Comprehensive Physiology Wiley Online Library

Liver Sinusoidal Endothelial Cells

Full Article on Wiley Online Library



ABSTRACT

The liver sinusoidal endothelial cell (LSEC) forms the fenestrated wall of the hepatic sinusoid and functions as a control post regulating and surveying the trafficking of molecules and cells between the liver parenchyma and the blood. The cell acts as a scavenger cell responsible for removal of potential dangerous macromolecules from blood, and is increasingly acknowledged as an important player in liver immunity. This review provides an update of the major functions of the LSEC, including its role in plasma ultrafiltration and regulation of the hepatic microcirculation, scavenger functions, immune functions, and role in liver aging, as well as issues that are either undercommunicated or confusingly dealt with in the literature. These include metabolic functions, including energy metabolic interplay between the LSEC and the hepatocyte, and adequate ways of identifying and distinguishing the cells. © 2015 American Physiological Society. Compr Physiol 5:1751‐1774, 2015.

Comprehensive Physiology offers downloadable PowerPoint presentations of figures for non-profit, educational use, provided the content is not modified and full credit is given to the author and publication.

Download a PowerPoint presentation of all images


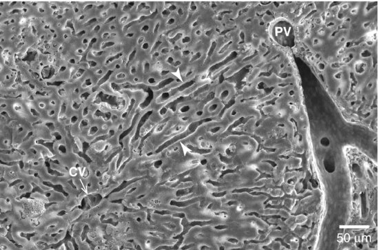
Figure 1. Figure 1. Rat liver lobule. Scanning electron micrograph of the lobule structure of rat liver. Numerous sinusoids (arrow heads) are seen connecting portal venules (PV) with central venules (CV), with the liver parenchyma surrounding the sinusoids. Blood flows from the portal venule to the central venule through the sinusoids. Scale bar: 50 μm.
Figure 2. Figure 2. The liver sinusoid, with its main cell types. Cartoon of the liver sinusoid, illustrating the localization of hepatocytes (HC), liver sinusoidal endothelial cells (LSEC), liver resident macrophages or Kupffer cells (KC), and stellate cells (SC). The stellate cells are located in the perisinusoidal space of Disse, whereas Kupffer cells are normally located at the luminal side of the endothelial lining. For simplicity the sparse connective tissue underlying the LSECs has not been included in the cartoon. RBC, red blood cell; WBC, white blood cell. Blue and green dots represent soluble macromolecules.
Figure 3. Figure 3. Morphology of the liver sinusoidal endothelial cell. (A) Transmission electron micrograph of a transversally cut rat liver sinusoid. The very thin attenuated cytoplasm of the liver sinusoidal endothelial cell (LSEC) contains numerous fenestrations (arrow heads). Part of a stellate cell (SC), as well as microvilli of the surrounding hepatocytes (HC) can be seen in the perisinusoidal space of Disse. (B, C) Coated pits (arrows) are visible on the luminal and abluminal sides of an LSEC. LSEC fenestrae (arrow heads) can be observed. Note the scarcity of connective tissue structures along the abluminal aspect of the LSECs, demonstrating that the fenestrae provide open channels allowing bidirectional traffic of fluids, solutes, and small particles between the blood and liver parenchyma. (D, E) Scanning electron micrograph of mouse liver showing numerous fenestrae and high porosity of LSECs (overview in D; close‐up in E). The fenestrae are mostly located in sieve plates (encircled in E). HC, hepatocyte; SD, space of Disse. (F, G) Scanning electron micrographs of rat LSECs in culture. Freshly isolated LSECs were plated on collagen coated tissue culture plastic and fixed 2 h after seeding. The cells are highly fenestrated. N, nucleus. (G) High magnification showing details of LSEC fenestration. The fenestrae are mostly organized in sieve plates (encircled), but mesh‐like structures (arrow heads) and single holes can also be seen.
Figure 4. Figure 4. Fate of extracellular matrix turnover products, and the role of liver scavenger cells in their clearance. Extracellular matrix in all parts of the body is continuously being produced and degraded. (A) The turnover of the extracellular matrix takes place by initial enzymatic release of large molecular fragments. (B) Some of these large degradation products may be endocytosed and digested locally by macrophages and other connective tissue cells, but (C) a large proportion is transported with lymph to lymph nodes where uptake and degradation take place in macrophages and endothelial cells (74,130). (D) The fragments that escape uptake in lymph node cells find their way to the circulation (193), from where they are cleared by endocytosis in liver scavenger cells. The liver sinusoidal endothelial cells (LSECs) are the major site of uptake of a range of soluble macromolecular fragments, whereas particulate material is phagocytosed by the Kupffer cells (239).
Figure 5. Figure 5.

The LSECs are highly effective scavenger cells. The LSECs have a much higher endocytic activity than other vascular endothelia, and effectively clear the blood of a multitude of soluble macromolecules and colloidal ligands [(239) Table 1)]. The rapid clearance kinetics of blood‐borne macromolecules taken up in LSECs is exemplified in A‐C by the fate of 125I‐labeled formaldehyde‐treated serum albumin (FSA) after tail vein injection in mouse (dose: 25 μg 125I‐FSA/kg body weight) [data reproduced from (64) with permission].

125I‐FSA has been previously shown to distribute mainly to LSECs after intravenous injection (15). (A) Pharmacokinetics of 125I‐FSA, with extremely short circulatory survival of ligand. (B) Kinetics of release of 125I‐labeled degradation product to the blood, starting 10 min after the administration of 125I‐FSA, reflecting rapid intralysosomal degradation. (C) Organ distribution of 125I‐FSA after 10 min. (D‐F) Fluorescence microscopy images of a mouse liver section showing colocalization of endocytosed fluorescein isothiocyanate labeled FSA (FITC‐FSA; green fluorescence in D) with the staining pattern of anti mannose receptor antibodies (red fluorescence in E), a specific LSEC marker (64,218). Overlay of red and green fluorescence are shown as orange/yellow in F. The anesthetized mouse was sacrificed 10 min after tail vein injection of FITC‐FSA (dose 2 mg/kg body weight), then perfusion fixed, and tissues processed for paraffin sectioning and immune staining. The original experiment is described in (218).

Figure 6. Figure 6. Metabolic interplay between LSECs and hepatocytes. Various macromolecules and nanocompounds are taken up from the blood by receptor‐mediated endocytosis (1), and metabolized through the endo‐lysosomal pathway (2). Acid hydrolases degrade endocytosed macromolecules to basic metabolic building blocks, for example, monosaccharides and amino acids. Some of these are degraded further in the LSEC cytoplasm to lactate and acetate that are transferred to the hepatocyte (3) and used in mitochondrial reactions largely to produce energy (4). Glutamate is included in step (3) to indicate that it may enter the Krebs cycle in mitochondria of hepatocytes. The distinct roles of LSECs and hepatocytes in hepatic glutamine homeostasis are indicated by the lysosomal location of kidney type (k‐) glutaminase in LSECs, as compared with the mitochondrial location of the liver type (h‐) glutaminase in the hepatocytes. Following transport of glutamine to the lysosome of the LSEC (5) or its generation from lysosomal hydrolysis of proteins in same cell type (2), ammonium (NH3) generated by the action of k‐type glutaminase is transferred to mitochondria of hepatocytes, where it is incorporated in urea and excreted. Glutamine transported into hepatocytes (6) is hydrolyzed by h‐type glutaminase in the mitochondria to NH3, which enters the urea cycle to be incorporated in urea. See section on LSEC metabolism for more details.
Figure 7. Figure 7. Response of LSECs to toxicants. Scanning electron micrographs illustrating the morphological response of the hepatic sinusoids of C57/BL6 mice 6 h after oral acetaminophen administration (dose: 600 mg/kg in water). The animal experimental protocol is described in (107). (A) Normal liver from control animal—note numerous fenestrae organized in sieve plates and the absence of gaps in LSECs. SD, space of Disse; HC, hepatocytes. Images in B, C, and D show liver tissue 6 h after oral acetaminophen administration—note the loss of fenestrations and the enlargement of the space of Disse (SD), gap formations in LSEC (arrows), and the penetration of red blood cells (RBC) into the space of Disse. Image 7D is reproduced from (162) with permission.


Figure 1. Rat liver lobule. Scanning electron micrograph of the lobule structure of rat liver. Numerous sinusoids (arrow heads) are seen connecting portal venules (PV) with central venules (CV), with the liver parenchyma surrounding the sinusoids. Blood flows from the portal venule to the central venule through the sinusoids. Scale bar: 50 μm.


Figure 2. The liver sinusoid, with its main cell types. Cartoon of the liver sinusoid, illustrating the localization of hepatocytes (HC), liver sinusoidal endothelial cells (LSEC), liver resident macrophages or Kupffer cells (KC), and stellate cells (SC). The stellate cells are located in the perisinusoidal space of Disse, whereas Kupffer cells are normally located at the luminal side of the endothelial lining. For simplicity the sparse connective tissue underlying the LSECs has not been included in the cartoon. RBC, red blood cell; WBC, white blood cell. Blue and green dots represent soluble macromolecules.


Figure 3. Morphology of the liver sinusoidal endothelial cell. (A) Transmission electron micrograph of a transversally cut rat liver sinusoid. The very thin attenuated cytoplasm of the liver sinusoidal endothelial cell (LSEC) contains numerous fenestrations (arrow heads). Part of a stellate cell (SC), as well as microvilli of the surrounding hepatocytes (HC) can be seen in the perisinusoidal space of Disse. (B, C) Coated pits (arrows) are visible on the luminal and abluminal sides of an LSEC. LSEC fenestrae (arrow heads) can be observed. Note the scarcity of connective tissue structures along the abluminal aspect of the LSECs, demonstrating that the fenestrae provide open channels allowing bidirectional traffic of fluids, solutes, and small particles between the blood and liver parenchyma. (D, E) Scanning electron micrograph of mouse liver showing numerous fenestrae and high porosity of LSECs (overview in D; close‐up in E). The fenestrae are mostly located in sieve plates (encircled in E). HC, hepatocyte; SD, space of Disse. (F, G) Scanning electron micrographs of rat LSECs in culture. Freshly isolated LSECs were plated on collagen coated tissue culture plastic and fixed 2 h after seeding. The cells are highly fenestrated. N, nucleus. (G) High magnification showing details of LSEC fenestration. The fenestrae are mostly organized in sieve plates (encircled), but mesh‐like structures (arrow heads) and single holes can also be seen.


Figure 4. Fate of extracellular matrix turnover products, and the role of liver scavenger cells in their clearance. Extracellular matrix in all parts of the body is continuously being produced and degraded. (A) The turnover of the extracellular matrix takes place by initial enzymatic release of large molecular fragments. (B) Some of these large degradation products may be endocytosed and digested locally by macrophages and other connective tissue cells, but (C) a large proportion is transported with lymph to lymph nodes where uptake and degradation take place in macrophages and endothelial cells (74,130). (D) The fragments that escape uptake in lymph node cells find their way to the circulation (193), from where they are cleared by endocytosis in liver scavenger cells. The liver sinusoidal endothelial cells (LSECs) are the major site of uptake of a range of soluble macromolecular fragments, whereas particulate material is phagocytosed by the Kupffer cells (239).


Figure 5.

The LSECs are highly effective scavenger cells. The LSECs have a much higher endocytic activity than other vascular endothelia, and effectively clear the blood of a multitude of soluble macromolecules and colloidal ligands [(239) Table 1)]. The rapid clearance kinetics of blood‐borne macromolecules taken up in LSECs is exemplified in A‐C by the fate of 125I‐labeled formaldehyde‐treated serum albumin (FSA) after tail vein injection in mouse (dose: 25 μg 125I‐FSA/kg body weight) [data reproduced from (64) with permission].

125I‐FSA has been previously shown to distribute mainly to LSECs after intravenous injection (15). (A) Pharmacokinetics of 125I‐FSA, with extremely short circulatory survival of ligand. (B) Kinetics of release of 125I‐labeled degradation product to the blood, starting 10 min after the administration of 125I‐FSA, reflecting rapid intralysosomal degradation. (C) Organ distribution of 125I‐FSA after 10 min. (D‐F) Fluorescence microscopy images of a mouse liver section showing colocalization of endocytosed fluorescein isothiocyanate labeled FSA (FITC‐FSA; green fluorescence in D) with the staining pattern of anti mannose receptor antibodies (red fluorescence in E), a specific LSEC marker (64,218). Overlay of red and green fluorescence are shown as orange/yellow in F. The anesthetized mouse was sacrificed 10 min after tail vein injection of FITC‐FSA (dose 2 mg/kg body weight), then perfusion fixed, and tissues processed for paraffin sectioning and immune staining. The original experiment is described in (218).



Figure 6. Metabolic interplay between LSECs and hepatocytes. Various macromolecules and nanocompounds are taken up from the blood by receptor‐mediated endocytosis (1), and metabolized through the endo‐lysosomal pathway (2). Acid hydrolases degrade endocytosed macromolecules to basic metabolic building blocks, for example, monosaccharides and amino acids. Some of these are degraded further in the LSEC cytoplasm to lactate and acetate that are transferred to the hepatocyte (3) and used in mitochondrial reactions largely to produce energy (4). Glutamate is included in step (3) to indicate that it may enter the Krebs cycle in mitochondria of hepatocytes. The distinct roles of LSECs and hepatocytes in hepatic glutamine homeostasis are indicated by the lysosomal location of kidney type (k‐) glutaminase in LSECs, as compared with the mitochondrial location of the liver type (h‐) glutaminase in the hepatocytes. Following transport of glutamine to the lysosome of the LSEC (5) or its generation from lysosomal hydrolysis of proteins in same cell type (2), ammonium (NH3) generated by the action of k‐type glutaminase is transferred to mitochondria of hepatocytes, where it is incorporated in urea and excreted. Glutamine transported into hepatocytes (6) is hydrolyzed by h‐type glutaminase in the mitochondria to NH3, which enters the urea cycle to be incorporated in urea. See section on LSEC metabolism for more details.


Figure 7. Response of LSECs to toxicants. Scanning electron micrographs illustrating the morphological response of the hepatic sinusoids of C57/BL6 mice 6 h after oral acetaminophen administration (dose: 600 mg/kg in water). The animal experimental protocol is described in (107). (A) Normal liver from control animal—note numerous fenestrae organized in sieve plates and the absence of gaps in LSECs. SD, space of Disse; HC, hepatocytes. Images in B, C, and D show liver tissue 6 h after oral acetaminophen administration—note the loss of fenestrations and the enlargement of the space of Disse (SD), gap formations in LSEC (arrows), and the penetration of red blood cells (RBC) into the space of Disse. Image 7D is reproduced from (162) with permission.
References
 1. Adachi H , Tsujimoto M . FEEL‐1, a novel scavenger receptor with in vitro bacteria‐binding and angiogenesis‐modulating activities. J Biol Chem 277: 34264‐34270, 2002.
 2. Ahmed SS , Muro H , Nishimura M , Kosugi I , Tsutsi Y , Shirasawa H . Fc receptors in liver sinusoidal endothelial cells in NZB/W F1 lupus mice: A histological analysis using soluble immunoglobulin G‐immune complexes and a monoclonal antibody (2.4G2). Hepatology 22: 316‐324, 1995.
 3. Allen PJ , Jarnagin WR . Current status of hepatic resection. Adv Surg 37: 29‐49, 2003.
 4. Arend WP , Mannik M . Studies on antigen‐antibody complexes. II. Quantification of tissue uptake of soluble complexes in normal and complement‐depleted rabbits. J Immunol 107: 63‐75, 1971.
 5. Areschoug T , Gordon S . Scavenger receptors: Role in innate immunity and microbial pathogenesis. Cell Microbiol 11: 1160‐1169, 2009.
 6. Arimoto J , Ikura Y , Suekane T , Nakagawa M , Kitabayashi C , Iwasa Y , Sugioka K , Naruko T , Arakawa T , Ueda M . Expression of LYVE‐1 in sinusoidal endothelium is reduced in chronically inflamed human livers. J Gastroenterol 45: 317‐325, 2010.
 7. Arteta B , Lasuen N , Lopategi A , Sveinbjornsson B , Smedsrod B , Vidal‐Vanaclocha F . Colon carcinoma cell interaction with liver sinusoidal endothelium inhibits organ‐specific antitumor immunity through interleukin‐1‐induced mannose receptor in mice. Hepatology 51: 2172‐2182, 2010.
 8. Asumendi A , Alvarez A , Martinez I , Smedsrod B , Vidal‐Vanaclocha F . Hepatic sinusoidal endothelium heterogeneity with respect to mannose receptor activity is interleukin‐1 dependent. Hepatology 23: 1521‐1529, 1996.
 9. Aterman K . The structure of the liver sinusoids and the sinusoidal cells. In: Rouiller CH , editor. The Liver, Morphology, Biochemistry, Physiology. New York and London: Academic Press, 1964, pp. 61‐136.
 10. Banerji S , Ni J , Wang SX , Clasper S , Su J , Tammi R , Jones M , Jackson DG . LYVE‐1, a new homologue of the CD44 glycoprotein, is a lymph‐specific receptor for hyaluronan. J Cell Biol 144: 789‐801, 1999.
 11. Bashirova AA , Geijtenbeek TB , van Duijnhoven GC , van Vliet SJ , Eilering JB , Martin MP , Wu L , Martin TD , Viebig N , Knolle PA , KewalRamani VN , van Kooyk Y , Carrington M . A dendritic cell‐specific intercellular adhesion molecule 3‐grabbing nonintegrin (DC‐SIGN)‐related protein is highly expressed on human liver sinusoidal endothelial cells and promotes HIV‐1 infection. J Exp Med 193: 671‐678, 2001.
 12. Battisto JR , Miller J . Immunological unresponsiveness produced in adult guinea pigs by parenteral introduction of minute quantities of hapten or protein antigen. Proc Soc Exp Biol Med 111: 111‐115, 1962.
 13. Benacerraf B , Sebestyen M , Cooper NS . The clearance of antigen antibody complexes from the blood by the reticuloendothelial system. J Immunol 82: 131‐137, 1959.
 14. Berg M , Wingender G , Djandji D , Hegenbarth S , Momburg F , Hammerling G , Limmer A , Knolle P . Cross‐presentation of antigens from apoptotic tumor cells by liver sinusoidal endothelial cells leads to tumor‐specific CD8+ T cell tolerance. Eur J Immunol 36: 2960‐2970, 2006.
 15. Blomhoff R , Eskild W , Berg T . Endocytosis of formaldehyde‐treated serum albumin via scavenger pathway in liver endothelial cells. Biochem J 218: 81‐86, 1984.
 16. Blouin A , Bolender RP , Weibel ER . Distribution of organelles and membranes between hepatocytes and nonhepatocytes in the rat liver parenchyma. A stereological study. J Cell Biol 72: 441‐455, 1977.
 17. Boaru SG , Borkham‐Kamphorst E , Tihaa L , Haas U , Weiskirchen R . Expression analysis of inflammasomes in experimental models of inflammatory and fibrotic liver disease. J Inflamm 9: 49, 2012.
 18. Bogers WM , Stad RK , Janssen DJ , van Rooijen N , van Es LA , Daha MR . Kupffer cell depletion in vivo results in preferential elimination of IgG aggregates and immune complexes via specific Fc receptors on rat liver endothelial cells. Clin Exp Immunol 86: 328‐333, 1991.
 19. Braet F . How molecular microscopy revealed new insights into the dynamics of hepatic endothelial fenestrae in the past decade. Liver Int 24: 532‐539, 2004.
 20. Braet F , Bomans PH , Wisse E , Frederik PM . The observation of intact hepatic endothelial cells by cryo‐electron microscopy. J Microsc 212: 175‐185, 2003.
 21. Braet F , De Zanger R , Baekeland M , Crabbe E , Van Der Smissen P , Wisse E . Structure and dynamics of the fenestrae‐associated cytoskeleton of rat liver sinusoidal endothelial cells. Hepatology 21: 180‐189, 1995.
 22. Braet F , De Zanger R , Kalle W , Raap A , Tanke H , Wisse E . Comparative scanning, transmission and atomic force microscopy of the microtubular cytoskeleton in fenestrated liver endothelial cells. Scanning Microsc Suppl 10: 225‐235; discussion 235‐226, 1996.
 23. Braet F , de Zanger R , Seynaeve C , Baekeland M , Wisse E . A comparative atomic force microscopy study on living skin fibroblasts and liver endothelial cells. J Electron Microsc (Tokyo) 50: 283‐290, 2001.
 24. Braet F , Riches J , Geerts W , Jahn KA , Wisse E , Frederik P . Three‐dimensional organization of fenestrae labyrinths in liver sinusoidal endothelial cells. Liver Int 29: 603‐613, 2009.
 25. Braet F , Spector I , De Zanger R , Wisse E . A novel structure involved in the formation of liver endothelial cell fenestrae revealed by using the actin inhibitor misakinolide. Proc Natl Acad Sci U S A 95: 13635‐13640, 1998.
 26. Braet F , Wisse E . Structural and functional aspects of liver sinusoidal endothelial cell fenestrae: A review. Comp Hepatol 1: 1, 2002.
 27. Braet F , Wisse E . AFM imaging of fenestrated liver sinusoidal endothelial cells. Micron 43: 1252‐1258, 2012.
 28. Braet F , Wisse E , Bomans P , Frederik P , Geerts W , Koster A , Soon L , Ringer S . Contribution of high‐resolution correlative imaging techniques in the study of the liver sieve in three‐dimensions. Microsc Res Tech 70: 230‐242, 2007.
 29. Breiner KM , Schaller H , Knolle PA . Endothelial cell‐mediated uptake of a hepatitis B virus: A new concept of liver targeting of hepatotropic microorganisms. Hepatology 34: 803‐808, 2001.
 30. Brinkley TE , Nicklas BJ , Kanaya AM , Satterfield S , Lakatta EG , Simonsick EM , Sutton‐Tyrrell K , Kritchevsky SB . Plasma oxidized low‐density lipoprotein levels and arterial stiffness in older adults: The health, aging, and body composition study. Hypertension 53: 846‐852, 2009.
 31. Brouwer A , Barelds RJ , Knook DL . Age‐related changes in the endocytic capacity of rat liver Kupffer and endothelial cells. Hepatology 5: 362‐366, 1985.
 32. Brown MS , Goldstein JL . Lipoprotein metabolism in the macrophage: Implications for cholesterol deposition in atherosclerosis. Annu Rev Biochem 52: 223‐261, 1983.
 33. Cantor HM , Dumont AE . Hepatic suppression of sensitization to antigen absorbed into the portal system. Nature 215: 744‐745, 1967.
 34. Caperna TJ , Garvey JS . Antigen handling in aging. II. The role of Kupffer and endothelial cells in antigen processing in Fischer 344 rats. Mech Ageing Dev 20: 205‐221, 1982.
 35. Chung KW , Kim DH , Park MH , Choi YJ , Kim ND , Lee J , Yu BP , Chung HY . Recent advances in calorie restriction research on aging. Exp Gerontol 48: 1049‐1053, 2013.
 36. Clemens MG , Zhang JX . Regulation of sinusoidal perfusion: In vivo methodology and control by endothelins. Semin Liver Dis 19: 383‐396, 1999.
 37. Cogger VC , Le Couteur DG . Fenestrations in the liver sinusoidal endothelial cell. In: Arias IM , editor. The Liver: Biology and Pathobiology. Wiley‐Blackwell, 2009.
 38. Cogger VC , McNerney GP , Nyunt T , DeLeve LD , McCourt P , Smedsrod B , Le Couteur DG , Huser TR . Three‐dimensional structured illumination microscopy of liver sinusoidal endothelial cell fenestrations. J Struct Biol 171: 382‐388, 2010.
 39. Cogger VC , Mross PE , Hosie MJ , Ansselin AD , McLean AJ , Le Couteur DG . The effect of acute oxidative stress on the ultrastructure of the perfused rat liver. Pharmacol Toxicol 89: 306‐311, 2001.
 40. Cogger VC , Warren A , Fraser R , Ngu M , McLean AJ , Le Couteur DG . Hepatic sinusoidal pseudocapillarization with aging in the non‐human primate. Exp Gerontol 38: 1101‐1107, 2003.
 41. Cohn JS , McNamara JR , Cohn SD , Ordovas JM , Schaefer EJ . Postprandial plasma lipoprotein changes in human subjects of different ages. J Lipid Res 29: 469‐479, 1988.
 42. Crispe IN . The liver as a lymphoid organ. Annu Rev Immunol 27: 147‐163, 2009.
 43. Crispe IN . Liver antigen‐presenting cells. J Hepatol 54: 357‐365, 2011.
 44. Crispe IN , Giannandrea M , Klein I , John B , Sampson B , Wuensch S . Cellular and molecular mechanisms of liver tolerance. Immunol Rev 213: 101‐118, 2006.
 45. De Rijke YB , Biessen EA , Vogelezang CJ , van Berkel TJ . Binding characteristics of scavenger receptors on liver endothelial and Kupffer cells for modified low‐density lipoproteins. Biochem J 304(Pt 1): 69‐73, 1994.
 46. Deaciuc IV , D'Souza NB , Sarphie TG , Schmidt J , Hill DB , McClain CJ . Effects of exogenous superoxide anion and nitric oxide on the scavenging function and electron microscopic appearance of the sinusoidal endothelium in the isolated, perfused rat liver. J Hepatol 30: 213‐221, 1999.
 47. Deleve LD . Dacarbazine toxicity in murine liver cells: A model of hepatic endothelial injury and glutathione defense. J Pharmacol Exp Ther 268: 1261‐1270, 1994.
 48. De Leve LD . Cellular target of cyclophosphamide toxicity in the murine liver: Role of glutathione and site of metabolic activation. Hepatology 24: 830‐837, 1996.
 49. De Leve LD . Effect of decreased glutathione levels in hereditary glutathione synthetase deficiency on dibromoethane‐induced genotoxicity in human fibroblasts. Mutat Res 389: 291‐297, 1997.
 50. De Leve LD . Liver sinusoidal endothelial cells and liver regeneration. J Clin Invest 123: 1861‐1866, 2013.
 51. De Leve LD . Liver sinusoidal endothelial cells in hepatic fibrosis. Hepatology 2014.
 52. De Leve LD , McCuskey RS , Wang X , Hu L , McCuskey MK , Epstein RB , Kanel GC . Characterization of a reproducible rat model of hepatic veno‐occlusive disease. Hepatology 29: 1779‐1791, 1999.
 53. DeLeve LD , Shulman HM , McDonald GB . Toxic injury to hepatic sinusoids: Sinusoidal obstruction syndrome (veno‐occlusive disease). Semin Liver Dis 22: 27‐42, 2002.
 54. DeLeve LD , Wang X , Hu L , McCuskey MK , McCuskey RS . Rat liver sinusoidal endothelial cell phenotype is maintained by paracrine and autocrine regulation. Am J Physiol Gastrointest Liver Physiol 287: G757‐G763, 2004.
 55. DeLeve LD , Wang X , Kaplowitz N , Shulman HM , Bart JA , van der Hoek A . Sinusoidal endothelial cells as a target for acetaminophen toxicity. Direct action versus requirement for hepatocyte activation in different mouse strains. Biochem Pharmacol 53: 1339‐1345, 1997.
 56. DeLeve LD , Wang X , Kuhlenkamp JF , Kaplowitz N . Toxicity of azathioprine and monocrotaline in murine sinusoidal endothelial cells and hepatocytes: The role of glutathione and relevance to hepatic venoocclusive disease. Hepatology 23: 589‐599, 1996.
 57. DeLeve LD , Wang X , McCuskey MK , McCuskey RS . Rat liver endothelial cells isolated by anti‐CD31 immunomagnetic separation lack fenestrae and sieve plates. Am J Physiol Gastrointest Liver Physiol 291: G1187‐1189, 2006.
 58. Deleve LD , Wang X , Tsai J , Kanel G , Strasberg S , Tokes ZA . Sinusoidal obstruction syndrome (veno‐occlusive disease) in the rat is prevented by matrix metalloproteinase inhibition. Gastroenterology 125: 882‐890, 2003.
 59. Ding BS , Cao Z , Lis R , Nolan DJ , Guo P , Simons M , Penfold ME , Shido K , Rabbany SY , Rafii S . Divergent angiocrine signals from vascular niche balance liver regeneration and fibrosis. Nature 505: 97‐102, 2014.
 60. Ding BS , Nolan DJ , Butler JM , James D , Babazadeh AO , Rosenwaks Z , Mittal V , Kobayashi H , Shido K , Lyden D , Sato TN , Rabbany SY , Rafii S . Inductive angiocrine signals from sinusoidal endothelium are required for liver regeneration. Nature 468: 310‐315, 2010.
 61. Duryee MJ , Freeman TL , Willis MS , Hunter CD , Hamilton BC, III , Suzuki H , Tuma DJ , Klassen LW , Thiele GM . Scavenger receptors on sinusoidal liver endothelial cells are involved in the uptake of aldehyde‐modified proteins. Mol Pharmacol 68: 1423‐1430, 2005.
 62. Ebrahimkhani MR , Mohar I , Crispe IN . Cross‐presentation of antigen by diverse subsets of murine liver cells. Hepatology 54: 1379‐1387, 2011.
 63. Eguchi H , McCuskey PA , McCuskey RS . Kupffer cell activity and hepatic microvascular events after acute ethanol ingestion in mice. Hepatology 13: 751‐757, 1991.
 64. Elvevold K , Simon‐Santamaria J , Hasvold H , McCourt P , Smedsrod B , Sorensen KK . Liver sinusoidal endothelial cells depend on mannose receptor‐mediated recruitment of lysosomal enzymes for normal degradation capacity. Hepatology 48: 2007‐2015, 2008.
 65. Elvevold K , Smedsrod B , Martinez I . The liver sinusoidal endothelial cell: A cell type of controversial and confusing identity. Am J Physiol Gastrointest Liver Physiol 294: G391‐400, 2008.
 66. Elvevold KH , Nedredal GI , Revhaug A , Smedsrod B . Scavenger properties of cultivated pig liver endothelial cells. Comp Hepatol 3: 4, 2004.
 67. Eskild W , Smedsrod B , Berg T . Receptor mediated endocytosis of formaldehyde treated albumin, yeast invertase and chondroitin sulfate in suspensions of rat liver endothelial cells. Int J Biochem 18: 647‐651, 1986.
 68. Falkowska‐Hansen B , Falkowski M , Metharom P , Krunic D , Goerdt S . Clathrin‐coated vesicles form a unique net‐like structure in liver sinusoidal endothelial cells by assembling along undisrupted microtubules. Exp Cell Res 313: 1745‐1757, 2007.
 69. Falkowska‐Hansen B , Oynebraten I , Uhlin‐Hansen L , Smedsrod B . Endocytosis and degradation of serglycin in liver sinusoidal endothelial cells. Mol Cell Biochem 287: 43‐52, 2006.
 70. Falkowski M , Schledzewski K , Hansen B , Goerdt S . Expression of stabilin‐2, a novel fasciclin‐like hyaluronan receptor protein, in murine sinusoidal endothelia, avascular tissues, and at solid/liquid interfaces. Histochem Cell Biol 120: 361‐369, 2003.
 71. Fawcett DW . Observations on the cytology and electron microscopy of hepatic cells. J Natl Cancer Inst 15: 1475‐1503, 1955.
 72. Finbloom DS , Plotz PH . Studies of reticuloendothelial function in the mouse with model immune complexes. I. Serum clearance and tissue uptake in normal C3H mice. J Immunol 123: 1594‐1599, 1979.
 73. Franceschi C , Bonafe M , Valensin S , Olivieri F , De Luca M , Ottaviani E , De Benedictis G . Inflamm‐aging. An evolutionary perspective on immunosenescence. Ann N Y Acad Sci 908: 244‐254, 2000.
 74. Fraser JR , Laurent TC , Laurent UB . Hyaluronan: Its nature, distribution, functions and turnover. J Intern Med 242: 27‐33, 1997.
 75. Fraser R , Bosanquet AG , Day WA . Filtration of chylomicrons by the liver may influence cholesterol metabolism and atherosclerosis. Atherosclerosis 29: 113‐123, 1978.
 76. Fraser R , Cogger VC , Dobbs B , Jamieson H , Warren A , Hilmer SN , Le Couteur DG . The liver sieve and atherosclerosis. Pathology 44: 181‐186, 2012.
 77. Fraser R , Day WA , Fernando NS . The liver sinusoidal cells. Their role in disorders of the liver, lipoprotein metabolism and atherogenesis. Pathology 18: 5‐11, 1986.
 78. Fraser R , Dobbs BR , Rogers GW . Lipoproteins and the liver sieve: The role of the fenestrated sinusoidal endothelium in lipoprotein metabolism, atherosclerosis, and cirrhosis. Hepatology 21: 863‐874, 1995.
 79. Friedman JE , Watson JA Jr , Lam DW , Rokita SE . Iodotyrosine deiodinase is the first mammalian member of the NADH oxidase/flavin reductase superfamily. J Biol Chem 281: 2812‐2819, 2006.
 80. Gamble J , Vadas M , McCaughan G . Sinusoidal endothelium is essential for liver regeneration. Hepatology 54: 731‐733, 2011.
 81. Ganesan LP , Kim J , Wu Y , Mohanty S , Phillips GS , Birmingham DJ , Robinson JM , Anderson CL . FcgammaRIIb on liver sinusoidal endothelium clears small immune complexes. J Immunol 189: 4981‐4988, 2012.
 82. Ganesan LP , Mohanty S , Kim J , Clark KR , Robinson JM , Anderson CL . Rapid and efficient clearance of blood‐borne virus by liver sinusoidal endothelium. PLoS Pathog 7: e1002281, 2011.
 83. Gardner JP , Durso RJ , Arrigale RR , Donovan GP , Maddon PJ , Dragic T , Olson WC . L‐SIGN (CD 209L) is a liver‐specific capture receptor for hepatitis C virus. Proc Natl Acad Sci U S A 100: 4498‐4503, 2003.
 84. Geraud C , Evdokimov K , Straub BK , Peitsch WK , Demory A , Dorflinger Y , Schledzewski K , Schmieder A , Schemmer P , Augustin HG , Schirmacher P , Goerdt S . Unique cell type‐specific junctional complexes in vascular endothelium of human and rat liver sinusoids. PLoS One 7: e34206, 2012.
 85. Geraud C , Mogler C , Runge A , Evdokimov K , Lu S , Schledzewski K , Arnold B , Hammerling G , Koch PS , Breuhahn K , Longerich T , Marx A , Weiss C , Damm F , Schmieder A , Schirmacher P , Augustin HG , Goerdt S . Endothelial transdifferentiation in hepatocellular carcinoma: Loss of Stabilin‐2 expression in peri‐tumourous liver correlates with increased survival. Liver Int 33: 1428‐1440, 2013.
 86. Geraud C , Schledzewski K , Demory A , Klein D , Kaus M , Peyre F , Sticht C , Evdokimov K , Lu S , Schmieder A , Goerdt S . Liver sinusoidal endothelium: A microenvironment‐dependent differentiation program in rat including the novel junctional protein liver endothelial differentiation‐associated protein‐1. Hepatology 52: 313‐326, 2010.
 87. Goerdt S , Walsh LJ , Murphy GF , Pober JS . Identification of a novel high molecular weight protein preferentially expressed by sinusoidal endothelial cells in normal human tissues. J Cell Biol 113: 1425‐1437, 1991.
 88. Goldstein JL , Ho YK , Basu SK , Brown MS . Binding site on macrophages that mediates uptake and degradation of acetylated low density lipoprotein, producing massive cholesterol deposition. Proc Natl Acad Sci U S A 76: 333‐337, 1979.
 89. Hampton JC . An electron microscope study of the hepatic uptake and excretion of submicroscopic particles injected into the blood stream and into the bile duct. Acta anatomica 32: 262‐291, 1958.
 90. Hansen B , Longati P , Elvevold K , Nedredal GI , Schledzewski K , Olsen R , Falkowski M , Kzhyshkowska J , Carlsson F , Johansson S , Smedsrod B , Goerdt S , Johansson S , McCourt P . Stabilin‐1 and stabilin‐2 are both directed into the early endocytic pathway in hepatic sinusoidal endothelium via interactions with clathrin/AP‐2, independent of ligand binding. Exp Cell Res 303: 160‐173, 2005.
 91. Hansen B , Melkko J , Smedsrod B . Serum is a rich source of ligands for the scavenger receptor of hepatic sinusoidal endothelial cells. Mol Cell Biochem 229: 63‐72, 2002.
 92. Hansen B , Svistounov D , Olsen R , Nagai R , Horiuchi S , Smedsrod B . Advanced glycation end products impair the scavenger function of rat hepatic sinusoidal endothelial cells. Diabetologia 45: 1379‐1388, 2002.
 93. Harb R , Xie G , Lutzko C , Guo Y , Wang X , Hill CK , Kanel GC , DeLeve LD . Bone marrow progenitor cells repair rat hepatic sinusoidal endothelial cells after liver injury. Gastroenterology 137: 704‐712, 2009.
 94. Harris EN , Weigel JA , Weigel PH . The human hyaluronan receptor for endocytosis (HARE/Stabilin‐2) is a systemic clearance receptor for heparin. J Biol Chem 283: 17341‐17350, 2008.
 95. Harris EN , Weigel PH . The ligand‐binding profile of HARE: Hyaluronan and chondroitin sulfates A, C, and D bind to overlapping sites distinct from the sites for heparin, acetylated low‐density lipoprotein, dermatan sulfate, and CS‐E. Glycobiology 18: 638‐648, 2008.
 96. Heil MF , Dingman AD , Garvey JS . Antigen handling in ageing. III. Age‐related changes in antigen handling by liver parenchymal and nonparenchymal cells. Mech Ageing Dev 26: 327‐340, 1984.
 97. Hellevik T , Bondevik A , Smedsrod B . Intracellular fate of endocytosed collagen in rat liver endothelial cells. Exp Cell Res 223: 39‐49, 1996.
 98. Henriksen JH , Horn T , Christoffersen P . The blood‐lymph barrier in the liver. A review based on morphological and functional concepts of normal and cirrhotic liver. Liver 4: 221‐232, 1984.
 99. Herz J , Strickland DK . LRP: A multifunctional scavenger and signaling receptor. J Clin Invest 108: 779‐784, 2001.
 100. Hilmer SN , Cogger VC , Fraser R , McLean AJ , Sullivan D , Le Couteur DG . Age‐related changes in the hepatic sinusoidal endothelium impede lipoprotein transfer in the rat. Hepatology 42: 1349‐1354, 2005.
 101. Hubbard AL , Wilson G , Ashwell G , Stukenbrok H . An electron microscope autoradiographic study of the carbohydrate recognition systems in rat liver. I. Distribution of 125I‐ligands among the liver cell types. J Cell Biol 83: 47‐64, 1979.
 102. Irjala H , Alanen K , Grenman R , Heikkila P , Joensuu H , Jalkanen S . Mannose receptor (MR) and common lymphatic endothelial and vascular endothelial receptor (CLEVER)‐1 direct the binding of cancer cells to the lymph vessel endothelium. Cancer Res 63: 4671‐4676, 2003.
 103. Isaksson A , Hultberg B , Sundler R , Akesson B . Uptake of beta‐hexosaminidase by nonparenchymal liver cells and peritoneal macrophages. Enzyme 30: 230‐238, 1983.
 104. Ito Y , Abril ER , Bethea NW , McCuskey MK , Cover C , Jaeschke H , McCuskey RS . Mechanisms and pathophysiological implications of sinusoidal endothelial cell gap formation following treatment with galactosamine/endotoxin in mice. Am J Physiol Gastrointest Liver Physiol 291: G211‐218, 2006.
 105. Ito Y , Abril ER , Bethea NW , McCuskey RS . Inhibition of matrix metalloproteinases minimizes hepatic microvascular injury in response to acetaminophen in mice. Toxicol Sci 83: 190‐196, 2005.
 106. Ito Y , Abril ER , Bethea NW , McCuskey RS . Role of nitric oxide in hepatic microvascular injury elicited by acetaminophen in mice. Am J Physiol Gastrointest Liver Physiol 286: G60‐G67, 2004.
 107. Ito Y , Bethea NW , Abril ER , McCuskey RS . Early hepatic microvascular injury in response to acetaminophen toxicity. Microcirculation 10: 391‐400, 2003.
 108. Ito Y , Sorensen KK , Bethea NW , Svistounov D , McCuskey MK , Smedsrod BH , McCuskey RS . Age‐related changes in the hepatic microcirculation in mice. Exp Gerontol 42: 789‐797, 2007.
 109. Jacobs F , Wisse E , De Geest B . The role of liver sinusoidal cells in hepatocyte‐directed gene transfer. Am J Pathol 176: 14‐21, 2010.
 110. Jamieson HA , Cogger VC , Twigg SM , McLennan SV , Warren A , Cheluvappa R , Hilmer SN , Fraser R , de Cabo R , Le Couteur DG . Alterations in liver sinusoidal endothelium in a baboon model of type 1 diabetes. Diabetologia 50: 1969‐1976, 2007.
 111. Jamieson HA , Hilmer SN , Cogger VC , Warren A , Cheluvappa R , Abernethy DR , Everitt AV , Fraser R , de Cabo R , Le Couteur DG . Caloric restriction reduces age‐related pseudocapillarization of the hepatic sinusoid. Exp Gerontol 42: 374‐378, 2007.
 112. Jenne CN , Kubes P . Immune surveillance by the liver. Nat Immunol 14: 996‐1006, 2013.
 113. Juvet LK , Berg T , Gjoen T . The expression of endosomal rab proteins correlates with endocytic rate in rat liver cells. Hepatology 25: 1204‐1212, 1997.
 114. Katz SC , Pillarisetty VG , Bleier JI , Shah AB , DeMatteo RP . Liver sinusoidal endothelial cells are insufficient to activate T cells. J Immunol 173: 230‐235, 2004.
 115. Kawada N , Tran‐Thi TA , Klein H , Decker K . The contraction of hepatic stellate (Ito) cells stimulated with vasoactive substances. Possible involvement of endothelin 1 and nitric oxide in the regulation of the sinusoidal tonus. Eur J Biochem 213: 815‐823, 1993.
 116. Kawai T , Akira S . The role of pattern‐recognition receptors in innate immunity: Update on Toll‐like receptors. Nat Immunol 11: 373‐384, 2010.
 117. Kjeken R , Mousavi SA , Brech A , Gjoen T , Berg T . Fluid phase endocytosis of I‐125 iodixanol in rat liver parenchymal, endothelial and Kupffer cells. Cell and Tissue Research 304: 221‐230, 2001.
 118. Knolle PA , Gerken G . Local control of the immune response in the liver. Immunol Rev 174: 21‐34, 2000.
 119. Knolle PA , Uhrig A , Hegenbarth S , Loser E , Schmitt E , Gerken G , Lohse AW . IL‐10 down‐regulates T cell activation by antigen‐presenting liver sinusoidal endothelial cells through decreased antigen uptake via the mannose receptor and lowered surface expression of accessory molecules. Clin Exp Immunol 114: 427‐433, 1998.
 120. Knook DL , Blansjaar N , Sleyster EC . Isolation and characterization of Kupffer and endothelial cells from the rat liver. Exp Cell Res 109: 317‐329, 1977.
 121. Knook DL , Sleyster EC . Isolated parenchymal, Kupffer and endothelial rat liver cells characterized by their lysosomal enzyme content. Biochem Biophys Res Commun 96: 250‐257, 1980.
 122. Knook DL , Sleyster EC . Separation of Kupffer and endothelial cells of the rat liver by centrifugal elutriation. Exp Cell Res 99: 444‐449, 1976.
 123. Kosugi I , Muro H , Shirasawa H , Hirano M , Amashita Y , Miyakawa A . Effects of the subcutaneous injection of complete Freund's adjuvant on Fc receptor activity and IgG immune complex uptake in liver sinusoidal endothelial cells. In: Wisse E , Knook DL , editors. Cells of the Hepatic Sinusoid. Leiden, The Netherlands: Kupffer Cell Foundation, 1993, pp. 434‐437.
 124. Krasinski SD , Cohn JS , Schaefer EJ , Russell RM . Postprandial plasma retinyl ester response is greater in older subjects compared with younger subjects. Evidence for delayed plasma clearance of intestinal lipoproteins. J Clin Invest 85: 883‐892, 1990.
 125. Krause P , Markus PM , Schwartz P , Unthan‐Fechner K , Pestel S , Fandrey J , Probst I . Hepatocyte‐supported serum‐free culture of rat liver sinusoidal endothelial cells. J Hepatol 32: 718‐726, 2000.
 126. Kzhyshkowska J , Gratchev A , Goerdt S . Stabilin‐1, a homeostatic scavenger receptor with multiple functions. J Cell Mol Med 10: 635‐649, 2006.
 127. Kzhyshkowska J , Workman G , Cardo‐Vila M , Arap W , Pasqualini R , Gratchev A , Krusell L , Goerdt S , Sage EH . Novel function of alternatively activated macrophages: Stabilin‐1‐mediated clearance of SPARC. J Immunol 176: 5825‐5832, 2006.
 128. Lai WK , Sun PJ , Zhang J , Jennings A , Lalor PF , Hubscher S , McKeating JA , Adams DH . Expression of DC‐SIGN and DC‐SIGNR on human sinusoidal endothelium: A role for capturing hepatitis C virus particles. Am J Pathol 169: 200‐208, 2006.
 129. Lalor PF , Lai WK , Curbishley SM , Shetty S , Adams DH . Human hepatic sinusoidal endothelial cells can be distinguished by expression of phenotypic markers related to their specialised functions in vivo. World J Gastroenterol 12: 5429‐5439, 2006.
 130. Laurent TC , Dahl I‐MS , Dahl LB , Engstrom‐Laurent A , Eriksson S , Fraser JRE , Granath K , Laurent C , Laurent UBG , Lilja K , Pertoft H , Smedsrod B , Tengblad A , Wik O . The catabolic fate of hyaluronic acid. Connect Tissue Res 15: 33‐41, 1986.
 131. Laurent TC , Fraser JR , Pertoft H , Smedsrod B . Binding of hyaluronate and chondroitin sulphate to liver endothelial cells. Biochem J 234: 653‐658, 1986.
 132. Le Bail B , Bioulac‐Sage P , Senuita R , Quinton A , Saric J , Balabaud C . Fine structure of hepatic sinusoids and sinusoidal cells in disease. J Electron Microsc Tech 14: 257‐282, 1990.
 133. Le Couteur DG , Cogger VC , Markus AM , Harvey PJ , Yin ZL , Ansselin AD , McLean AJ . Pseudocapillarization and associated energy limitation in the aged rat liver. Hepatology 33: 537‐543, 2001.
 134. Le Couteur DG , Cogger VC , McCuskey RS , DE Cabo R , Smedsrod B , Sorensen KK , Warren A , Fraser R . Age‐related changes in the liver sinusoidal endothelium: A mechanism for dyslipidemia. Ann N Y Acad Sci 1114: 79‐87, 2007.
 135. Le Couteur DG , Fraser R , Cogger VC , McLean AJ . Hepatic pseudocapillarisation and atherosclerosis in ageing. Lancet 359: 1612‐1615, 2002.
 136. Le Couteur DG , Warren A , Cogger VC , Smedsrod B , Sorensen KK , De Cabo R , Fraser R , McCuskey RS . Old age and the hepatic sinusoid. Anat Rec (Hoboken) 291: 672‐683, 2008.
 137. Li R , McCourt P , Schledzewski K , Goerdt S , Moldenhauer G , Liu X , Smedsrod B , Sorensen KK . Endocytosis of advanced glycation end‐products in bovine choriocapillaris endothelial cells. Microcirculation 1‐16, 2009.
 138. Li R , Oteiza A , Sorensen KK , McCourt P , Olsen R , Smedsrod B , Svistounov D . Role of liver sinusoidal endothelial cells and stabilins in elimination of oxidized low‐density lipoproteins. Am J Physiol Gastrointest Liver Physiol 300: G71‐G81, 2011.
 139. Li Y , Hao B , Kuai X , Xing G , Yang J , Chen J , Tang L , Zhang L , He F . C‐type lectin LSECtin interacts with DC‐SIGNR and is involved in hepatitis C virus binding. Mol Cell Biochem 327: 183‐190, 2009.
 140. Licastro F , Candore G , Lio D , Porcellini E , Colonna‐Romano G , Franceschi C , Caruso C . Innate immunity and inflammation in ageing: A key for understanding age‐related diseases. Immun Ageing 2: 8, 2005.
 141. Limmer A , Ohl J , Kurts C , Ljunggren HG , Reiss Y , Groettrup M , Momburg F , Arnold B , Knolle PA . Efficient presentation of exogenous antigen by liver endothelial cells to CD8+ T cells results in antigen‐specific T‐cell tolerance. Nat Med 6: 1348‐1354, 2000.
 142. Linehan SA , Martinez‐Pomares L , Stahl PD , Gordon S . Mannose receptor and its putative ligands in normal murine lymphoid and nonlymphoid organs: In situ expression of mannose receptor by selected macrophages, endothelial cells, perivascular microglia, and mesangial cells, but not dendritic cells. J Exp Med 189: 1961‐1972, 1999.
 143. Linehan SA , Weber R , McKercher S , Ripley RM , Gordon S , Martin P . Enhanced expression of the mannose receptor by endothelial cells of the liver and spleen microvascular beds in the macrophage‐deficient PU.1 null mouse. Histochem Cell Biol 123: 365‐376, 2005.
 144. Liu Y , Gardner CR , Laskin JD , Laskin DL . Classical and alternative activation of rat hepatic sinusoidal endothelial cells by inflammatory stimuli. Exp Mol Pathol 94: 160‐167, 2013.
 145. Lohmann R , Souba WW , Bode BP . Rat liver endothelial cell glutamine transporter and glutaminase expression contrast with parenchymal cells. Am J Physiol 276: G743‐750, 1999.
 146. MacPhee PJ , Schmidt EE , Groom AC . Intermittence of blood flow in liver sinusoids, studied by high‐resolution in vivo microscopy. Am J Physiol 269: G692‐698, 1995.
 147. Magnusson S , Berg T . Endocytosis of ricin by rat liver cells in vivo and in vitro is mainly mediated by mannose receptors on sinusoidal endothelial cells. Biochem J 291 (Pt 3): 749‐755, 1993.
 148. Magnusson S , Berg T . Extremely rapid endocytosis mediated by the mannose receptor of sinusoidal endothelial rat liver cells. Biochem J 257: 651‐656, 1989.
 149. Malovic I , Sorensen KK , Elvevold KH , Nedredal GI , Paulsen S , Erofeev AV , Smedsrod BH , McCourt PA . The mannose receptor on murine liver sinusoidal endothelial cells is the main denatured collagen clearance receptor. Hepatology 45: 1454‐1461, 2007.
 150. March S , Hui EE , Underhill GH , Khetani S , Bhatia SN . Microenvironmental regulation of the sinusoidal endothelial cell phenotype in vitro. Hepatology 50: 920‐928, 2009.
 151. Martens JH , Kzhyshkowska J , Falkowski‐Hansen M , Schledzewski K , Gratchev A , Mansmann U , Schmuttermaier C , Dippel E , Koenen W , Riedel F , Sankala M , Tryggvason K , Kobzik L , Moldenhauer G , Arnold B , Goerdt S . Differential expression of a gene signature for scavenger/lectin receptors by endothelial cells and macrophages in human lymph node sinuses, the primary sites of regional metastasis. J Pathol 208: 574‐589, 2006.
 152. Martin‐Armas M , Simon‐Santamaria J , Pettersen I , Moens U , Smedsrod B , Sveinbjornsson B . Toll‐like receptor 9 (TLR9) is present in murine liver sinusoidal endothelial cells (LSECs) and mediates the effect of CpG‐oligonucleotides. J Hepatol 44: 939‐946, 2006.
 153. Martinez‐Pomares L , Gordon S . Antigen presentation the macrophage way. Cell 131: 641‐643, 2007.
 154. Martinez I , Nedredal GI , Oie CI , Warren A , Johansen O , Le Couteur DG , Smedsrod B . The influence of oxygen tension on the structure and function of isolated liver sinusoidal endothelial cells. Comp Hepatol 7: 4, 2008.
 155. Martinez I , Sveinbjornsson B , Vidal‐Vanaclocha F , Asumendi A , Smedsrod B . Differential cytokine‐mediated modulation of endocytosis in rat liver endothelial cells. Biochem Biophys Res Commun 212: 235‐241, 1995.
 156. Marttila‐Ichihara F , Turja R , Miiluniemi M , Karikoski M , Maksimow M , Niemela J , Martinez‐Pomares L , Salmi M , Jalkanen S . Macrophage mannose receptor on lymphatics controls cell trafficking. Blood 112: 64‐72, 2008.
 157. Matzinger P . Tolerance, danger, and the extended family. Annu Rev Immunol 12: 991‐1045, 1994.
 158. May D , Djonov V , Zamir G , Bala M , Safadi R , Sklair‐Levy M , Keshet E . A transgenic model for conditional induction and rescue of portal hypertension reveals a role of VEGF‐mediated regulation of sinusoidal fenestrations. PLoS One 6: e21478, 2011.
 159. McCourt PA , Smedsrod BH , Melkko J , Johansson S . Characterization of a hyaluronan receptor on rat sinusoidal liver endothelial cells and its functional relationship to scavenger receptors. Hepatology 30: 1276‐1286, 1999.
 160. McCuskey PA , McCuskey RS , Hinton DE . Electron microscopy of the hepatic sinusoids in rainbow trout. In: Kirn A , Knook DL , Wisse E , editors. Cells of the Hepatic Sinusoid I. Rijswijk: Kupffer Cell Foundation, 1986, pp. 489‐494.
 161. McCuskey RS . A dynamic and static study of hepatic arterioles and hepatic sphincters. Am J Anat 119: 455‐477, 1966.
 162. McCuskey RS . Morphological mechanisms for regulating blood flow through hepatic sinusoids. Liver 20: 3‐7, 2000.
 163. McCuskey RS . Sinusoidal endothelial cells as an early target for hepatic toxicants. Clin Hemorheol Microcirc 34: 5‐10, 2006.
 164. McCuskey RS . The hepatic microvascular system in health and its response to toxicants. Anat Rec (Hoboken) 291: 661‐671, 2008.
 165. McCuskey RS , Bethea NW , Wong J , McCuskey MK , Abril ER , Wang X , Ito Y , DeLeve LD . Ethanol binging exacerbates sinusoidal endothelial and parenchymal injury elicited by acetaminophen. J Hepatol 42: 371‐377, 2005.
 166. McCuskey RS , Reilly FD . Hepatic microvasculature: Dynamic structure and its regulation. Semin Liver Dis 13: 1‐12, 1993.
 167. McLean AJ , Cogger VC , Chong GC , Warren A , Markus AM , Dahlstrom JE , Le Couteur DG . Age‐related pseudocapillarization of the human liver. J Pathol 200: 112‐117, 2003.
 168. Melkko J , Hellevik T , Risteli L , Risteli J , Smedsrod B . Clearance of NH2‐terminal propeptides of types I and III procollagen is a physiological function of the scavenger receptor in liver endothelial cells. J Exp Med 179: 405‐412, 1994.
 169. Modis L , Martinez‐Hernandez A . Hepatocytes modulate the hepatic microvascular phenotype. Lab Invest 65: 661‐670, 1991.
 170. Moniaux N , Faivre J . Key role of sinusoidal endothelial cells in the triggering of liver regeneration. J Hepatol 55: 488‐490, 2011.
 171. Monkemoller V , Schuttpelz M , McCourt P , Sorensen K , Smedsrod B , Huser T . Imaging fenestrations in liver sinusoidal endothelial cells by optical localization microscopy. Physical Chemistry Chemical Physics 2014.
 172. Mori T , Okanoue T , Sawa Y , Hori N , Ohta M , Kagawa K . Defenestration of the sinusoidal endothelial cell in a rat model of cirrhosis. Hepatology 17: 891‐897, 1993.
 173. Mousavi SA , Sporstol M , Fladeby C , Kjeken R , Barois N , Berg T . Receptor‐mediated endocytosis of immune complexes in rat liver sinusoidal endothelial cells is mediated by FcgammaRIIb2. Hepatology 46: 871‐884, 2007.
 174. Mouta Carreira C , Nasser SM , di Tomaso E , Padera TP , Boucher Y , Tomarev SI , Jain RK . LYVE‐1 is not restricted to the lymph vessels: Expression in normal liver blood sinusoids and down‐regulation in human liver cancer and cirrhosis. Cancer Res 61: 8079‐8084, 2001.
 175. Muller AM , Skrzynski C , Nesslinger M , Skipka G , Muller KM . Correlation of age with in vivo expression of endothelial markers. Exp Gerontol 37: 713‐719, 2002.
 176. Muro H , Shirasawa H , Kosugi I , Nakamura S . Defect of Fc receptors and phenotypical changes in sinusoidal endothelial cells in human liver cirrhosis. Am J Pathol 143: 105‐120, 1993.
 177. Nagelkerke JF , Barto KP , van Berkel TJ . In vivo and in vitro uptake and degradation of acetylated low density lipoprotein by rat liver endothelial, Kupffer, and parenchymal cells. J Biol Chem 258: 12221‐12227, 1983.
 178. Naito M , Wisse E . Filtration effect of endothelial fenestrations on chylomicron transport in neonatal rat liver sinusoids. Cell Tissue Res 190: 371‐382, 1978.
 179. Nakata K . Microcirculation and hemodynamic analysis of the blood circulation of the liver. Acta Pathol Jpn 17: 361‐376, 1967.
 180. Nakata K , Leong GF , Brauer RW . Direct measurement of blood pressures in minute vessels of the liver. Am J Physiol 199: 1181‐1188, 1960.
 181. Napper CE , Drickamer K , Taylor ME . Collagen binding by the mannose receptor mediated through the fibronectin type II domain. Biochem J 395: 579‐586, 2006.
 182. Nedredal GI , Elvevold K , Ytrebo LM , Fuskevag OM , Pettersen I , Bertheussen K , Langbakk B , Smedsrod B , Revhaug A . Significant contribution of liver nonparenchymal cells to metabolism of ammonia and lactate and cocultivation augments the functions of a bioartificial liver. Am J Physiol Gastrointest Liver Physiol 293: G75‐83, 2007.
 183. Nedredal GI , Elvevold K , Ytrebo LM , Fuskevag OM , Pettersen I , McCourt PA , Bertheussen K , Smedsrod B , Revhaug A . Porcine liver sinusoidal endothelial cells contribute significantly to intrahepatic ammonia metabolism. Hepatology 50: 900‐908, 2009.
 184. Nemeth E , Baird AW , O'Farrelly C . Microanatomy of the liver immune system. Seminars in immunopathology 31: 333‐343, 2009.
 185. Niesen TE , Alpers DH , Stahl PD , Rosenblum JL . Metabolism of glycosylated human salivary amylase: In vivo plasma clearance by rat hepatic endothelial cells and in vitro receptor mediated pinocytosis by rat macrophages. J Leukoc Biol 36: 307‐320, 1984.
 186. Nishida J , Ekataksin W , McDonnell D , Urbaschek R , Urbaschek B , McCuskey RS . Ethanol exacerbates hepatic microvascular dysfunction, endotoxemia, and lethality in septic mice. Shock 1: 413‐418, 1994.
 187. Nonaka H , Tanaka M , Suzuki K , Miyajima A . Development of murine hepatic sinusoidal endothelial cells characterized by the expression of hyaluronan receptors. Dev Dyn 236: 2258‐2267, 2007.
 188. Oda M , Azuma T , Watanabe N , Nishizaki Y , Nishida J , Ishii K , Suzki H , Kaneko K , Komatsu H , Tsukada N , Tsuchiya M . Regulatory mechanism of hepatic microcirculation: Involvement of contraction and dilation of sinusoids and sinusoidal endothelial fenestrae. In: Hammersen F , Messmer K , editors. Gastrointestinal microcirculation, Progress in applied microcirculation. Basel: S Karger Ag, 1990, pp. 103‐128.
 189. Oda M , Han JY , Yokomori H . Local regulators of hepatic sinusoidal microcirculation: Recent advances. Clin Hemorheol Microcirc 23: 85‐94, 2000.
 190. Ohtani O , Ohtani Y . Lymph circulation in the liver. Anat Rec (Hoboken) 291: 643‐652, 2008.
 191. Oie CI , Appa RS , Hilden I , Petersen HH , Gruhler A , Smedsrod B , Hansen JB . Rat liver sinusoidal endothelial cells (LSECs) express functional low density lipoprotein receptor‐related protein‐1 (LRP‐1). J Hepatol 55: 1346‐1352, 2011.
 192. Oie CI , Olsen R , Smedsrod B , Hansen JB . Liver sinusoidal endothelial cells are the principal site for elimination of unfractionated heparin from the circulation. Am J Physiol Gastrointest Liver Physiol 294: G520‐528, 2008.
 193. Ostgaard G , Hellevik T , Reed RK , Smedsrod B . Lymphatic transport and organ uptake of gelatin and hyaluronan injected into the rat mesentery. Acta Physiol Scand 153: 51‐60, 1995.
 194. Oteiza A , Li R , McCuskey RS , Smedsrod B , Sorensen KK . Effects of oxidized low‐density lipoproteins on the hepatic microvasculature. Am J Physiol Gastrointest Liver Physiol 2011.
 195. Oynebraten I , Hansen B , Smedsrod B , Uhlin‐Hansen L . Serglycin secreted by leukocytes is efficiently eliminated from the circulation by sinusoidal scavenger endothelial cells in the liver. J Leukoc Biol 67: 183‐188, 2000.
 196. Pinzani M , Failli P , Ruocco C , Casini A , Milani S , Baldi E , Giotti A , Gentilini P . Fat‐storing cells as liver‐specific pericytes. Spatial dynamics of agonist‐stimulated intracellular calcium transients. J Clin Invest 90: 642‐646, 1992.
 197. Pipirou Z , Powlesland AS , Steffen I , Pohlmann S , Taylor ME , Drickamer K . Mouse LSECtin as a model for a human Ebola virus receptor. Glycobiology 21: 806‐812, 2011.
 198. Pohlmann S , Soilleux EJ , Baribaud F , Leslie GJ , Morris LS , Trowsdale J , Lee B , Coleman N , Doms RW . DC‐SIGNR, a DC‐SIGN homologue expressed in endothelial cells, binds to human and simian immunodeficiency viruses and activates infection in trans. Proc Natl Acad Sci U S A 98: 2670‐2675, 2001.
 199. Politz O , Gratchev A , McCourt PA , Schledzewski K , Guillot P , Johansson S , Svineng G , Franke P , Kannicht C , Kzhyshkowska J , Longati P , Velten FW , Johansson S , Goerdt S . Stabilin‐1 and ‐2 constitute a novel family of fasciclin‐like hyaluronan receptor homologues. Biochem J 362: 155‐164, 2002.
 200. Praaning‐van Dalen DP , de Leeuw AM , Brouwer A , Knook DL . Rat liver endothelial cells have a greater capacity than Kupffer cells to endocytose N‐acetylglucosamine‐ and mannose‐terminated glycoproteins. Hepatology 7: 672‐679, 1987.
 201. Prabhudas M , Bowdish D , Drickamer K , Febbraio M , Herz J , Kobzik L , Krieger M , Loike J , Means TK , Moestrup SK , Post S , Sawamura T , Silverstein S , Wang XY , El Khoury J . Standardizing scavenger receptor nomenclature. J Immunol 192: 1997‐2006, 2014.
 202. Prevo R , Banerji S , Ferguson DJ , Clasper S , Jackson DG . Mouse LYVE‐1 is an endocytic receptor for hyaluronan in lymphatic endothelium. J Biol Chem 276: 19420‐19430, 2001.
 203. Puche JE , Saiman Y , Friedman SL . Hepatic stellate cells and liver fibrosis. Comprehensive Physiology 3: 1473‐1492, 2013.
 204. Pulford K , Souhami RL . The surface properties and antigen‐presenting function of hepatic non‐parenchymal cells. Clin Exp Immunol 46: 581‐588, 1981.
 205. Qian H , Johansson S , McCourt P , Smedsrod B , Ekblom M , Johansson S . Stabilins are expressed in bone marrow sinusoidal endothelial cells and mediate scavenging and cell adhesive functions. Biochem Biophys Res Commun 390: 883‐886, 2009.
 206. Rockey DC . Hepatic blood flow regulation by stellate cells in normal and injured liver. Semin Liver Dis 21: 337‐349, 2001.
 207. Rockey DC , Housset CN , Friedman SL . Activation‐dependent contractility of rat hepatic lipocytes in culture and in vivo. J Clin Invest 92: 1795‐1804, 1993.
 208. Rubinstein D , Roska AK , Lipsky PE . Liver sinusoidal lining cells express class II major histocompatibility antigens but are poor stimulators of fresh allogeneic T lymphocytes. J Immunol 137: 1803‐1810, 1986.
 209. Samarasinghe DA , Tapner M , Farrell GC . Role of oxidative stress in hypoxia‐reoxygenation injury to cultured rat hepatic sinusoidal endothelial cells. Hepatology 31: 160‐165, 2000.
 210. Schledzewski K , Falkowski M , Moldenhauer G , Metharom P , Kzhyshkowska J , Ganss R , Demory A , Falkowska‐Hansen B , Kurzen H , Ugurel S , Geginat G , Arnold B , Goerdt S . Lymphatic endothelium‐specific hyaluronan receptor LYVE‐1 is expressed by stabilin‐1+, F4/80+, CD11b+ macrophages in malignant tumours and wound healing tissue in vivo and in bone marrow cultures in vitro: Implications for the assessment of lymphangiogenesis. J Pathol 209: 67‐77, 2006.
 211. Schledzewski K , Geraud C , Arnold B , Wang S , Grone HJ , Kempf T , Wollert KC , Straub BK , Schirmacher P , Demory A , Schonhaber H , Gratchev A , Dietz L , Thierse HJ , Kzhyshkowska J , Goerdt S . Deficiency of liver sinusoidal scavenger receptors stabilin‐1 and ‐2 in mice causes glomerulofibrotic nephropathy via impaired hepatic clearance of noxious blood factors. J Clin Invest 121: 703‐714, 2011.
 212. Schonhaar K , Schledzewski K , Michel J , Dollt C , Gkaniatsou C , Geraud C , Kzhyshkowska J , Goerdt S , Schmieder A . Expression of stabilin‐1 in M2 macrophages in human granulomatous disease and melanocytic lesions. Int J Clin Exp Pathol 7: 1625‐1634, 2014.
 213. Scoazec JY , Feldmann G . In situ immunophenotyping study of endothelial cells of the human hepatic sinusoid: Results and functional implications. Hepatology 14: 789‐797, 1991.
 214. Seternes T , Sorensen K , Smedsrod B . Scavenger endothelial cells of vertebrates: A nonperipheral leukocyte system for high‐capacity elimination of waste macromolecules. Proc Natl Acad Sci U S A 99: 7594‐7597, 2002.
 215. Shahani T , Covens K , Lavend'homme R , Jazouli N , Sokal E , Peerlinck K , Jacquemin M . Human liver sinusoidal endothelial cells but not hepatocytes contain factor VIII. J Thromb Haemost 12: 36‐42, 2014.
 216. Shechter I , Fogelman AM , Haberland ME , Seager J , Hokom M , Edwards PA . The metabolism of native and malondialdehyde‐altered low density lipoproteins by human monocyte‐macrophages. J Lipid Res 22: 63‐71, 1981.
 217. Simon‐Santamaria J , Malovic I , Warren A , Oteiza A , Le Couteur D , Smedsrod B , McCourt P , Sorensen KK . Age‐related changes in scavenger receptor‐mediated endocytosis in rat liver sinusoidal endothelial cells. J Gerontol A Biol Sci Med Sci 65: 951‐960, 2010.
 218. Simon‐Santamaria J , Rinaldo CH , Kardas P , Li R , Malovic I , Elvevold K , McCourt P , Smedsrod B , Hirsch HH , Sorensen KK . Efficient uptake of blood‐borne BK and JC polyomavirus‐like particles in endothelial cells of liver sinusoids and renal vasa recta. PLoS One 9: e111762, 2014.
 219. Singh P , Coskun ZZ , Goode C , Dean A , Thompson‐Snipes L , Darlington G . Lymphoid neogenesis and immune infiltration in aged liver. Hepatology 47: 1680‐1690, 2008.
 220. Skogh T , Blomhoff R , Eskild W , Berg T . Hepatic uptake of circulating IgG immune complexes. Immunology 55: 585‐594, 1985.
 221. Skoskiewicz MJ , Colvin RB , Schneeberger EE , Russell PS . Widespread and selective induction of major histocompatibility complex‐determined antigens in vivo by gamma interferon. J Exp Med 162: 1645‐1664, 1985.
 222. Smedsrod B . Aminoterminal propeptide of type III procollagen is cleared from the circulation by receptor‐mediated endocytosis in liver endothelial cells. Coll Relat Res 8: 375‐388, 1988.
 223. Smedsrod B . Receptor‐mediated endocytosis of connective tissue macromolecules in liver endothelial cells. Scand J Clin Lab Invest Suppl 202: 148‐151, 1990.
 224. Smedsrod B . Cellular events in the uptake and degradation of hyaluronan. Adv Drug Deliv Rev 7: 265‐278, 1991.
 225. Smedsrod B . Clearance function of scavenger endothelial cells. Comp Hepatol 3(Suppl 1): S22, 2004.
 226. Smedsrod B , Einarsson M , Pertoft H . Tissue plasminogen activator is endocytosed by mannose and galactose receptors of rat liver cells. Thromb Haemost 59: 480‐484, 1988.
 227. Smedsrod B , Eriksson S , Fraser JRE , Laurent TC , Pertoft H . Properties of liver endothelial cells in primary monolayer cultures. In: Knook DL , Wisse E , editors. Sinusoidal Liver Cells. Amsterdam: Elsevier, 1982, pp. 263‐270.
 228. Smedsrod B , Johansson S , Pertoft H . Studies in vivo and in vitro on the uptake and degradation of soluble collagen alpha 1(I) chains in rat liver endothelial and Kupffer cells. Biochem J 228: 415‐424, 1985.
 229. Smedsrod B , Kjellen L , Pertoft H . Endocytosis and degradation of chondroitin sulphate by liver endothelial cells. Biochem J 229: 63‐71, 1985.
 230. Smedsrod B , Melkko J , Araki N , Sano H , Horiuchi S . Advanced glycation end products are eliminated by scavenger‐receptor‐mediated endocytosis in hepatic sinusoidal Kupffer and endothelial cells. Biochem J 322(Pt 2): 567‐573, 1997.
 231. Smedsrod B , Melkko J , Risteli L , Risteli J . Circulating C‐terminal propeptide of type I procollagen is cleared mainly via the mannose receptor in liver endothelial cells. Biochem J 271: 345‐350, 1990.
 232. Smedsrod B , Paulsson M , Johansson S . Uptake and degradation in vivo and in vitro of laminin and nidogen by rat liver cells. Biochem J 261: 37‐42, 1989.
 233. Smedsrod B , Pertoft H , Eggertsen G , Sundstrom C . Functional and morphological characterization of cultures of Kupffer cells and liver endothelial cells prepared by means of density separation in Percoll, and selective substrate adherence. Cell Tissue Res 241: 639‐649, 1985.
 234. Smedsrod B , Pertoft H , Eriksson S , Fraser JR , Laurent TC . Studies in vitro on the uptake and degradation of sodium hyaluronate in rat liver endothelial cells. Biochem J 223: 617‐626, 1984.
 235. Smedsrod B , Pertoft H , Gustafson S , Laurent TC . Scavenger functions of the liver endothelial cell. Biochem J 266: 313‐327, 1990.
 236. Smedsrod B , Seljelid R . Fate of intravenously injected aminated beta(1-3) polyglucose derivatized with 125I‐tyraminyl cellobiose. Immunopharmacology 21: 149‐158, 1991.
 237. Smith KG , Clatworthy MR . FcgammaRIIB in autoimmunity and infection: Evolutionary and therapeutic implications. Nat Rev Immunol 10: 328‐343, 2010.
 238. Snoeys J , Lievens J , Wisse E , Jacobs F , Duimel H , Collen D , Frederik P , De Geest B . Species differences in transgene DNA uptake in hepatocytes after adenoviral transfer correlate with the size of endothelial fenestrae. Gene Ther 14: 604‐612, 2007.
 239. Sorensen KK , McCourt P , Berg T , Crossley C , Couteur DL , Wake K , Smedsrod B . The scavenger endothelial cell: A new player in homeostasis and immunity. Am J Physiol Regul Integr Comp Physiol 303: R1217‐R1230, 2012.
 240. Sorensen KK , Melkko J , Smedsrod B . Scavenger‐receptor‐mediated endocytosis in endocardial endothelial cells of Atlantic cod Gadus morhua . J Exp Biol 201: 1707‐1718, 1998.
 241. Speilberg L , Evensen O , Nafstad P . Liver of juvenile Atlantic salmon, Salmo salar L.: A light, transmission, and scanning electron microscopic study, with special reference to the sinusoid. Anat Rec 240: 291‐307, 1994.
 242. Spolarics Z , Lang CH , Bagby GJ , Spitzer JJ . Glutamine and fatty acid oxidation are the main sources of energy for Kupffer and endothelial cells. Am J Physiol 261: G185‐190, 1991.
 243. Stahl PD , Ezekowitz RA . The mannose receptor is a pattern recognition receptor involved in host defense. Curr Opin Immunol 10: 50‐55, 1998.
 244. Steffan AM , Gendrault JL , Kirn A . Increase in the number of fenestrae in mouse endothelial liver cells by altering the cytoskeleton with cytochalasin B. Hepatology 7: 1230‐1238, 1987.
 245. Steffan AM , Gendrault JL , McCuskey RS , McCuskey PA , Kirn A . Phagocytosis, an unrecognized property of murine endothelial liver cells. Hepatology 6: 830‐836, 1986.
 246. Stein O , Stein Y . Bovine aortic endothelial cells display macrophage‐like properties towards acetylated 125I‐labelled low density lipoprotein. Biochim Biophys Acta 620: 631‐635, 1980.
 247. Straub AC , Clark KA , Ross MA , Chandra AG , Li S , Gao X , Pagano PJ , Stolz DB , Barchowsky A . Arsenic‐stimulated liver sinusoidal capillarization in mice requires NADPH oxidase‐generated superoxide. J Clin Invest 118: 3980‐3989, 2008.
 248. Suematsu M , Goda N , Sano T , Kashiwagi S , Egawa T , Shinoda Y , Ishimura Y . Carbon monoxide: An endogenous modulator of sinusoidal tone in the perfused rat liver. J Clin Invest 96: 2431‐2437, 1995.
 249. Svistounov D , Oteiza A , Zykova SN , Sorensen KK , McCourt P , McLachlan AJ , McCuskey RS , Smedsrod B . Hepatic disposal of advanced glycation end products during maturation and aging. Exp Gerontol 48: 549‐556, 2013.
 250. Svistounov D , Warren A , McNerney GP , Owen DM , Zencak D , Zykova SN , Crane H , Huser T , Quinn RJ , Smedsrod B , Le Couteur DG , Cogger VC . The Relationship between fenestrations, sieve plates and rafts in liver sinusoidal endothelial cells. PLoS One 7: e46134, 2012.
 251. Taira K . Trabecular meshworks in the sinusoidal endothelial cells of the golden hamster liver: A freeze‐fracture study. J Submicrosc Cytol Pathol 26: 271‐277, 1994.
 252. Takeuchi O , Akira S . Pattern recognition receptors and inflammation. Cell 140: 805‐820, 2010.
 253. Tamura Y , Adachi H , Osuga J , Ohashi K , Yahagi N , Sekiya M , Okazaki H , Tomita S , Iizuka Y , Shimano H , Nagai R , Kimura S , Tsujimoto M , Ishibashi S . FEEL‐1 and FEEL‐2 are endocytic receptors for advanced glycation end products. J Biol Chem 278: 12613‐12617, 2003.
 254. Tang L , Yang J , Liu W , Tang X , Chen J , Zhao D , Wang M , Xu F , Lu Y , Liu B , Sun Q , Zhang L , He F . Liver sinusoidal endothelial cell lectin, LSECtin, negatively regulates hepatic T‐cell immune response. Gastroenterology 137: 1498‐1508, 2009.
 255. Thomson AW , Knolle PA . Antigen‐presenting cell function in the tolerogenic liver environment. Nat Rev Immunol 10: 753‐766, 2010.
 256. Triger DR , Cynamon MH , Wright R . Studies on hepatic uptake of antigen. I. Comparison of inferior vena cava and portal vein routes of immunization. Immunology 25: 941‐950, 1973.
 257. Uhrig A , Banafsche R , Kremer M , Hegenbarth S , Hamann A , Neurath M , Gerken G , Limmer A , Knolle PA . Development and functional consequences of LPS tolerance in sinusoidal endothelial cells of the liver. J Leukoc Biol 77: 626‐633, 2005.
 258. Van Berkel TJ , De Rijke YB , Kruijt JK . Different fate in vivo of oxidatively modified low density lipoprotein and acetylated low density lipoprotein in rats. Recognition by various scavenger receptors on Kupffer and endothelial liver cells. J Biol Chem 266: 2282‐2289, 1991.
 259. Van Berkel TJ , Van Velzen A , Kruijt JK , Suzuki H , Kodama T . Uptake and catabolism of modified LDL in scavenger‐receptor class A type I/II knock‐out mice. Biochem J 331(Pt 1): 29‐35, 1998.
 260. van der Sluijs P , Bootsma HP , Postema B , Moolenaar F , Meijer DK . Drug targeting to the liver with lactosylated albumins: Does the glycoprotein target the drug or is the drug targeting the glycoprotein? Hepatology 6: 723‐728, 1986.
 261. van Oosten M , van de Bilt E , de Vries HE , van Berkel TJ , Kuiper J . Vascular adhesion molecule‐1 and intercellular adhesion molecule‐1 expression on rat liver cells after lipopolysaccharide administration in vivo. Hepatology 22: 1538‐1546, 1995.
 262. Vidal‐Vanaclocha F , Barbera‐Guillem E . Fenestration patterns in endothelial cells of rat liver sinusoids. J Ultrastruct Res 90: 115‐123, 1985.
 263. Virgin HW . The virome in mammalian physiology and disease. Cell 157: 142‐150, 2014.
 264. Voyta JC , Via DP , Butterfield CE , Zetter BR . Identification and isolation of endothelial cells based on their increased uptake of acetylated‐low density lipoprotein. J Cell Biol 99: 2034‐2040, 1984.
 265. Wake K . Perisinusoidal stellate cells (fat‐storing cells, interstitial cell, lipocytes), their related structure in and around the sinusoids, and vitamin A‐storing cells in extrahepatic organs. In: Bourne GH , Danielli JF , editors. International Review of Cytology. New York: Academic Press, 1980, pp. 303‐353.
 266. Wake K , Decker K , Kirn A , Knook DL , McCuskey RS , Bouwens L , Wisse E . Cell biology and kinetics of Kupffer cells in the liver. Int Rev Cytol 118: 173‐229, 1989.
 267. Wake K , Motomatsu K , Dan C , Kaneda K . Three‐dimensional structure of endothelial cells in hepatic sinusoids of the rat as revealed by the Golgi method. Cell Tissue Res 253: 563‐571, 1988.
 268. Walker RM , Racz WJ , McElligott TF . Scanning electron microscopic examination of acetaminophen‐induced hepatotoxicity and congestion in mice. Am J Pathol 113: 321‐330, 1983.
 269. Wang L , Wang X , Wang L , Chiu JD , van de Ven G , Gaarde WA , Deleve LD . Hepatic vascular endothelial growth factor regulates recruitment of rat liver sinusoidal endothelial cell progenitor cells. Gastroenterology 143: 1555‐1563, e1552, 2012.
 270. Wang L , Wang X , Xie G , Wang L , Hill CK , DeLeve LD . Liver sinusoidal endothelial cell progenitor cells promote liver regeneration in rats. J Clin Invest 122: 1567‐1573, 2012.
 271. Wang X , Kanel GC , DeLeve LD . Support of sinusoidal endothelial cell glutathione prevents hepatic veno‐occlusive disease in the rat. Hepatology 31: 428‐434, 2000.
 272. Warren A , Bertolino P , Cogger VC , McLean AJ , Fraser R , Le Couteur DG . Hepatic pseudocapillarization in aged mice. Exp Gerontol 40: 807‐812, 2005.
 273. Warren A , Chaberek S , Ostrowski K , Cogger VC , Hilmer SN , McCuskey RS , Fraser R , Le Couteur DG . Effects of old age on vascular complexity and dispersion of the hepatic sinusoidal network. Microcirculation 15: 191‐202, 2008.
 274. Warren A , Cogger VC , Fraser R , Deleve LD , McCuskey RS , Le Couteur DG . The effects of old age on hepatic stellate cells. Curr Gerontol Geriatr Res 2011: 439835, 2011.
 275. Warren A , Le Couteur DG , Fraser R , Bowen DG , McCaughan GW , Bertolino P . T lymphocytes interact with hepatocytes through fenestrations in murine liver sinusoidal endothelial cells. Hepatology 44: 1182‐1190, 2006.
 276. Widmann JJ , Fahimi HD . Proliferation of endothelial cells in estrogen‐stimulated rat liver. A light and electron microscopic cytochemical study. Lab Invest 34: 141‐149, 1976.
 277. Willnow TE , Nykjaer A , Herz J . Lipoprotein receptors: New roles for ancient proteins. Nat Cell Biol 1: E157‐162, 1999.
 278. Wisse E . An electron microscopic study of the fenestrated endothelial lining of rat liver sinusoids. J Ultrastruct Res 31: 125‐150, 1970.
 279. Wisse E . An ultrastructural characterization of the endothelial cell in the rat liver sinusoid under normal and various experimental conditions, as a contribution to the distinction between endothelial and Kupffer cells. J Ultrastruct Res 38: 528‐562, 1972.
 280. Wisse E , Braet F , Luo D , De Zanger R , Jans D , Crabbe E , Vermoesen A . Structure and function of sinusoidal lining cells in the liver. Toxicol Pathol 24: 100‐111, 1996.
 281. Wisse E , De Zanger RB , Charels K , Van Der Smissen P , McCuskey RS . The liver sieve: Considerations concerning the structure and function of endothelial fenestrae, the sinusoidal wall and the space of Disse. Hepatology 5: 683‐692, 1985.
 282. Wisse E , De Zanger RB , Jacobs R , McCuskey RS . Scanning electron microscope observations on the structure of portal veins, sinusoids and central veins in rat liver. Scan Electron Microsc 1441‐1452, 1983.
 283. Wong J , Johnston B , Lee SS , Bullard DC , Smith CW , Beaudet AL , Kubes P . A minimal role for selectins in the recruitment of leukocytes into the inflamed liver microvasculature. J Clin Invest 99: 2782‐2790, 1997.
 284. Wu J , Meng Z , Jiang M , Zhang E , Trippler M , Broering R , Bucchi A , Krux F , Dittmer U , Yang D , Roggendorf M , Gerken G , Lu M , Schlaak JF . Toll‐like receptor‐induced innate immune responses in non‐parenchymal liver cells are cell type‐specific. Immunology 129: 363‐374, 2010.
 285. Xie G , Wang L , Wang X , DeLeve LD . Isolation of periportal, midlobular, and centrilobular rat liver sinusoidal endothelial cells enables study of zonated drug toxicity. Am J Physiol Gastrointest Liver Physiol 299: G1204‐G1210, 2010.
 286. Xie G , Wang X , Wang L , Wang L , Atkinson RD , Kanel GC , Gaarde WA , Deleve LD . Role of differentiation of liver sinusoidal endothelial cells in progression and regression of hepatic fibrosis in rats. Gastroenterology 142: 918‐927, e916, 2012.
 287. Xu B , Broome U , Uzunel M , Nava S , Ge X , Kumagai‐Braesch M , Hultenby K , Christensson B , Ericzon BG , Holgersson J , Sumitran‐Holgersson S . Capillarization of hepatic sinusoid by liver endothelial cell‐reactive autoantibodies in patients with cirrhosis and chronic hepatitis. Am J Pathol 163: 1275‐1289, 2003.
 288. Yajima K , Nakamura A , Sugahara A , Takai T . FcgammaRIIB deficiency with Fas mutation is sufficient for the development of systemic autoimmune disease. Eur J Immunol 33: 1020‐1029, 2003.
 289. Yokomori H , Oda M , Yoshimura K , Hibi T . Recent advances in liver sinusoidal endothelial ultrastructure and fine structure immunocytochemistry. Micron 43: 129‐134, 2012.
 290. Yoshida M , Nishikawa Y , Omori Y , Yoshioka T , Tokairin T , McCourt P , Enomoto K . Involvement of signaling of VEGF and TGF‐beta in differentiation of sinusoidal endothelial cells during culture of fetal rat liver cells. Cell Tissue Res 329: 273‐282, 2007.
 291. Zhang JX , Pegoli W Jr , Clemens MG . Endothelin‐1 induces direct constriction of hepatic sinusoids. Am J Physiol 266: G624‐G632, 1994.
 292. Zhao D , Zhang M , Wang M , Liu B , Wang X , Yang J , He F , Tang L . Up‐regulation of Cbl‐b is associated with LSECtin‐mediated inhibition of different CD4+ T‐cell subsets. Immunobiology 218: 602‐608, 2013.
 293. Zhou B , Weigel JA , Fauss L , Weigel PH . Identification of the hyaluronan receptor for endocytosis (HARE). J Biol Chem 275: 37733‐37741, 2000.
 294. Zuo Y , Ren S , Wang M , Liu B , Yang J , Kuai X , Lin C , Zhao D , Tang L , He F . Novel roles of liver sinusoidal endothelial cell lectin in colon carcinoma cell adhesion, migration and in‐vivo metastasis to the liver. Gut 62: 1169‐1178, 2013.
Video 1 Sinusoidal blood flow in mouse liver—normal flow, and reduced flow after lipopolysaccharide treatment. This video clip shows healthy hepatic microcirculation with flat liver sinusoidal endothelial cells (LSEC; – points to the nuclear region of a normal LSEC) and good blood flow, no formed elements sticking to the endothelium or to each other. The second video clip shows a swollen LSEC (– points to the nuclear region of a swollen LSEC), and reduced irregular blood flow in the sinusoids during hepatic microvascular inflammatory response to low dose of bacterial lipopolysaccharide (LPS; intravenous administration; 0.4 μg per 25 g mouse). The livers of anesthetized mice were studied by in vivo microscopy as reported in (63, 105-108, 161, 164, 162, 165, 166, 186). Sinusoidal blood flow in liver is reviewed in (164). See Video 1 at http://www.comprehensivephysiology.com/WileyCDA/CompPhysArticle/refId-c140078.html.

Video 2 Sinusoidal blood flow in mouse liver—enhanced hepatic microvascular inflammatory response to ethanol and lipopolysaccharide. Impairment of sinusoidal blood flow by white blood cells (WBC) plugging behind swollen liver sinusoidal endothelial cell (LSEC) during enhanced hepatic microvascular inflammatory response to ethanol and treatment with low dose bacterial lipopolysaccharide (LPS). Swollen LSEC with WBC plug are indicated by –. A totally plugged sinusoid is also indicated. Relevant experiments are described in (63, 186). Sinusoidal blood flow in liver is reviewed in (164). The motion artifact is caused by respiratory movements. See Video 2 at http://www.comprehensivephysiology.com/WileyCDA/CompPhysArticle/refId-c140078.html.




Related Articles:

Top downloaded articles of 2019

Contact Editor

Submit a note to the editor about this article by filling in the form below.

* Required Field

How to Cite

Karen Kristine Sørensen, Jaione Simon‐Santamaria, Robert S. McCuskey, Bård Smedsrød. Liver Sinusoidal Endothelial Cells. Compr Physiol 2015, 5: 1751-1774. doi: 10.1002/cphy.c140078