livingstone, 1981, chapt. 14, p. 96-101.
 137. Solcia, E., and R. Sampietro. Cytologic observations on the pancreatic islets with reference to some endocrine‐like cells of the gastrointestinal mucosa. Z. Zellforsch. Mikrosk. Anat. 68: 689-698, 1965.
 138. Solcia, E., R., Sampietro, and G. Vassalo. Indole reactions of enterochromaffin cells and mast cells. J. Histochem. Cytochem. 14: 691-692, 1966.
 139. Solcia, E., G., Vassallo, and C. Capella. Studies on the G cells of the pyloric mucosa, the probable site of gastrin secretion. Gut 10: 379-388, 1969.
 140. Solcia, E., G., Vassallo, and C. Capella. Cytology and cytochemistry of hormone producing cells of the upper gastrointestinal tract. In: Origin, Chemistry, Physiology and Pathophysiology of the Gastrointestinal Hormones, edited by W. Creutzfeldt. Stuttgart, FRG: Schattauer, 1970, p. 3-29.
 141. Stein, B. A., A. M. J., Buchan, J. Morris, and J. M. Polak. The ontogeny of regulatory peptide‐containing cells in the human fetal stomach: an immunocytochemical study. J. Histochem. Cytochem. 31: 1117-1125, 1983.
 142. Sundler, F., J., Alumets, J. Holst, L.‐I. Larsson, and R. Håkanson. Ultrastructural identification of cells storing pancreatic‐type glucagon in dog stomach. Histochemistry 50: 33-37, 1976.
 143. Taguchi, Y., T., Watanabe, H. Kubota, H. Hayashi, and H. Wada. Purification of histidine decarboxylase from the liver of fetal rats and its immunochemical and immunohistochemical characterisation. J. Biol. Chem. 259: 5214-5221, 1984.
 144. Tegelbjaerg, P. S., and H. O. Nielsen. Small intestinal type and ‘colonic type’ intestinal metaplasia of the stomach and their relationship to the histogenetic types of gastric adenocarcinoma. Acta Pathol. Microbiol. Scand. Sect. A Pathol. 86: 351-355, 1978.
 145. Tsutsumi, Y., H., Nagura, K. Watanabe, and N. Yanaihara. A novel subtyping of intestinal metaplasia of the stomach, with special reference to the histochemical characterizations of endocrine cells. Virchows Arch. A Pathol. Anat. Histopathol. 401: 73-88, 1983.
 146. Usellini, L. L., A. M. J., Buchan, J. M. Polak, C. Capella, M. Cornaggia, and E. Solcia. Ultrastructural localization of motilin in endocrine cells of human and dog intestine by the immunogold technique. Histochemistry 81: 363-368, 1984.
 147. Usellini, L., P., Tenti, R. Fiocca, C. Capella, R. Buffa, G. Terenghi, J. M. Polak, and E. Solcia. The endocrine cells of the chicken proventriculus. Basic Appl. Histochem. 27: 87-102, 1983.
 148. Vaillant, C., and I. L. Taylor. Demonstration of carboxyl‐terminal PP‐like peptides in endocrine cells and nerves. Peptides Fayetteville 2: 31-35, 1981.
 149. Van Noorden, S. Tissue preparation and immunocytostaining techniques for light microscopy. In: Immunocytochemistry 2 (2nd ed.), edited by J. M. Polak and S. Van Noorden. Bristol, UK: Wright, 1986, p. 26-53.
 150. Van Noorden, S., and J. M. Polak. Immunocytochemistry of regulatory peptides. In: Techniques in Immunocytochemistry, edited by G. R. Bullock and P. Petrusz. London: Academic, 1985, vol. III, p. 115-154.
 151. Varndell, I. M., A. E., Bishop, K. L. Sikri, L. O. Uttenthal, S. R. Bloom, and J. M. Polak. Localisation of glucagon‐like peptide (GLP) immunoreactants in human gut and pancreas using light and electron microscopical immunocytochemistry. J. Histochem. Cytochem. 33: 1080-1086, 1985.
 152. Varndell, I. M., R. V., Lloyd, B. S. Wilson, and J. M. Polak. Ultrastructural localisation of chromogranin: a potential marker for the electron microscopic recognition of endocrine cell secretory granules. Histochem. J. 17: 981-992, 1985.
 153. Varndell, I. M., K. L., Sikri, R. Hennessey, M. Kalina, R. H. Goodman, R. Benoit, A. R. Diani, and J. M. Polak. Mammalian somatostatin‐containing D cells exhibit rat somatostatin cryptic peptide (RSCP) immunoreactivity: an electron microscopical study. Cell Tissue Res. 246: 197-204, 1986.
 154. Vassallo, G., C., Capella, and E. Solcia. Light and electron microscopic identification of several types of endocrine cells in the gastrointestinal mucosa of the cat. Z. Zellforsch. Mikrosk. Anat. 98: 333-356, 1969.
 155. Vassallo, G., C., Capella, and E. Solcia. Endocrine cells of the human gastric mucosa. Z. Zellforsch. Mikrosk. Anat. 118: 49-67, 1971.
 156. Weibel, E. R. Principles and methods for the morphometric study of the lung and other organs. Lab. Invest. 12: 131-155, 1963.
 157. Wharton, J., J. M. Polak, A. G. E. Pearse, G. P. Mcgrogor, M. G. Bryant, S. R. Bloom, P. C. Emson, G. E. Bisgard, and J. A. Will. Enkephalin‐, VIP‐ and substance P‐like immunoreativity in the carotid body. Nature Lond. 184: 269-271, 1980.
 158. Wilson, B. S., and R. V. Lloyd. Detection of chromogranin in neuroendocrine cells with a monoclonal antibody. Am. J. Pathol. 115: 458-468, 1984.

Contact Editor

Submit a note to the editor about this article by filling in the form below.

* Required Field

How to Cite

Julia M Polak. Endocrine Cells of the Gut. Compr Physiol 2011, Supplement 17: Handbook of Physiology, The Gastrointestinal System, Neural and Endocrine Biology: 79-96. First published in print 1989. doi: 10.1002/cphy.cp060204